-
1 内容
-
2 作业
小儿外科
Pediatric Surgery
小儿外科诊治年龄

小儿外科诊治疾病
畸形(Abnormality)
肿瘤(Tumour)
外伤( Trauma)
感染(Infectious )


Congenital Posterolateral Diaphragmatic Hernia (CDH)
先天性膈疝
概况~新生儿期最严重的疾病之一
发病率 1:5000~1:2000
流产率 约30%
死亡率 存活的30%~ 50%,潜在死亡率高
患侧 左侧 80%
疝内容物 小肠 结肠 脾脏 胃 肝 肾 胰尾
合并畸形 20-50%
心血管系统 神经系统 消化道系统 泌尿生殖系统
合并畸形死亡率增加
【胚胎学 (Embryology) 】
8~9周: 膈形成,胸腹腔分隔,后外侧三角区未能闭合,
形成胸腹裂孔
10~12周:中肠返回腹腔,通过膈肌裂孔进入胸腔


【病理生理(一)】
(Pathophysiology)
肺发育不全 hypoplasia of the lung
患侧肺+对侧肺,重量↓,肺泡数↓



CDH 主要病理- 肺发育不良

【病理生理(二)】
持续性肺动脉高压 pulmonary hypertension

新生儿膈疝
临床表现(Clinical manifestations ):
1,呼吸困难和紫绀,呕吐
2,患侧呼吸运动减弱,呼吸音低,可闻及肠鸣音
3,心尖搏动和心界向对侧移位
4,腹部发育差,呈舟状腹
【产前诊断(Prenatal diagnosis)】
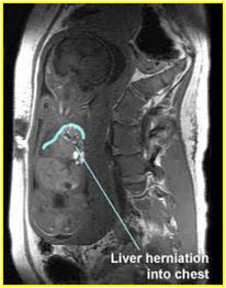
胎儿超声与MRI:可见胎儿胸腔内有腹部脏器



产后诊断Diagnosis after birth
胸腹部正侧位摄片:
◇ 可见患侧胸腔内有典型的充气胃和肠曲,并向腹部延续现象。
◇ 病变侧看不到正常膈肌 形态。
◇ 腹部气体影减少。


先天性膈疝治疗进展

治疗(Treatment)
◇ 出生前治疗:糖皮质激素可促肺成熟 1994
◇ 产后术前准备:
(1)呼吸窘迫者予呼吸机辅助通气,供给纯氧,严禁面罩加压呼吸供氧,避免消化道穿孔。
(2)胃肠减压,减少消化道充气
(3)半卧位,侧向患侧
(4)保暖、补液、纠正酸中毒等
(5)膈肌修补术
预后与病情严重情况有关

腹壁发育缺陷
Omphalocele(脐膨出) Gastroschisis(腹裂)

临床表现



诊断
◇产前诊断
B超 腹壁呈肿瘤样突出→有包膜为脐膨出
→无包膜为腹裂
◇产后诊断 根据体征






重点
◇ 先天性膈疝病理生理
◇ 先天性膈疝的临床表现
幽门肥厚性狭窄
Hypertrophic Pyloric Stenosis


定义
主要特征是幽门环肌层肥厚、幽门管狭窄和胃排空延迟。
病理 Pathophsiology
◇ 橄榄形:长2~3.5cm,
厚0.4~0.6cm
苍白
质如软骨
◇ 幽门各层组织肥厚增生,
以环肌为主,使幽门管腔高度狭窄

临床表现
◇喷射性呕吐:多发生于生后2~3周,进行性加重,
呕吐物为奶汁、奶块,无胆汁
◇黄疸:肿块压迫和肝酶不足
◇全身情况:失水、消瘦、大便干燥、尿少、
低氯性代谢性碱中毒
◇腹部检查:上腹膨隆,胃肠蠕动波,
右上腹扪及橄榄样肿块
(特有体征)


诊 断
◇临床表现:典型的呕吐,右上腹扪及肿块即可确诊
◇B超:肌层厚度≥0.4cm,SD=厚度×2/直径≥50%
◇如未扪及肿块,B超指数不肯定,可行GI检查:
胃扩张
胃蠕动增强
幽门管细长线状
排空延迟



需要与肥厚性幽门狭窄鉴别的疾病
1.喂养不当
2.胃食管反流
3.幽门闭锁或幽门前瓣膜
4.胃扭转
5.幽门痉挛
6.食道裂孔疝
治 疗
手术 —— 幽门环肌切开术pyloromyotomy

预 后
与就诊时间、发病至手术时间有关;术后效果与手术时机选择和术前全身状况有关,死亡率0
先天性食道闭锁
幽门肥厚性狭窄
重 点
◇ 先天性食道闭锁的临床表现
◇ 幽门肥厚性狭窄定义、临床表现、诊断要点和手术

