-
1 内容
-
2 作业
新生儿肠梗阻
Intestinal Obstruction in the Neonate
病 因
胚胎期以肠系膜上动脉为轴心的旋转运动不完全
肠道再腔化障碍学说
肠管血运障碍学说
外胚层神经嵴神经母细胞移行障碍
胎粪粘稠:胰腺囊性纤维化
母体因素:感染、妊毒、糖尿病、药物
病 理
◇ 呕吐使消化液大量丢失:
失水,电解质紊乱,酸碱失衡
◇ 呕吐吸入,腹胀横膈抬高:
化学性和细菌性肺炎,窒息
◇ 肠道细菌繁殖:
肠缺血、坏死、穿孔、败血症
临床表现Clinical manifestation
◇ 新生儿肠梗阻三大特点:
胆汁性呕吐 Bile-stained vomiting
腹胀 Abdominal distention
胎粪排出障碍 Failure to pass meconium
全身情况(嗜睡、肌张力低、气促)


常见的各种新生儿肠梗阻
◇ 机械性肠梗阻
◇ 功能性肠梗阻
先天性巨结肠 25~30%
新生儿坏死性肠炎
小左结肠综合症
感染
代谢性

先天性肠闭锁
Intestinal Atresia and Stenosis


临床症状
呕吐:时间 从第一次喂奶到2、3天均可
性质 多数为胆汁样、粪汁样
腹胀:高位早期表现不明显,仅为上腹胀
低位腹胀明显
胎粪排出障碍:正常为24小时内第一次胎粪
(墨绿色粘胨)排出,2~3天排净
一般情况


诊 断
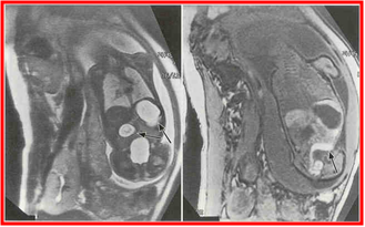
◇ 产前诊断
胎儿超声
羊水过多 胃及十二指肠近端扩张
多个肠扩张 蜂巢状分布
胎儿MRI



◇ 产后诊断
临床特点:出生后24~48小时内胆汁性呕吐,
腹胀或胎粪排出少或无,应高度怀疑
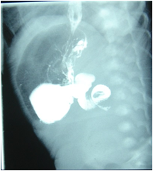
腹部平片:
十二指肠闭锁--双泡征(Double bubble sign)
空肠高位闭锁--三泡征
小肠低位闭锁--多数液平面
上消化道钡餐

治 疗
手术是唯一的解决办法
肠隔膜切除手术 (Intestinal septum excision)
肠切除肠吻合术 (Intestine resection and anastomosis)
预 后
与闭锁类型及剩余肠管有关



肠旋转不良
Congenital Malrotation of Intestine

定义 Definition
胚胎期肠道以肠系膜上动脉为轴心的旋转运动不完全或异常,使肠道位置发生变异和肠系膜附着不全而引起的肠梗阻
胚胎学 Embryology
6~8周 形成暂时性脐疝
10周 中肠回纳腹腔,并发生逆时针方向从左向右旋转

病 理
◇未旋转和旋转不完全:小肠与回盲部位置异常
(Nonrotation and Incomplete rotation)


◇ 十二指肠受压,异常腹膜瓣
(Duodenum compressed by abnormal peritoneal band,Ladd’s band):
小肠高位腔外不全性梗阻
◇ 空肠近端与升结肠异常粘连

◇ 中肠扭转
(Midgut volvulus)
狭窄的肠系膜根部扭转造成急性闭襻性肠梗阻伴血供异常


临床症状
◇ 呕吐
胆汁样呕吐,间歇性,发生在生后3~5 天,或无症状
◇ 腹胀
一般上腹胀,发生肠扭转坏死时为全腹胀
◇ 排便
可有胎粪排出,便血为肠扭转坏死的表现
新生儿:有正常胎粪,3~5天后间歇性呕吐,大便少
而干,无腹胀
婴儿和儿童:出生时症状可有可无,间歇发作,也可
突然发生肠扭转
◇ 肠扭转症状:便血、腹膜炎、休克


◇ X-ray
腹部直立前后位平片:双泡征(左上腹和右上腹略低处),下腹部有少量气泡影
钡剂灌肠:盲肠和升结肠位于上腹部或左侧
腹部GI:十二指肠框分布异常,小肠集中于右侧腹部




治疗原则
◇ 无症状
大部分建议手术
部分认为仅小儿需要手术
◇ 高位肠梗阻 早期手术 非即刻手术
◇ 有肠道出血或腹膜炎体征(肠坏死者)
即刻手术(Ladd¢s operation)
肠系膜逆时针旋转
松解十二指肠膜状压迫
松解空肠上段膜状压迫
排列小肠于右侧腹部,结肠于左侧腹部
切除阑尾
◇ 预后 术后恢复良好,手术治愈率90%以上

新生儿肠梗阻
肠闭锁
肠旋转不良
重 点
新生儿肠梗阻临床表现和病理
先天性肠闭锁的临床表现和诊断
先天性肠旋转不良的病理改变、临床表现、肠扭转表现、诊断要点

