-
1 内容
-
2 作业
儿童泌尿道感染
(unrinary tract infection,UTI)

概 述
▪ 儿科最常见的感染性疾病之一
▪ 国内统计约占泌尿系统疾病住院第3~4位
▪ 临床以细菌尿和〈或〉白细胞尿为特征
▪ 小儿UTI症状多不典型,容易漏诊
▪ 伴先天性尿路畸形或反复感染可导致肾瘢痕形成(肾功能受损)
Urinary Tract Infection UTI
Vesicoureteral Reflux VUR
▪ 在婴幼儿发热性 UTI 中 8%-30% VUR
▪ Recurrence UTI is common in VUR
▪ VUR affects 1% of all children
▪ VUR – CAKUT
Congenital Anomalies of the Kidney and Urinary Tract

病因和发病机制
UTI的形成取决于
▪ 机体的结构和防御机制
▪ 细菌等病原菌的致病因素
宿主的易感因素
▪ 小儿的输尿管长而弯曲, 管壁弹力纤维发育不良
▪ 女婴尿道短, 男孩包茎积垢
▪ 泌尿系统先天异常#
如双肾盂、双输尿管 后尿道瓣膜
神经原性膀胱
膀胱输尿管反流
多囊肾
▪ 其他疾病状态(nephrotic syndrome)
(二)致病菌的特征
▪ 80%-90%的尿路感染由肠道杆菌引起
▪ 最常见的是大肠杆菌
▪ 其次为变形杆菌,副大肠杆菌,克雷白杆菌等
▪ 少数为粪链球菌,金葡萄球菌等
▪ 偶由病毒,支原体或真菌、淋球菌引起
临床表现
▪ 新生儿 以全身症状为主, 可由血行感染引起, 男女发病相等
▪ 婴幼儿期 女性较多见, 全身症状重, 局部症状轻微或缺如
▪ 儿童期 下尿路感染以膀胱剌激症状如尿频、尿急、尿痛为主, 上尿路感染以发热、寒战、腰痛、肾区叩击痛、肋脊角压痛等
实验室检查及特殊检查
(一)尿常规
清洁尿离心后镜检
白细胞>5个/HP为异常
白细胞管型更具诊断意义
肾盏乳头炎或膀胱炎可有血尿
(二)尿细菌学检查
1、中段尿培养确诊
2. 尿白细胞酯酶
3. 亚硝酸盐试验
中段尿培养: ①抗生素应用前完成 ②避免污染
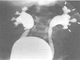
(三)影像学检查
1. B超检查
2. X线检查 排尿性膀胱尿道造影3.核素检查 99mTcDMSA 肾瘢痕较敏感肾动态显像
诊断标准
① 有UTI 症状, 中段尿培养菌落计数≥105/m1
② 无症状, 则要求2次中段尿培养为同一种菌种且菌落计数均≥105/m1
③ 耻骨上膀胱穿刺尿, 细菌生长即有意义
诊 断
▷ 本次系初次感染、复发或再感染
▷ 致病菌的确定及药敏试验
▷ 感染的定位诊断, 肾实质损害程度的估计
▷ 有无尿路畸形、梗阻,如“反流”及其程度
▷ 有无肾功能受损,以做为拟定治疗计划及长期随访的依据
治 疗
▷ 清除细菌
▷ 缓解症状
▷ 防止复发
▷ 保护肾功能
(一)一般治疗 休息,饮水
(二)抗菌疗法
1.急性感染的治疗
新生儿和<6月小儿:静脉用药,总疗程10 ~ 14天。
年长儿上尿路感染-静脉用药, 膀胱炎或轻症者可口服给药,疗程7~10或10~14天
2.复发与慢性感染的治疗 关键: 去除诱因 足量治疗
疗程至少2周或更长, 待尿菌培养阴性后, 再减
维持治疗3~6个月
预防性治疗, 6月~2 年, 不宜选用广谱抗生素
3. “ 反流”的治疗
为什么重视UTI?Why Care About UTI / VUR (CAKUT )
VUR -- Recurrent UTI
VUR + UTI= Renal damage (Renal Scar)
Hypertantion ESRD


Renal transplantation -- 5.7% VUR
ESRD -- 4.3% VUR



目前UTI 策略Current Management of UTI
▪ Diagnosis and treatment of UTI (FUTI) for 2 weeks
▪ USG – All f UTI patient, especially < 5 years
▪ VCUG – f UTI
< 2 years? < 4years?
▪ DMSA scan renal scars APN(if needed)

目前策略 of VUR
▪ Long-term antibiotic prophylaxis until the resolution of VUR (by VCUG yearly or so)
▪ Surgical management of VUR include grades IV and V reflux ( Breakthrough UTIs while on antibiotic prophylaxis)
▪ Endoscopic (Deflux) intervention-not yet in China
The Royal College of Physicians of London (1991)
The Americam Academy of Pediatrics (1999)
目标:更好方案 GOALS
Better strategy
▪ 避免过度检查和治疗
▪ Avoiding over-investigating and over-treating for the UTI children
▪ 合适治疗和随访


