-
1 内容
-
2 作业
小儿呼吸系统疾病
肺炎
(Pneumonia)

主要内容
★ 小儿呼吸系统解剖生理特点
★ 肺炎病理生理特点
★ 肺炎临床表现
★ 肺炎常见并发症(种类)
★ 肺炎的治疗(原则,心衰处理)
小儿呼吸系统解剖

上呼吸道解剖特点
▪ 易鼻腔阻塞:婴幼儿
▪ 易患鼻窦炎:2岁后
▪ 易患中耳炎:婴幼儿
▪ 易患扁桃体炎:1岁后
▪ 易喉部水肿:婴幼儿
下呼吸道解剖特点
▪ 易呼吸困难和肺气肿:
支气管缺乏弹力组织,软骨柔软
▪ 易发生呼吸衰竭:
肺泡数量少,肺泡小,缺乏代偿能力
▪ 易出现肺不张:
<2岁肺泡间无kohn孔,无侧支通气
胸廓解剖特点
▪ 肺扩张不充分
胸廓短,呈桶状
膈肌位置高
膈肌易疲劳
▪ 纵隔易移位
纵隔周围组织松软
呼吸系统生理特点
年龄↑ :呼吸频率↓
年龄↑ :腹式呼吸→胸腹式呼吸
年龄↑ :气管口径↑ ,呼吸道阻力↓

肺炎定义:
由不同病原体或其他因素所致的肺部炎症
肺炎分类
▪ 病理:大叶性、支气管肺炎、间质性
▪ 病因:感染性、非感染性
▪ 病程:急性、迁延性、慢性
▪ 病情:轻症、重症
▪ 临床表现:典型、非典型
▪ 感染地点:社区获得性、院内获得性

病理生理特点
1.呼吸系统
支气管腔变窄;肺泡壁充血增厚;
肺泡腔内充满渗出物

通气功能障碍 换气功能障碍
PaO2 ↓ PaO2 ↓
PaCO2 ↑
2.循环系统
心肌炎:病原体、毒素、缺氧→心肌损害
充血性心力衰竭:缺氧→肺小动脉痉挛→
肺动脉高压、右心后负荷↑
微循环障碍:病原体、毒素、缺氧、酸中毒
3.中枢神经系统
高碳酸血症 病原体、毒素、缺氧、酸中毒
![]()
脑血管扩张→通透性增加 脑细胞代谢障碍→脑细胞功能障碍→脑细胞内水肿
→脑细胞外水肿


脑功能异常
中毒性脑病
颅内压增高
4.消化系统
缺氧、酸中毒,病原体、毒素、应激
![]()
胃肠黏膜受损,黏膜出血、坏死
![]()
胃肠道功能紊乱
中毒性肠麻痹
出血坏死性肠炎
5. 水、电解质、酸碱平衡失调
混合性酸中毒:
缺氧→乳酸↑→代谢性酸中毒
高碳酸血症→呼吸性酸中毒
血钾增高或降低:
缺氧、酸中毒,钠泵功能失调,钾外流
吐泻及营养不良致低钾
稀释性低钠血症:
1.肾素-血管紧张素-醛固酮亢进,水钠潴留
2.缺氧常伴有ADH分泌增加,水潴留
3.缺氧、酸中毒,细胞钠泵功能失调,钠内流
肺炎临床表现
1.呼吸系统
发热:热型不定,可正常或体温不升(早产儿,营养不良)
咳嗽:初干咳,后有痰;口吐白沫(早产儿,新生儿)
气促及呼吸困难:呼吸频率快,鼻翼扇动、三凹症、点头状呼吸、呼气性呻吟、口唇紫绀
肺部罗音:固定的细湿罗音
2.循环系统(心力衰竭的临床表现)
呼吸突然↑: > 60次/分,不能以哭吵、发热等解释
心率突然↑: 婴儿>180次/分,幼儿>160次/分
肝脏迅速增大:
心音明显低钝:可以伴有奔马律
突然烦躁不安:伴面色苍白,发灰
尿少或无尿:可以伴颜面和下肢浮肿
3.中枢神经系统(中毒性脑病)
轻度:躁动、嗜睡
重度:昏迷、惊厥

头痛、囟门突出、瞳孔改变
球结膜水肿、呼吸改变
4.消化系统
肠功能紊乱: 纳差、呕吐、 腹胀
中毒性肠麻痹: 腹胀明显、肠鸣音消失
坏死性小肠炎:便血、肠坏死、肠穿孔
金黄色葡萄球菌性肺炎
(staphylococcal pneumonia)
一、起病急,病情严重,发展迅速
二、毒血症状明显,如高热、面色苍白、气促 、纳 呆、腹胀等,可有腥红热样或荨麻疹样皮疹
三、易形成脓胸、脓气胸、肺大泡、纵隔气肿、皮下气肿等并发症,易变性是金葡菌的X线特征
四、局限能力低下者散播成败血症和形成迁徙性化脓性病灶
五、半数婴幼儿WBC ↓
六、对抗生素耐药性强,病程较长,常在4~6周以上
13个小时前后胸片对照


腺病毒肺炎
(adenovirus pneumonia)
一、多见6个月~2岁小儿,高热,多为稽留热
二、症状重,咳剧,严重喘憋、面色苍白或发灰、发绀、早期肺部体征较少或出现晚
三、易致神经系统、心血管系统及消化系统受累
四、X线特点:肺纹理多,肺气肿多,大病灶多,融合病灶多;圆形病灶少,肺大泡少,胸腔积液少。
五、病灶吸收缓慢,病程>4周
呼吸道合胞病毒肺炎
▪ 多见于6个月内的婴儿,起病急,一般无发热或呈低热
▪ 咳喘较明显,可有明显喘鸣,并伴气促、 呼吸困难、发绀、但一般无明显中毒症状
▪ 肺部可闻及广泛哮鸣音及中细水泡音
▪ X线显示支气管周围炎及明显的肺气肿
▪ 病程较短,一般<2周
支原体肺炎
(mycoplasmal pneumoniae pneumonia)
一、5岁以上儿童多见。
二、四季散发,可有局部小流行。
三、临床表现:多种多样。
轻者仅低热、咳嗽,肺部阳性体征少
重者高热、剧烈咳嗽、头痛、全身不适、
肺外多系统损害
四、X线表现
五、症状重体征轻,体征轻影像学明显
六、治疗:选用大环内脂类抗生素,疗程2-3周
不同类型肺炎鉴别诊断

肺炎并发症
脓胸: 葡萄球菌引起,G-杆菌
累及胸膜
呼吸困难加重
患侧呼吸运动受限
语颤减弱
叩诊浊音
听诊呼吸音减低
脓气胸:病因:肺边缘脓肿破裂→脓液、气体进入胸腔
表现:病情突然加重,呼吸困难、烦躁不安
叩诊:在积液上方鼓音,下方浊音
听诊:呼吸音减弱或消失
肺大泡:病因: 细支气管炎症
活瓣样阻塞
![]()
气体只进不出
![]()
肺泡扩大破裂
症状:体积小,无症状
体积大,急性呼吸困难
辅助检查
▪ 血常规,C反应蛋白
▪ 病原学检查:细菌培养、病毒分离、抗原抗体检测 、PCR法测病原体DNA
▪ 血气分析
▪ 胸片检查:斑片状渗出影、间质改变、肺不张、肺气肿
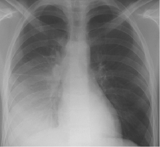
大叶性肺炎
(lobar pneumonia)

16岁患者患大叶性肺炎:
胸部 X 线检查所见:右下中
叶片状阴影,向基底部密度
增加

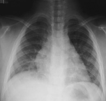
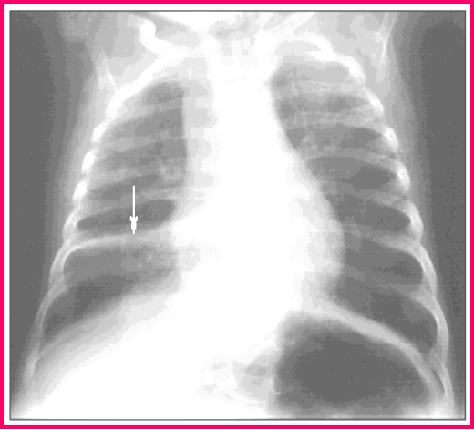
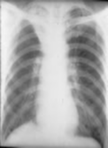
肺不张
3月龄女婴患肺炎后情况:
胸部 X 线检查所见:右下叶
肺不张的 锲形阴影(箭头)
右中叶肺脓肿

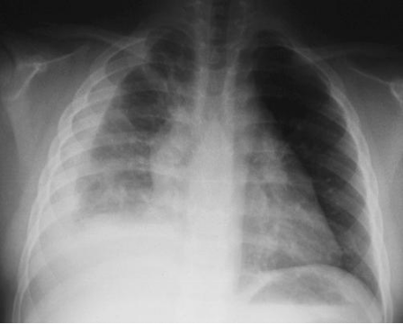
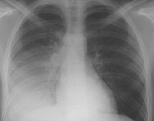
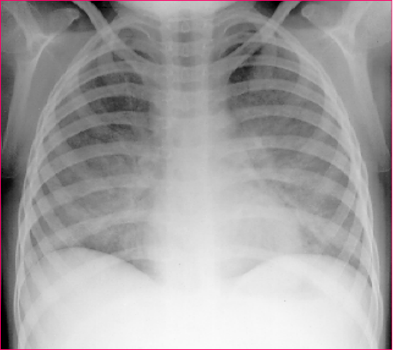
节段性肺炎
(segment pneumonia)

5 岁男孩患节段性肺炎
胸部 X 线检查 :见左中
肺野羽毛 状阴影(箭头)

(正位)右上叶肺不张
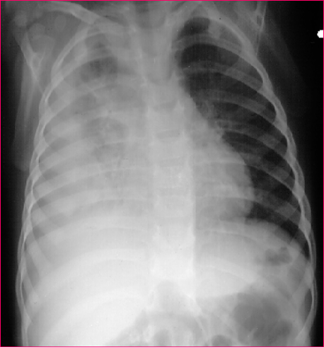
白色念珠菌肺炎
(candida pneumonia)
4 岁女孩患感染性肉芽肿,
合并肺炎。卧位胸部 X 线
检查见:
-双侧致密中等大小班片阴影
-右侧肺门大片致密阴影
-肺部透亮度增加,尤其是基底部
卡氏肺囊虫所致间质性肺炎
4 岁半女孩患卡氏肺囊
虫所致间质性肺炎(心脏
手术后)胸部 X 线检查:
典型均一性毛玻璃状浑
浊,下野特别明显
诊断与鉴别诊断
诊断
临床症状、体征、胸片、病原学检查
鉴别诊断
肺结核
支气管异物
支气管哮喘
复查胸片指征
治疗48h-72h后无改善或加重
肺叶不张
圆形病灶
同一肺叶反复肺炎
肺炎的治疗
一般治疗
环境温度和湿度
气道护理
营养支持
病原治疗
抗生素治疗
原则:根据病原菌;渗入下呼吸道浓度高;
早期、联合、足量、足疗程用药
药物:WHO推荐SMZ、青霉素、氨苄西林和阿莫西林
疗程:
体温正常后5-7天,症状消失后3天
途径:重症肺炎宜静脉给药
抗病毒治疗
对症处理
氧疗
保持呼吸道通畅:祛痰、扩张支气管、湿化气道
镇静降温
水、电介质、酸碱平衡
心力衰竭的处理:强心、 利尿、扩血管、镇静
腹胀处理:禁食、胃肠减压,纠正低钾血症
脑水肿处理:脱水剂
并发症的处理:并发脓胸、脓气胸者,应进行抽脓、抽气,或闭式引流
激素疗法
糖皮质激素治疗
指征
1、严重喘憋
2、中毒症状明显
3、胸膜有渗出者
4、中毒性脑病,感染性休克,呼吸衰竭
支持治疗:静脉丙球、血浆
物理治疗


