-
1 内容
-
2 作业
完全性大动脉换位
(Complete Transposition of the Great Arteries, c-TGA)
完全性大动脉换位:概述
◇ 是新生儿期最常见的紫绀型先心病占先心病的5%~7%
◇ 若不治疗,约90%在1岁内死亡
◇ 形成两个截然分开的循环系统:主动脉-解剖右室;肺动脉-解剖左室
◇ 必须存在两个循环间的交通才能维持生命
完全性大动脉换位:胚胎发育

完全性大动脉换位:病理解剖

正常情况:肺动脉瓣下圆锥发育,肺动脉位于左前
上方主动脉瓣下圆锥萎缩,主动脉位于右后下方
大动脉换位:肺动脉瓣下圆锥萎缩,肺动脉位于左
后下方主动脉瓣下圆锥发育,主动脉位于右前上方肺动
脉-左室;主动脉-右室
完全性大动脉换位:血流动力学

△ 完全性大动脉换位伴室间隔完整
右室后负荷增加而扩大肥厚,左室后负荷降低,室间隔偏向左室体肺循环之间仅靠卵圆孔未闭和动脉导管未闭沟通,青紫缺氧严重
△ 完全性大动脉换位伴室间隔缺损
体肺循环之间血液交换较多,青紫减轻,但肺血流量增加可致心力衰竭
△ 完全性大动脉换位伴室间隔缺损和肺动脉狭窄
血流动力学改变类似于法洛四联症
完全性大动脉换位:临床表现
紫绀:出生后或新生儿期即有,并逐渐加重若合并动脉导管未闭则有差异性紫绀(上半身紫绀较下半身重)
杵状指/趾
充血性心力衰竭:喂养困难、多汗、气促、肝脏增大、肺部细湿罗音
体格和智能发育迟缓
听诊:可无明显杂音,P2单一响亮伴有室间隔缺损、动脉导管未闭、肺动脉狭窄时出现相应的杂音
完全性大动脉换位:心电图表现
◇ 新生儿期可无特殊改变
◇ 婴儿期电轴右偏,右室增大,右房也可增大
◇ 肺血流量明显增加时,电轴正常或左偏,双心室增大

完全性大动脉换位:胸片表现

◇ “蛋形心”:大动脉阴影狭小,肺动脉略凹陷,心蒂小
◇ 心影进行性增大
◇ 肺纹理增多若伴肺动脉狭窄则肺纹理减少
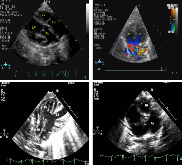
全性大动脉换位:超声心动图表现

完全性大动脉换位:心血管造影表现
◇ 右室压力与主动脉相等,肺动脉血氧饱和度高于主动脉
◇ 主动脉发自右室,肺动脉发自左室,主动脉空间位置异常并可显示是否合并冠状动脉畸形

完全性大动脉换位:治疗
内科治疗
纠正低氧血症和代谢性酸中毒,保持动脉导管开放
外科治疗
1、姑息性手术
球囊房间隔撕裂术,肺动脉环缩术
2、纠治性手术
Arterial Switch术(主动脉与肺动脉互换+冠状动脉移植)

