-
1 内容
-
2 作业
先天性巨结肠
Hirschsprung’s Disease
Congenital intestinal aganglionosis

☆ 解剖学(Anatomy)
▷ 扩张段:近端结肠扩大、肥厚、苍白、粘膜水肿、粪块
▷ 狭窄段:远端结肠狭窄、痉挛
▷ 移行段:两端之间


☆ 组织学 Histology
▷ 病变肠段肠壁神经丛中神经节细胞缺如
▷ 肠壁神经丛中胆碱酯酶阳性神经纤维较正常显著增多、增粗
▷ 肾上腺素能神经纤维排列混乱,荧光纤维增多

☆ 病理生理学Pathophysiology
▷ 孕6 ~ 12周,来源于神经嵴的成神经细胞沿肠管由头向尾迁移受阻,致远端神经节细胞缺如
▷ 病变肠段失去正常蠕动,处于痉挛状态,
功能性肠梗阻
▷ 肛门内括约肌痉挛,无正常排便反射
▷ 近端肠段继发性扩张、肥厚

☆ 临床表现 Clinical findings
▷ 新生儿:
- 呕吐:胆汁性或粪质性
- 腹胀
- 胎粪延迟排出
- 直肠指检:括约肌紧,直肠壶腹空虚,退出气粪冲出
- 灌肠后症状缓解
▷ 婴儿及儿童:
- 新生儿期便秘
- 营养不良、贫血
- 慢性腹胀



☆ 诊断 Diagnosis
▷ 钡剂灌肠(Barium Enema)
- 无神经节细胞段与近端结肠口径差别、扩张段、狭窄段及移行段改变
- 结肠炎时粘膜锯齿状改变
- 24小时后钡剂滞留
操作简单,方法普及
新生儿确诊率80%
短段型不易诊断



▷ 肛门直肠测压 Anorectal Manometry
- 肛门直肠抑制反射消失
- 大部分巨结肠病人阴性
- 缺点:假阳性 大龄儿童收缩外括约肌

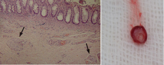
▷ 直肠活检 (Rectal biopsy,明确诊断)
- 直肠粘膜吸引活检(Suction biopsy)
▪ 齿状线上1-2cm
▪ 寻找粘膜下神经丛及神经节细胞
▪ 简单、安全、并发症少
▪ 假阴性 (年龄, 粘膜水肿, 取材量,病理科医生经验)
- 直肠全层活检(金标准)
▪ 复杂,相应并发症,可能影响根治手术


☆ 并发症Complications
▷ 小肠结肠炎 严重可危及生命
- 从便秘到腹泻
- 腹膜炎及败血症
- 发热伴有腹胀
- 肛指大量腥臭便
▷ 穿孔
- 回盲部穿孔
- 肠坏死与穿孔
治 疗
▷ 结肠灌洗 Colon irrigations等张液 1~2次/每天 勿用水
▷ 结肠造瘘 Colostomy:
▷ 根治术 Soave 、Swenson 、 Duhamal、Rehbein



先天性直肠肛门畸形
Anorectal Malformations (ARMs)
▷ 消化道畸形的首位
▷ 男性多于女性
▷ 类型繁多
▷ 相关畸形:泌尿生殖系,其他消化道,心血管系统,脊椎
▷ 治疗方法各异


分型 Classification
1984年国际分类法(Wingspread)
▷ 以性别分男女两组
▷ 按直肠盲端与耻骨直肠肌关系分为高、中、低位
- 高位 骶尾线以上
- 中位 位于骶尾线与坐骨尖线之间
- 低位 坐骨尖线以下
▷ 根据瘘管有无分亚型
PC line: pubococcygeal line
I line: ischial line


ARM classification


2005年国际诊断分型(Krinkenbeck)
肛门直肠畸形国际诊断分型标准(Krinkenbeck,2005)

ARM 临床表现(男性)



诊 断
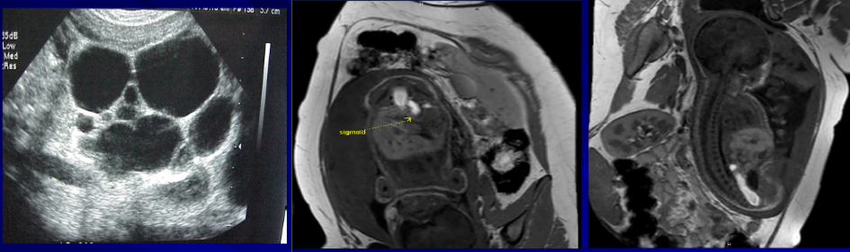
▷ 产前诊断
- 超声 胎腹膨隆;下腹可见“双叶征”;羊水过多
- 胎儿MRI

产后诊断
X线征象:出生12h后进行倒立侧位摄片(时间、体位、按摩、肛门标志)

- cyanosis
- vomiting
- bronchial aspiration


治 疗
目的:建立一个括约功能良好的肛门
▷ 高位及中位
- 结肠造瘘生后
- 6~12月 根治术
▷ 低位
- 后矢状入路肛门直肠成形术(PSARP)
- 女性 低位 扩肛术 6~8月肛门直肠成形术

先天性巨结肠
先天性肛门直肠畸形
☆ 重点
▶ 先天性巨结肠病理改变和临床表现
▶ 先天性肛门直肠畸形分型原则

