-
1 内容
-
2 作业
Down’s Syndrome(DS)
又名:
先天愚型
21-三体综合征

Down syndrome (trisomy 21) – brief history
1859-1869 John Langdon Down
(Earlswood Asylum for Idiots at Redhill in Surrey)
Paper “Observations on an ethnic classification of idiots” (1866)
…their resemblance to each other was such that, when placed side by side, it is difficult to believe that they are not the children of the same parents….
Very well written description of the Down syndrom,
recognised a familial (genetic) condition
Down believed that these children were a ‘throw-back’ to a more ‘primitive’ race (specifically Mongolians) = mongolism.
1965
Mongolian People’s Republic approached the World Health Organisation to request that the term be abandoned,
The condition now is known as Down’s syndrome.
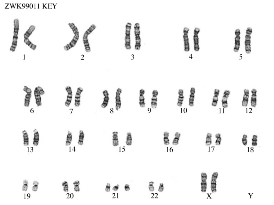
DS核型分类
▪ 标准型(47,XY/XX,+21, 95%)


▪ 嵌合型(例如:46 / 47+21, <3%)
Mosaicism
An individual with 2 different cell lines derived from a single zygote

嵌合型DS核型

▪ 易位型(例如:46,-14,+t(14q;21q, 4% )
易位型DS核型

双亲一方为:Balanced t(14;21) carrier


Segregation patterns for familial trisomy-21


主要临床表现
▷ 特殊脸容
▷ 肤纹异常
▷ 多发畸形
▷ 智能落后



手掌t点(即轴三射)移向掌心
正常人t点靠近腕部,正常人atd角≈41°
Down综合征儿童t点移向掌心atd角增大,>58°

▪ 生长发育落后
▪ 智能低下-程度不一
▪ 畸形
- 异常面容
(flattened face and occiput, large tongue, small ears, epicanthal folds)
- 先天性心脏病 (40%)—AV canal
- 消化道畸形 (5%)—duodenal stenosis
- 白血病 (10 - 20 倍)
- 耳部等处感染
- 甲状腺功能低下
- 其他 (cataracts, Alzheimer Disease)
▪ 病因: 21q基因过度表达
Mosaicism for trisomy 21

As mosaicism for trisomy 21 can present with no or minimal manifestations of Down syndrome, it may be underdiagnosed as a cause of early-onset AD. Occult mosaicism for trisomy 21 may explain in part the previously described association between family history of Down syndrome and risk of AD. Screening for mosaicism with fluorescent in situ hybridization is indicated in selected patients with mild developmental delay and those with AD of young onset.
染色体培养示意图


防 治

▪ Nearly 2% of live births are mosaic aneuploids, but only in the placenta; thus, extra-embryonic tissues are remarkably tolerant to the effects of aneuploidy.
▪ Many infants with confined placental mosaicism are perfectly normal (some are born with significant growth retardation).
母亲育龄与胎儿先天愚型发病率

双亲之一为平衡易位携带者,其子代发生 21 三体综合征的机率

孕早期母亲血清学筛查
▪↓AFP 15-20%
▪↓ AFP + ↑HCG + ↓UnE + age 65-70%
附加其他指标:PAPP-a ↓
超声胎儿颈部皮肤厚度 80+%
早期筛查结果阳性者:
▪ 绒毛膜细胞(孕早期)
▪ 羊水细胞(孕中期) 染色体核型分析
▪ 母血中分离胎儿有核细胞
应用荧光原位杂交(FISH)/ 染色体特异性DNA探 针杂交可提高阳性率
小 结

标准型(47,XY/XX,+21, 95%)
嵌合型(例如:46 / 47+21, <3%)
易位型(例如:46,-14,+t(14q;21q, 4% )

