紫癜性肾炎
儿童紫癜性肾炎的流行病学

全国4863例HSPN患儿,男:女=1.52:1,高发年龄6-13岁与国外报道一致
中华儿科杂志,2013, 51(12): 881-887
紫癜性肾炎诊断

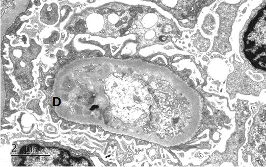
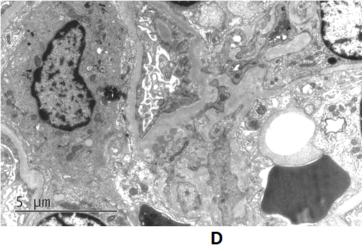
紫癜性肾炎的病理改变



光镜病理分型-ISKDC

临床与病理关系

肾活检指征
• 血尿伴持续蛋白尿
• 临床表现肾病水平蛋白尿或肾病综合征型
• 急性肾炎综合征
• 急进性肾炎
紫癜性肾炎的治疗
• 糖皮质激素能否预防肾损伤的发生?
• 辅助治疗
• 治疗方案的选择
激素能否预防肾损害

纳入1054例患者,两组发生HSPN无明显差异

纳入1230例HSP患儿,两组发生HSPN无明显差异
早期使用激素无明显肾损害保护作用
辅助治疗的循证依据

ACEI和ARB能有效降低蛋白尿,循证来自IgA肾病的治疗
抗凝治疗和抗血小板聚集治疗在临床观察中确实有效
但目前尚无很好的RCT文献支持在HSPN中的应用
循证等级IV级
紫癜性肾炎治疗方案

• 2012年KDIGO指南由于缺乏有效的循证依据,建议参照IgA肾病的治疗
• 观察性研究中发现MMF,CTX,CsA,AZA治疗相对重症HSPN有疗效


紫癜性肾炎预后
Predictors of outcome in Henoch-Schönlein nephritis inchildren and adults
AmJ Kidney Dis, 2006, 47(6):993-1003
• 多因素分析发现:成人,女性,随访中尿蛋白持续阳性是肾损害持续发生的危险因素

儿童和成人肾脏损伤的严重程度
与肾功能受损、腹痛持续时间、蛋白尿程度和高血压呈正相关

HSPN预后与第一次病理不一定相关,临床治疗效果和规律随访,影响其预后
• 儿童紫癜性肾炎自限性,预后良好
• 重视早期规范治疗,规范随访

