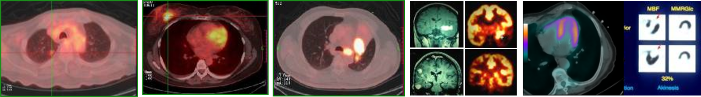
功能成像专题
-
1 内容
-
2 拓展
-
3 课程思政
上一节
下一节
所需背景知识:
疾病发生机制(尤其是肿瘤疾病发生机制)和特点;
功能成像的方式和特点;
图像融合方式。






