-
1 内容
-
2 作业
新生儿肺炎
Neonatal pneumonia
胎粪吸入综合征
Meconium aspiratory syndrom(MAS)
病因
窒息缺氧,排出胎粪
胎粪进入支气管和肺内
asphyxia, meconium aspiration

病理变化
气道炎症(inflammation): 机械性、化学性、感染性
肺气肿(emphysema)
肺不张(atelectasis)
气漏(Air leaks):气胸、纵隔气肿
临床表现
呼吸困难(respiratory distress)
青紫(cyanosis)
皮肤和指趾甲被黄染
酸中毒(acidosis)
呼吸衰竭(respiatory feilure)
持续肺动脉高压(PPHN)

X线胸片
肺纹理粗、肺气肿
斑片状、结节状阴影
纵隔气肿、气胸

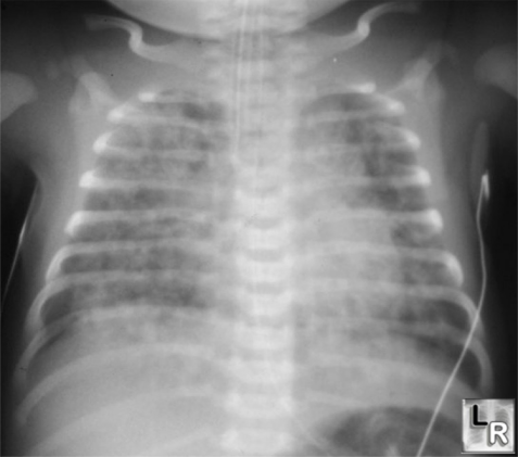
胎粪吸入
生后第一天
胸部X线检查:
对称性分布,
致密的片状 肺部浸润
部分区域充气过度

生后第一天
纵隔气胸:
胸部X线检查:
纵隔气胸(箭头)
正中线两边透亮度增加
将肺挤至外周


治疗
1.气管插管,尽量吸净suction
2.吸氧(oxygen):呼吸困难者应及时吸氧
3、机械通气,ventilation



4、肺动脉高压(PPHN)的治疗

合并PPHN者病情非常严重
纠正酸中毒
血管扩张药物:
吸入一氧化氮(NO)
口服西地那非

吸入一氧化氮(NO)
效果非常显著
吸入后10-20分钟起效



新生儿其他呼吸疾病
1.新生儿呼吸暂停
2.新生儿湿肺
3.新生儿支气管肺发育不良


