-
1 内容
-
2 作业
房间隔缺损
(Atrial Septal Defect, ASD)
房间隔缺损:概述
√ 房间隔缺损的发病率:1/1500 活产婴儿
占先心病的5%~10%,男:女=1:2
√ 小儿时期症状较轻
√ 是成年时期最常见的先心病
√ 自然预后:无症状、自然闭合、心力衰竭、肺动脉高压、心律失常
房间隔缺损:胚胎发育

△ 原发孔缺损:第一房间隔停止生长,不与心内膜垫融合而遗留间隙
△ 继发孔缺损:第一房间隔被吸收过多,或第二房间隔发育障碍, 使上下边缘不能接触而遗留间隙
△ 原发孔缺损和继发孔缺损可同时存在

房间隔缺损:病理类型
△ 原发孔型:约占15%
△ 继发孔型:约占75%
△ 静脉窦型:约占5%
△ 冠状静脉窦型:约占2%
房间隔缺损:血流动力学

房间隔缺损:临床表现
△ 小型:无症状,体格检查时发现 2~3 LSB SM 2/6
△ 中大型:
√ 反复呼吸道感染
√ 生长发育迟缓
√ 心功能差:吃奶停顿、面色苍白、气促、多汗、乏力
√ 潜在青紫
√ 体检: 第一心音亢进,肺动脉第二心音增强
第二心音固定分裂
2~3 LSB SM 2~3/6,喷射性
胸骨左下4~5 LSB 舒张早中期杂音(三尖瓣相对狭窄)
肺动脉高压时,肺动脉第二心音增强、收缩期杂音缩短、舒张期杂音消失,可有肺动脉瓣反流/三尖瓣反流的杂音。
房间隔缺损:心电图表现


房间隔缺损:胸片表现

△ 肺血增多
△ 心胸比例增大:> 0.55
△ 右房、右室增大
△ 左室小
△ 肺动脉段突出
△ 主动脉结小
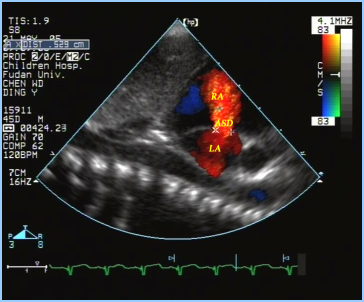
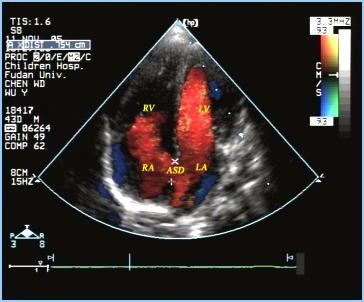
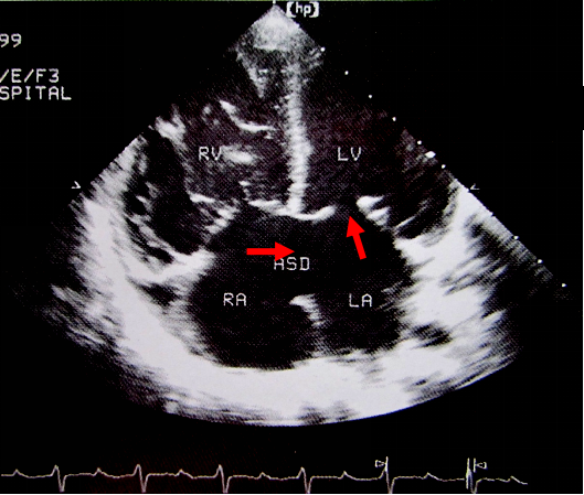
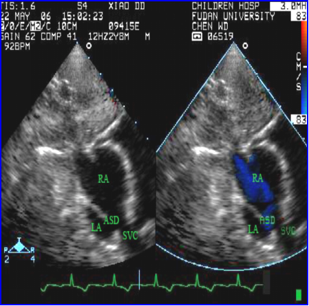
房间隔缺损:超声心动图表现



房间隔缺损(继发孔型)

房间隔缺损(原发孔型)合并二尖瓣裂缺

房间隔缺损(上腔型)合并右上肺静脉异位引流

(间接征象)
胸骨旁主动脉短轴观:
肺动脉内湍流频谱,
表明肺血流量增多,肺动脉瓣相对狭窄

(间接征象)
脉冲多普勒:
肺动脉瓣口流速增快,
表明肺血流量增多,肺动脉瓣相对狭窄


△ 左上肺静脉造影肝锁位显示继发孔型 ASD
△ 心血管造影已不是诊断ASD的常规方法
△ 在ASD封堵治疗时使用,但效果不如超声监测
房间隔缺损:治疗
外科手术:疗效确切,创伤较大,恢复较慢
介入治疗:指征严格,创伤较小,恢复较快



