-
1 内容
-
2 作业

JIA的主要药物治疗
◆ 非甾体类消炎药(NSAIDs)
◆ 缓解病情抗风湿病药物(DMARDs)
-传统
-生物制剂
◆ 糖皮质激素
不同亚型的治疗方案

药物治疗——非甾体抗炎药物(NSAID)
◆ 萘普生 10-15mg/(kg·d),分两次服用,最大每天1000 mg
◆ 布洛芬 20-40mg/(kg·d),分3-4次服用,最大每天2400 mg
◆ 双氯芬酸钠(扶他林)1-3mg/(kg·d),分3次服用,最大每天200 mg
◆ 尼美舒利
◆ 美洛昔康 0.25mg/(kg·d),每天一次,最大每天 15mg
COX-2抑制剂:西乐葆 6-12mg/(kg·d),分两次,最大每天400mg
避免两种同时运用,运用两周无效可换另一种,病情控制后可考虑先减
药物治疗——糖皮质激素
◆ 全身——口服:泼尼松1-1.5-2 mg/(kg·d),
总量不超过60 mg/d,分次服用或晨起顿服,
逐渐减量至停用(SJIA疗程)
◆ 局部——关节腔注射:曲安奈德/己曲安奈德,大关节为主


适应症:
◆ 未控制的SJIA,用非甾体类消炎止痛药疗效不佳,高热不退
◆ 致命的SJIA伴重要脏器受累(如MAS)
◆ 幼年特发性关节炎多发关节炎:关节腔大量积液,严重影响关节功能者——小剂量、短疗程 “桥治 疗”
◆ 幼年特发性关节炎伴慢性葡萄膜炎(局部用药)
传统DMARDs缓解病情抗风湿病药物
— 减缓或阻止免疫系统对关节的攻击;缓解疼痛和肿胀
— 延缓或阻止关节损伤进展(骨侵蚀)的药物
◆ 甲氨蝶呤(methotrexate , MTX)每周10-15mg/㎡,口服或肌注
◆ 羟氯喹 (HCQ) 5-6.5 mg/(kg·d),分次服用
◆ 柳氮磺胺吡啶 (SASP) 30-50mg/kg/d,分2-3次口服
◆ 来氟米特(Leflunomide,LEF)
<20kg, 10mg qod; 20-40kg, 10mg qd ;>40kg, 10-20mg qd


生物制剂DMARDs
◆ TNF-α:抑制剂
TNF-α受体融合蛋白:TNFRII-Ig(恩利,益赛普)
人鼠嵌合单克隆抗体:Remicade(类克)-infliximab
人源单克隆抗体:Humira(修美乐)-adalimumab
◆ B细胞:抗CD20抗体(美罗华)
◆ T细胞 :阿巴西普

IL-6,FDA获准用于sJIA

理疗(PT, physical therapy)和
职业治疗(OT, occupational therapy)
◆ 急性期休息
◆ 症状缓解后加强功能锻炼及体育活动
◆ 保持关节活动和肌力强度
◆ 防止发生或纠正关节残疾
JIA手夹板固定

关节致残
生长发育延迟

下肢长度不等长

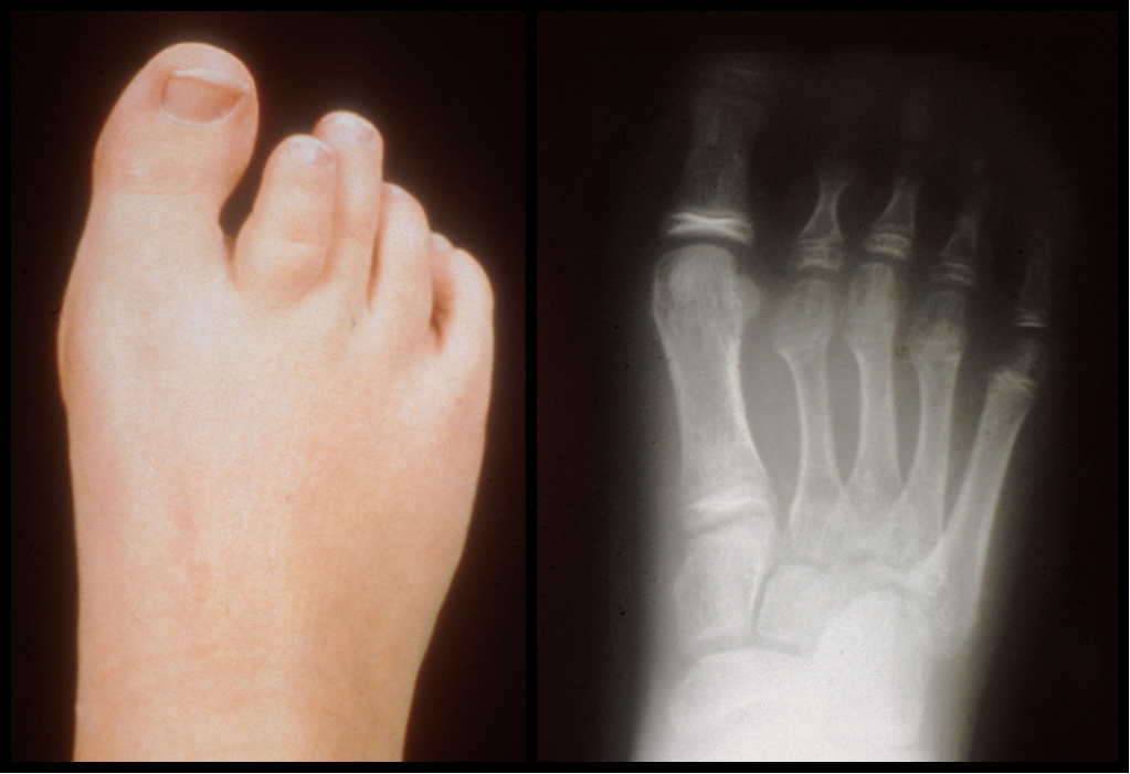
关节畸形:趾骨缩短

膝关节腘窝囊肿

指指关节:类风湿结节

肘关节:类风湿结节

颞颌关节受累——张口受限

小颌畸形

颈椎活动受限,小颌畸形

致盲
虹膜睫状体炎


JIA与葡萄膜炎

CRM:用药临床缓解 CR:停药临床缓解


