-
1 内容
-
2 作业
先天性食道闭锁、食道气管瘘
Congenital Esophageal Atresia
Tracheoesophageal Fistula
概况
◇ 发病率 1/3000
◇ 常伴有其他畸形(50%)
VACTERL
V:Vertebral(椎体畸形)
A:Anorectal(肛门直肠畸形)
C:Cardiovascular (心血管畸形)
TE:Tracheo-Esophageal(气管食道畸形)
R:Renal(肾泌尿系畸形)
L:Limb(肢体畸形)
◇ 病因为管腔贯通障碍和食道气管分隔不全

先天性食道闭锁


【 临床表现 】
生后窒息史
第一次喂水后出现呛咳、青紫或窒息
化学性吸入性肺炎
腹胀或舟状腹
查体发现口鼻外溢泡沫状唾液,或吞咽困难
插胃管受阻


【 诊断 】
1.产前诊断
◇ 超声诊断 诊断率不高
胃泡消失或变小
羊水过多
上颈部盲袋症
◇ MRI
明确的超声诊断依据
食道扩张盲端
羊水过多
无正常胃泡影


2.产后诊断
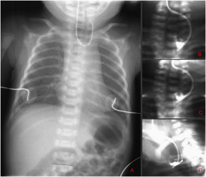
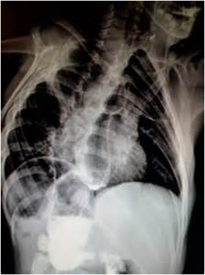
1.从口鼻插入F8号导尿管受阻,不能进入胃内。
2.颈、胸、腹正侧位X线摄片示导管卷曲或造影显示食道近端盲袋。


食道闭锁的治疗
◇ 术前准备
食管盲端导管持续吸引,吸除口咽部唾液
半卧位,上体抬高30~40°
保暖、吸氧、禁食、补液、静脉抗菌素
禁用面罩加压给氧
等待手术
◇ 预后
国外 过去20年存活率 95%~100%
我院 最小存活980克患儿

手术治疗原则
缝扎、离断远端食道气道瘘,关闭异常通道;食道食道端端吻合,恢复食道连续性。
√ 一期吻合术:Ⅲ型(占90%)
√ 分期、延期手术
盲袋持续吸引减压
胃造瘘营养
及早作根治术
经典手术
胸膜外食道气管瘘结扎、食道端端吻合






EA/TEF术后常见并发症和治疗
吻合口漏
胃食管反流
吻合口狭窄
气管软化
食道气道瘘复发








