-
1 内容
-
2 作业
提纲
⊙JIA的定义及命名
⊙JIA的分型及临床表现
⊙JIA的诊断与鉴别诊断
⊙JIA的并发症
⊙JIA的治疗原则及进展
⊙JIA的预后及后遗症
全面的关节查体
◆ 肿胀关节数(看)
◆ 压痛和皮温增高的关节数(触)
◆ 关节活动受限数(主动和被动活动)
◆ 步态
◆ 不能简单的询问你“疼”“不疼”?
◆ 了解每个关节的正常活动范围ROM(range of motion)





实验室检查
◆ 疾病活动指标:血沉,CRP,铁蛋白,炎症因子(IL-6等);血常规(白细胞,血红蛋白,血小板)
◆ 分型指标: HLA-B27,RF/CCP(抗环状胍氨酸多肽抗体)
◆ 凝血全套及D2聚体
◆ 影像学:X线,B超,CT/MRI,骨密度
◆ 关节腔穿刺,关节积液检查
关节结构

X 线

X线和MRI

◆ MRI的优点:敏感,骨髓水肿,软骨,滑膜,骨质破坏
◆ MRI的缺点:昂贵,单或对称部位,需充分镇静,完成时间久
B超

不同影像学检查的优缺点

鉴别诊断
◆ 发热为主线:
排他性的诊断
◆ 感染性疾病:
败血症、支原体感染、病毒感染、寄生虫、结核、隐球菌等
◆ 血液系统疾病:
白血病、淋巴瘤、神经母细胞瘤、脊椎占位性病变等
HLH(嗜血细胞淋巴组织细胞增生症)
◆ 其他结缔组织疾病和炎症性疾病:
SLE,SS等
炎症性肠病
周期性发热综合症(Periodic fever syndrome)
◆ 关节症状为主线
◆ 其他性质的关节炎:
化脓性关节炎、骨髓炎,结核性关节炎、创伤性关节炎,绒毛膜色素沉着症等
◆ 其他结缔组织疾病:
系统性红斑狼疮、过敏性紫癜(关节型)
干燥综合症、皮肌炎、川崎病、风湿热
巨噬细胞活化综合征
(macrophage active syndrome,MAS)
S-JIA合并MAS的诊断标准2005年Ravelli
◆ 临床标准:
中枢神经系统异常
◆ 易激惹,定向力差,嗜睡,头痛,惊厥,昏迷
出血(紫癜,粘膜出血,易发的瘀斑)
肝脏增大(肋下3cm以上)
◆ 实验室标准
外周血血小板计数下降(262*109/L)
谷草转氨酶升高(>59 U/L)
白细胞计数下降(<4.0*109/L)
低纤维蛋白原血症(<2.5g/L)
◆ 组织病理学
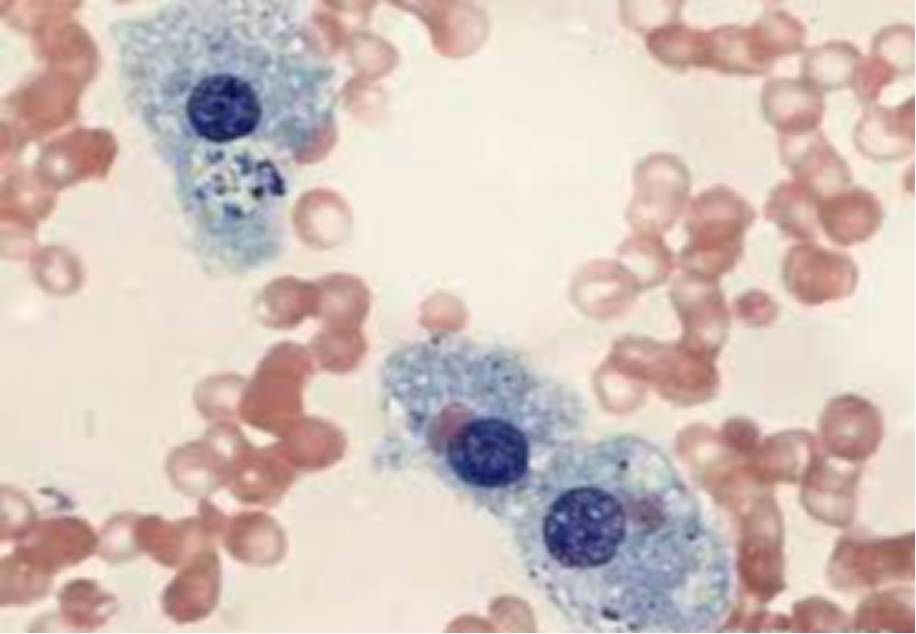
骨髓中巨噬细胞吞噬现象(噬血现象)

骨髓吞噬细胞

脑脊液可见巨噬细胞

