-
1 内容
-
2 作业
新生儿呼吸疾病
Neonatal respiratory diseases
Case report
▪ 一例27岁孕妇,孕31周,胎膜早破26小时,产科医师请新生儿科会诊,怎么办?
1、保胎,继续妊娠?
2、终止妊娠,分娩?
▪ 新生儿科医师建议终止妊娠,提前分娩。娩出一男婴,体重1450克,生后2小时出现呼吸增快,呻吟
1、患儿可能发生了什么问题?
2、怎么处理?
新生儿呼吸窘迫综合症
RDS)respiratory distress syndrome
肺透明膜病 (HMD)hyaline membrane disease
胎龄越小RDS发生率越高
26w 80 %
28w 70 %
30w 40 %
32w 30 %
34w 10-20 %
36w 1 %
=>37w 0-1 %
住院新生儿病人1-2%
出生体重与RDS

病因与发病机理
肺表面活性物质(Pulmonary surfactant)缺乏
1959年32岁的美国Boston儿童医院青年医师Avery
发现RDS为PS缺乏所致
医学研究典范,最伟大的儿科医师



肺表面活性物质
1963年美国总统肯尼迪
生了个早产儿儿子
2天后因RDS死亡
Function of Surfactant

肺表面活性物质的代谢

病因与发病机理
1. 早产儿,Premature infants
2. 剖宫产,cesarean section
3. 糖尿病母亲婴儿,infants of diabetes mother
4. 窒息,asphyxia
5. 先天性PS蛋白缺陷,Sp-B deficiency
6. 缺氧(hypoxia),酸中毒(acidosis)
7. 肺血管通透性增高(permeability of capillary)
8. 肺水肿(Lung edema)
9. 血浆蛋白渗出(exudation of plasma protein)
10.肺透明膜形成(hyaline membrane)
病理(Pathology)
肺透明膜形成,肺泡萎陷,不张

临床表现

呼吸困难,进行性加重
distress in 6 hours after birth
tachypnea, dyspnea
呻吟(groan)、吸凹(three depressions sing)
青紫(cyanosis)
respiratory failure
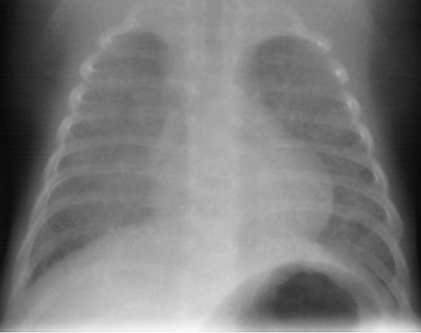
X线胸片
广泛肺不张(diffuse bilateral atelectasis)
透亮度减低,毛玻璃(groun-glass appearance)
颗粒网状阴影(granular-reticular appearance)
支气管充气征(air bronchograms)

groun-glass,granular-reticular appearance
No air bronchograms
Grade II-III RDS

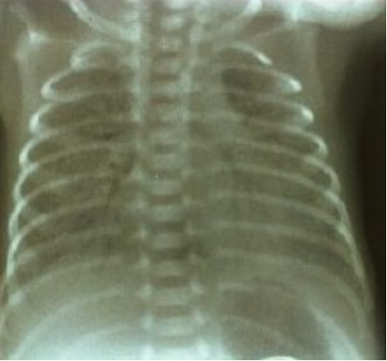
早产儿〔970g〕生后第一天:
“ white lung”(grade IV RDS)


