-
1 内容
-
2 作业
小儿心血管疾病特殊检查
1、X线 (Chest X-ray)(正侧位)
√ 肺:渗出、肺血多少
√ 心脏:心房、心室、大血管的位置、形态、大小,肺动脉段情况
√ 内脏异位:心脾综合征

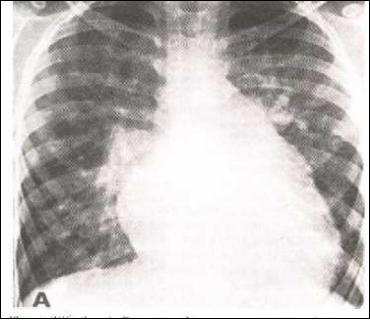
正常心脏胸部正位片示意图(A-P) 正常心脏胸部侧位片示意图(Lateral)
肺血多

大型室间隔缺损
心胸比例增大,以左室大明显;
肺动脉段凸出
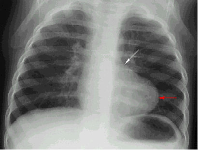
法洛四联症(靴形心)
新颖大小正常;心尖上翘(右室大);
肺动脉段凹陷
肺血少
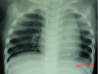
肺血正常

肺动脉瓣狭窄
右心缘饱满;肺动脉段凸出
X-Ray --心脏形状




2、心电图(Electrocardiography, ECG)

△ 节律:窦性或异位,规整,快或慢
△ 心房、心室的大小、肥厚
△ 传导系统
△ 心肌缺血
△ 右位心,心脏右移或转位
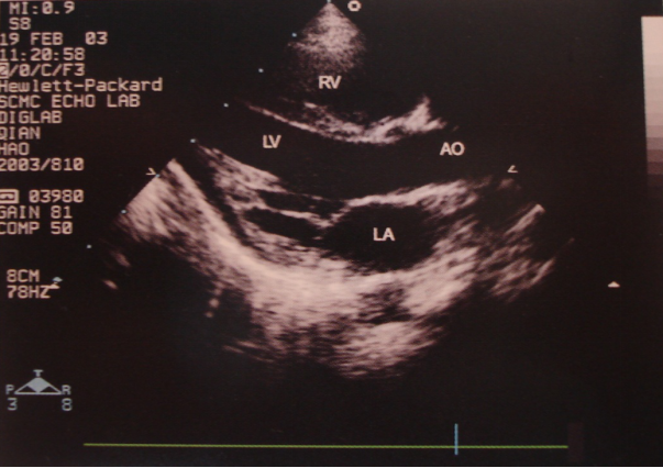
3、超声心动图(Echocardiography,ECHO)
(1) M型、二维、及Doppler(彩色多普勒、脉冲及连续多普勒)超声心动图
(2) 三维超声心动图
(3) 食道超声心动图
(4) 心腔内超声心动图
(5) 胎儿超声心动图
M型超声心动图

二维超声心动图

胸骨旁长轴切面 四腔心切面
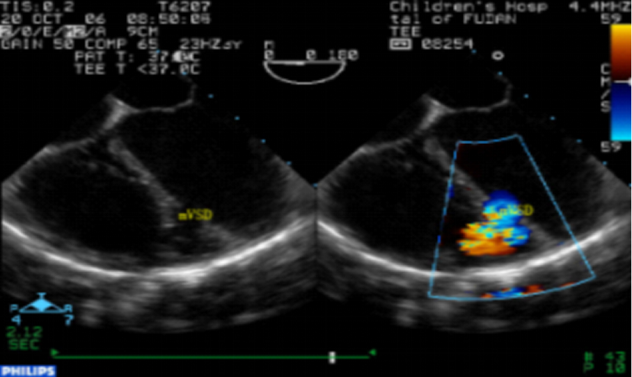
彩色超声心动图

二维及彩色多普勒显示肌部室间隔缺损
4、多排螺旋CT三维成像 (Multi - slice CT Three - dimensioned Angiography ):
大血管形态、 冠状动脉形态-依靠心率

主动脉弓缩窄伴弓部及降部发育不良 主动脉弓离断:升主动脉与降主动脉不连续,
降主动脉通过粗大动脉导管供血
5、心脏核磁共振(Magnetic Resonance Imaging,MRI)

√ 心内畸形
√ 大血管形态
√ 心功能:评价右室功能
——无创、无放射性
主动脉弓降部局限性缩窄
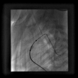
6、心导管检查及心血管造影
(Cardiac Cathterization and angiogram)
进一步明确诊断并决定手术方案——金标准
√ 动脉、静脉途径——左心导管、右心导管
√ 血流动力学改变:心腔和大血管压力、血氧含量
√ 心血管造影:选择性造影-明确各种畸形的解剖

心血管造影
(a)肺动脉闭锁 (b)动脉导管供应肺血

(c)极重度肺动脉瓣狭窄 完全性肺静脉异位引流(心下型)
心导管检查:介入治疗
√ 堵闭治疗:缺损,异常管道
√ 扩张治疗及支架植入: 瓣膜和血管狭窄
√ 增加房间交通:复杂畸形





