-
1 内容
-
2 作业
法洛四联症
(Tetralogy of Fallot, TOF)
法洛四联症:概述
◇ 是儿童时期最常见的紫绀型先心病,约占先心病的10%
◇ 1888年,法国医师Etienne Fallot首先描述了其病理改变和临床表现
◇ “四联症”包括:室间隔缺损、右室流出道狭窄、主动脉骑跨、右室肥厚
◇ 常见的并发症:脑血栓、脑脓肿、感染性心内膜炎
法洛四联症:胚胎发育
圆锥动脉干发育异常,环转不充分:
√ 动脉干内主、肺动脉隔向右移位→主动脉增宽,肺动脉狭窄
√ 圆锥间隔未与膜部和肌部室间隔共同闭合室间孔→主动脉瓣下室间隔缺损
√ 主动脉瓣未完全与左室相沟通→主动脉骑跨于室间隔之上
法洛四联症:病理解剖
右室流出道狭窄
是决定血流动力学、临床表现和预后的主要因素狭窄范围
可自右室漏斗部至肺动脉分支
室间隔缺损 对合不良型,非限制性
主动脉骑跨 主动脉根部内径增宽
右室肥厚 为继发性改变
法洛四联症:血流动力学

法洛四联症:临床表现
紫绀:多见于毛细血管丰富的浅表部位(唇、指/趾甲床、眼结膜等)
杵状指/趾
蹲踞或双下肢蜷曲
阵发性缺氧发作:多见于婴儿,阵发性呼吸困难、抽搐、意识障碍、死亡(狭窄的右室漏斗部突发肌肉痉挛,使缺氧加重)
体格和智能发育迟缓
听诊:2~3 LSB SM 2~3/6, 喷射性,P2 减弱、单一狭窄极严重时杂音消失有时可闻及侧枝循环的连续性杂音


法洛四联症:心电图表现
电轴右偏、右室肥厚、心肌劳损、右房肥大
右室肥厚:V1呈qR
V1呈R型,R>7mm
V1呈Rs型,R/s比值:<1yr > 5mm 1-3yr > 2.5mm 3-5yr > 2mm 5-12yr > 1.5mm >12yr > 1mm

法洛四联症:胸片表现

◇ 心影正常或稍大
◇ “靴形心”:
心尖圆钝上翘,肺动脉段凹陷,上纵膈增宽
◇ 肺野清晰
侧枝丰富者呈网状纹理
◇ 右位主动脉弓(约25%)
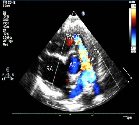
法洛四联症:超声心动图表现



室间隔缺损、主动脉骑跨

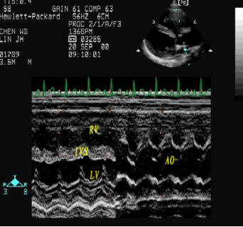
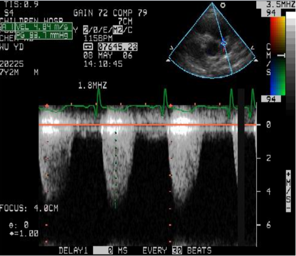
右室流出道狭窄


连续波多普勒测量右室流出道压差
法洛四联症:心血管造影表现
一般情况下不需要心血管造影诊断法洛四联症
用于评估外周血管发育情况、体肺侧支循环、冠状动脉起源与走行等

法洛四联症:治疗
△ 内科治疗
一般护理缺氧发作的治疗:胸膝位、吸氧、普萘洛尔、去氧肾上腺素、吗啡、纠酸缺氧发作的预防:普萘洛尔、去除诱因
△ 外科治疗
一期纠治、二期纠治

