-
1 内容
-
2 作业
室间隔缺损
(Ventricular Septal Defect, VSD)
室间隔缺损:概述

◇ 是儿童先心病中最常见的类型
约占我国先心病50%,占成人先心病10%
◇ 可单独存在,也可合并存在于其他心脏畸形
◇ 自然闭合率较高
◇ 自然预后:
无症状、自然闭合、感染性心内膜炎、主动脉瓣脱垂、 右室漏斗部狭窄、心力衰竭、肺动脉高压
室间隔缺损:胚胎发育
◇ 室间隔组成:
① 肌部室间隔:光滑部(窦部) + 粗糙部(小梁化部)
② 圆锥间隔: 左室流出道 + 右室流出道
③ 膜部室间隔:由肌部、圆锥间隔、心内膜垫共同发出的膜样组织
◇ 室间隔缺损是由于各部位室间隔交界处的间隔发育不全、融合不好,或某一间隔发育缺如而形成
室间隔缺损:病理类型
◇ 按部位分型:
√ 流入道
√ 流出道
√ 肌部
◇ 按大小分型:
√ 小型:< 5 mm 或 < 0.5cm2/m2(体表面积)
√ 中型:5~10 mm 或 0.5~1.0cm2/m2(体表面积)
√ 大型:>10 mm 或 >1.0cm2/m2(体表面积)
室间隔缺损:血流动力学

室间隔缺损:临床表现
◇ 小型:无症状,体格检查时发现 3~4 LSB SM
◇ 中、大型:
√ 反复呼吸道感染
√ 声音嘶哑(扩张的肺动脉压迫喉返神经)
√ 生长发育迟缓
√ 心功能差:吃奶停顿、面色苍白、气促、多汗、乏力
√ 潜在青紫
√ 体检:3~4 LSB SM 3~4/6,向四周广泛传导,收缩期震颤
心尖区舒张中期杂音(二尖瓣相对狭窄)
肺动脉高压时,晚期P2明显亢进 杂音 、 青紫
室间隔缺损:心电图表现
◇ 心电轴左偏
◇ 左房肥大:P波增宽、呈双峰,> 0.09秒
◇ 左室肥大:Rv5>30-35mm (3岁以下,>30mm)
Sv1>15-20mm
Rv5+Sv1>45-50mm
Sv1呈QS型
◇ 双心室肥大:Rv3+Sv3>60mm 具有左室肥大和右室肥大的证据

室间隔缺损:胸片表现
◇ 肺血增多
◇ 心胸比例增大:>0.55
◇ 左房、左室增大右室也可增大
◇ 肺动脉段突出
◇ 主动脉结小
室间隔缺损:超声心动图表现

室间隔缺损(流入道部)

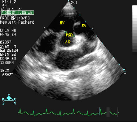
室间隔缺损(流出道部)

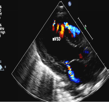
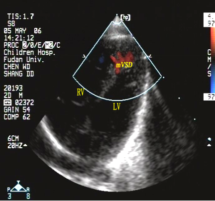
室间隔缺损(肌部,多发性)

左房增大 左室增大
(室间隔缺损的间接征象)
室间隔缺损:心血管造影表现

◇ 左室造影
长轴斜位显示膜周部VSD
◇ 心血管造影已不是诊断VSD的常规方法
◇ 在VSD封堵治疗时使用但效果不如超声监测
室间隔缺损:治疗

◇ 中、小型室间隔缺损可随访至
学龄前期 。出现并发症时对症治疗
◇ 大、中型室间隔缺损、难以控
制的充血性心力衰竭、反复肺 炎、Qp:Qs > 2:1、合并主动
脉瓣脱垂等。尽早手术
◇ 手术:外科、介入
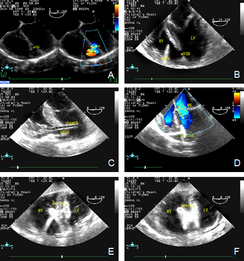
经食管超声心动图监测肌部室间隔缺损镶嵌治疗


