川崎病
Kawasaki Disease
教学目的和要求
▪ 了解川崎病的病因及基本病理变化
▪ 掌握川崎病的临床表现和诊断
▪ 熟悉川崎病的治疗
主要内容
▪ 介绍川崎病的病因和基本病理变化
▪ 重点讲解川崎病的临床表现、辅助检查及 诊断标准
▪ 讲解川崎病的一般治疗
▪ 讲解川崎病的预后及随访
川崎病(Kawasaki disease)于1967年由日本的川崎富作首先报道

川崎病流行病学调查结果讨论会日本川崎病研究中心,2003年

Incidence of KD Worldwide
(世界范围内的川崎病发病率)

Incidence of KD Worldwide
(中国的川崎病发病率)


Pathological Features(病理特征)
▪ Acute stage: 1~9 days
Micro-vascular, arterioles and small veins inflammation
▪ Subacute stage:12~25 days
Coronary artery vasculitis
▪ Early convalescent stage:28~31 days
Granuloma formation in the arteries, aneurysm formation &thrombosis.
▪ Late convalescent stage: several months ~ several years
Arterial intimal thickening, scar formation, thrombosis,
ischemic heart disease
Clinical Manifestations(临床表现)
主要表现:
▪ 发热持续5天或更长
Fever lasting 5 days and above
▪ 双侧结膜充血,无脓性分泌物
Bilateral conjunctivalinjection without exudate
▪ 口唇干裂、草莓舌
Dry fissured lips, and strawberry tongue
▪ 多形性红斑
Erythemamultiforme
▪ 急性期手足硬性水肿,恢复期指(趾)端膜状脱皮
Hard edema or erythema of hand & foot in acute phase,desquamation of the fingers ortoes in convalescence
▪ 颈部淋巴结肿大
Cervical lymphadenopathy

Clinical Manifestations(临床表现)
心脏表现:
▪ 病程第1~6周,可出现心包炎(pericarditis)、心肌
(myocarditis)、心内膜炎(endocarditis)、心律失常(arrhythmia)
▪ 冠状动脉损害多发生于病程第2~4周,也可发生于恢复期
冠状动脉损害:冠状动脉扩张(coronary artery dilation)
冠状动脉瘤(coronary artery aneurysms)
冠状动脉狭窄(coronary artery stenosis)
▪ 心肌梗死和冠状动脉瘤破裂可致心源性休克、甚至猝死
其他表现:
▪ 非特异性的表现,包括:
间质性肺炎、无菌性脑膜炎、消化系统症状(腹痛、呕吐、腹泻、
麻痹性肠梗阻、肝肿大、黄疸等)、关节炎、关节痛等
DiagnosticCriteria for KD(川崎病诊断标准)
▪ Diagnostic Guidline(Revised5th Ed,2002)
- 五项或五项以上主要临床表现
Five main symptoms and above
-四项主要临床表现+冠状动脉损害(冠状动脉瘤或冠状动脉扩张)
并排除其他疾病
Four main symptoms + evidence of CA lesions including CA aneurysm or ectasiawhen other diseases are excluded
AuxiliaryExamination (辅助检查)
血液检查:
▪ 白细胞增高,以中性粒细胞为主,伴核左移
▪ 轻度贫血
▪ 血小板早期正常,第2~3周时增多
▪ 血沉增快
▪ C-反应蛋白升高
▪ 血清转氨酶升高
免疫学检查:
▪ 血清IgG、IgM、IgA、IgE和血循环免疫复合物升高
▪ TH2类细胞因子(例如IL-6)明显增高
▪ 总补体和C3正常或增高
Electrocardiogram, ECG (心电图)
▪ 早期可以有非特异性ST-T变化
▪ 心包炎时可有广泛ST段抬高和低电压
▪ 心肌梗死时ST段明显抬高、T波倒置、异常Q波
ChestX-ray (胸片)
▪ 无特异性变化
▪ 可有肺纹理增多、模糊或有片状阴影,心影可扩大
Echocardiography,ECHO (超声心动图)


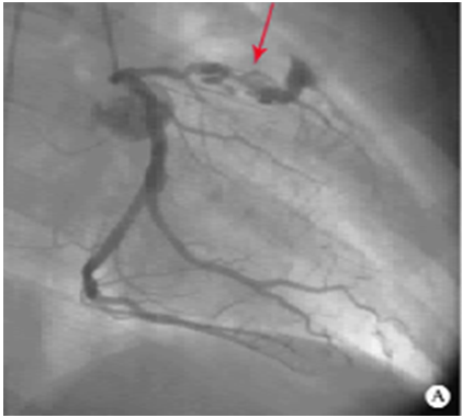
CoronaryAngiography (冠状动脉造影)
左、右冠状动脉巨大冠脉瘤伴血栓形成

左前降支巨大冠脉瘤内有血栓,远端狭窄

回旋支冠脉瘤

右冠脉巨大冠脉瘤伴狭窄
Multislice CT (多层螺旋CT)

Radionuclidemyocardial perfusion imaging
(核素心肌灌注显像)

99Tcm-MIBI心肌灌注显像显示左室前壁和心尖局灶性缺血
Findingsin coronary artery bypass grafting
(冠状动脉搭桥术中所见)

冠状动脉瘤样扩张
Treatment (治疗)
▪ 阿司匹林(Aspirin) :
急性期30~50mg/kg/d,分2~3次,p.o.
热退、症状消失后,减至3~5mg/kg qd,维持6~8w
若有冠状动脉病变,用至冠状动脉恢复正常
▪ 静脉滴注丙种球蛋白(IVIG) :
发病早期(10d之内)1~2g/kg,于8~12h内ivgtt
部分患儿IVIG效果欠佳,可重复用1~2次,但仍有1%~2%耐药
用过IVIG患儿9个月内不宜进行麻疹、风疹、腮腺炎等疫苗接种
▪ 糖皮质激素(Glucocorticoid) :
IVIG治疗无效的患儿可考虑使用糖皮质激素
可以与阿司匹林、双嘧达莫合用
剂量2mg/kg/d,用2w~4w
▪ 其他:
抗血小板聚集:双嘧达莫3~5mg/kg/d
对症支持治疗:补液、护肝、控制心力衰竭、纠正心律失常
溶栓:有心肌梗死时及时溶栓
心脏手术:严重冠状动脉病变者及时进行冠状动脉搭桥术
或冠状动脉支架植入术
▪ IVIG非敏感型川崎病的治疗:
首剂IVIG仍发热者,尽早再次用IVIG
糖皮质激素+阿司匹林
Prognosis (预后)
▪ 川崎病多数预后良好,复发率1%~2%
▪ 未经有效治疗者,冠状动脉病变发生率15%~25%
▪ 中、小型冠状动脉瘤可消退,但常遗留管壁增厚、弹性减弱等功能异常
▪ 巨大冠状动脉瘤不易消退,常致血栓形成或管腔狭窄
我国首部 “川崎病冠状动脉病变的临床处理建议”

冠状动脉病变严重程度分级

基于“分级”的川崎病冠状动脉病变的诊断与评估

基于“分级”的川崎病冠状动脉病变的治疗和管理


