-
1 内容
-
2 作业
第二节 损伤部位临床表现及治疗
损伤部位

早产儿 足月儿
HIE 神经病理
△ 矢状旁区损伤 (足月儿)
△ 脑室周围白质软化(早产儿PVL)
△ 局灶/多灶性脑损伤
△ 选择性神经元坏死
足月儿

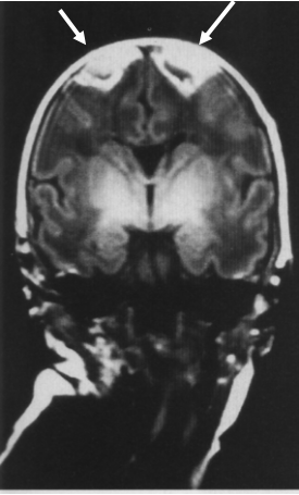
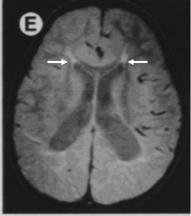
脑血供“分水岭”部位与矢状旁区损伤
足月儿损伤部位
△ 大脑皮层
△ 海马
△ 深部神经核团:尾状核、苍白球、丘脑
△ 脑干
△ 小脑
△ 脊髓

足月儿脑损伤

早产儿脑损伤(periventricular leukomalacia, PVL)
HIE 临床表现

诊 断
1. 病史:缺氧缺血史
2. 临床表现:意识、肌张力、反射、 惊厥
3. 影像学检查:头颅B超、CT、MR
4. 脑电图
诊断标准(2005年)
临床表现是主要依据,同时具备以下四条可确诊,第四条暂时不能确定者可作为拟诊病例
1、有明确的可导致胎儿宫内窘迫的产科病史,以及严重的胎儿宫内窘迫表现(胎心<100次/分,持续5分钟以上;和或羊水III度污染)或分娩中有明确窒息史。
2、出生时有重度窒息,指Apgar评分1分钟3分,并延续到5分钟仍5分,和或出生时脐动脉血气pH7.0。
3、出生后不久出现神经系统症状,并持续到24小时以上,如意识改变(过度兴奋、嗜睡、昏迷)、肌张力改变(增高或减弱),原始反射异常(吸吮、拥抱反射减弱或消失),病重时可有惊厥,脑干体征(呼吸节律改变、瞳孔改变、对光反应迟钝或消失)和前囟张力增高。
4、排除电解质紊乱、颅内出血和产伤等原因引起的抽搐,以及宫内感染和遗传代谢病和其它先天性疾病引起的脑损伤。
辅助检查
1、EEG:生后一周内检查,表现电活动变慢,异常放电,缺乏变异,背景活动异常
2、B超:HIE早期检查(72小时内),有助于了解脑水肿,脑室内出血、基底节、丘脑损伤和脑动脉梗塞等病变类型。
3、CT:生命体征稳定后检查,生后4-7天为宜,有病变者3-4周复查,要排除新生儿脑发育过程中正常的低密度现象
4、MRI:对病变性质和程度评价优于CT,对矢状旁区和基底节损伤的诊断尤为敏感。多层面成像,分辨率高,无放射性损害,但所需时间长、噪音大、费用高
治疗
1. 监护
2. 控制抽搐:鲁米那、安定
3. 减轻脑水肿: 用20%甘露醇
4. 稳定内环境:
血压、血糖、酸碱平衡、水电解质
5. 其它:
神经生长因子、 亚低温
6. 康复训练

HIE 治疗展望
寻找阻断缺氧缺血性瀑布损伤的神经保护策略
△ 氧自由基清除剂、钙通道阻滞剂、兴奋性氨基酸受体拮抗剂和许多炎症介质的抑制剂等在动物实验显示有效
△ 但因毒副作用、给药时机、给药途经、血脑屏障通透性等问题, 仅停留于实验阶段而未进入临床研究
寻找阻断缺氧缺血性瀑布损伤的神经保护策略
△ 亚低温疗法
△ 神经营养因子
△ 神经干细胞
亚低温治疗


HIE 治疗展望
“治疗时间窗”
血脑屏障通透性
疗效
安全性
费用
循证医学的原则

