目录

  • 1 课程介绍
    • 1.1 课程简介
    • 1.2 学习目标
    • 1.3 成绩评定
    • 1.4 教学日历
  • 2 组织学绪论
    • 2.1 学习大纲
    • 2.2 一、组织学的研究内容和意义
    • 2.3 二、组织学发展简史
    • 2.4 三、组织学的学习方法
    • 2.5 四、组织学的常用研究方法
    • 2.6 五、绪论的重要名词
    • 2.7 六、PPT
  • 3 上皮组织
    • 3.1 学习大纲
    • 3.2 一、被覆上皮
    • 3.3 二、腺上皮和腺
    • 3.4 三、上皮细胞的特化结构
    • 3.5 四、上皮组织概述及思维导图
    • 3.6 五、上皮组织图像学习
    • 3.7 六、上皮组织动图
    • 3.8 七、上皮组织重要名词
    • 3.9 八、PPT
  • 4 结缔组织
    • 4.1 学习大纲
    • 4.2 一、疏松结缔组织
    • 4.3 二、结缔组织名称解释
    • 4.4 三、结缔组织图像学习
    • 4.5 四、PPT
  • 5 血液
    • 5.1 学习大纲
    • 5.2 一、概述
    • 5.3 二、红细胞
    • 5.4 三、白细胞
    • 5.5 四、血小板
    • 5.6 五、血液概述及思维导图
    • 5.7 六、血液图像学习
    • 5.8 七、血液动图
    • 5.9 八、血液名词解释
    • 5.10 九、PPT
  • 6 软骨和骨
    • 6.1 学习大纲
    • 6.2 一、概述
    • 6.3 二、软骨
    • 6.4 三、骨
      • 6.4.1 (一)骨组织的结构
      • 6.4.2 (二)长骨的结构
    • 6.5 四、软骨和骨的图像学习
    • 6.6 五、软骨和骨名称解释
    • 6.7 六、知识拓展
    • 6.8 七、PPT
  • 7 肌组织
    • 7.1 学习大纲
    • 7.2 一、概述
    • 7.3 二、骨骼肌
      • 7.3.1 (一)骨骼肌纤维的光镜结构
      • 7.3.2 (二)骨骼肌纤维的超微结构
      • 7.3.3 (三)骨骼肌纤维的收缩原理
    • 7.4 三、心肌
      • 7.4.1 (一)心肌纤维的光镜结构
      • 7.4.2 (二)心肌纤维的超微结构
    • 7.5 四、平滑肌
      • 7.5.1 (一)平滑肌纤维的光镜结构
      • 7.5.2 (二)平滑肌纤维的超微结构
    • 7.6 五、肌组织图像学习
    • 7.7 六、肌组织名词解释
    • 7.8 七、知识拓展
    • 7.9 八、PPT
  • 8 神经组织
    • 8.1 学习大纲
    • 8.2 一、概述
    • 8.3 二、神经元
      • 8.3.1 (一)神经元的结构
      • 8.3.2 (二)神经元的分类
    • 8.4 三、突触
    • 8.5 四、神经胶质细胞
      • 8.5.1 (一)中枢神经系统的神经胶质细胞
      • 8.5.2 (二)周围神经系统的神经胶质细胞
    • 8.6 五、神经组织名词解释
    • 8.7 六、神经组织图片学习
    • 8.8 七、PPT
  • 9 循环系统
    • 9.1 学习大纲
    • 9.2 一、概述
    • 9.3 二、心脏
    • 9.4 三、动脉
    • 9.5 四、毛细血管
    • 9.6 五、微循环
    • 9.7 六、循环系统概述及思维导图
    • 9.8 七、循环系统图像学习
    • 9.9 八、循环系统动图
    • 9.10 九、循环系统名词解释
    • 9.11 十、PPT
  • 10 内分泌系统
    • 10.1 学习大纲
    • 10.2 一、概述
    • 10.3 二、甲状腺
    • 10.4 三、肾上腺
    • 10.5 四、脑垂体
    • 10.6 五、内分泌系统名词解释
    • 10.7 六、内分泌系统图像学习
    • 10.8 知识拓展
    • 10.9 PPT
  • 11 消化管
    • 11.1 学习大纲
    • 11.2 一、消化管壁的一般结构
    • 11.3 二、食管
    • 11.4 三、胃
      • 11.4.1 (一)胃的组织学结构
      • 11.4.2 (二)胃腺
      • 11.4.3 (三)胃黏膜的自我保护机制
    • 11.5 四、小肠
    • 11.6 五、大肠
    • 11.7 六、消化管名词解释
    • 11.8 七、消化管图片学习
    • 11.9 九、PPT
  • 12 消化腺
    • 12.1 学习大纲
    • 12.2 一、概述
    • 12.3 二、胰
    • 12.4 三、肝
    • 12.5 四、消化腺名词解释
    • 12.6 五、消化腺图像学习
    • 12.7 六、知识拓展
    • 12.8 八、PPT
  • 13 呼吸系统
    • 13.1 学习大纲
    • 13.2 一、概述
    • 13.3 二、气管与主支气管
    • 13.4 三、肺
      • 13.4.1 (一)肺导气部
      • 13.4.2 (二)肺呼吸部
    • 13.5 四、名词解释
    • 13.6 五、图像学习
    • 13.7 六、知识拓展
    • 13.8 八、PPT
  • 14 泌尿系统
    • 14.1 学习大纲
    • 14.2 概述
    • 14.3 (一)肾小体
    • 14.4 (二)泌尿小管
    • 14.5 (三)球旁复合体
    • 14.6 (四)肾间质
    • 14.7 (五)肾的血液循环
    • 14.8 名词解释
    • 14.9 肾脏图像学习
    • 14.10 知识拓展
    • 14.11 PPT
  • 15 男性生殖系统
    • 15.1 学习大纲
    • 15.2 一、概述
    • 15.3 二、睾丸
      • 15.3.1 (一)生精小管
      • 15.3.2 (二)睾丸间质
    • 15.4 名词解释
    • 15.5 睾丸图像学习
      • 15.5.1 成人睾丸
      • 15.5.2 新生儿睾丸
    • 15.6 知识拓展
    • 15.7 PPT
  • 16 女性生殖系统
    • 16.1 学习大纲
    • 16.2 一、概述
    • 16.3 二、卵巢
      • 16.3.1 (一)卵泡的发育与成熟
      • 16.3.2 (二)排卵
      • 16.3.3 (三)黄体的形成与退化
    • 16.4 三、子宫
      • 16.4.1 (一)子宫壁的结构
      • 16.4.2 (二)子宫内膜的周期性变化
    • 16.5 名词解释
    • 16.6 图像学习
      • 16.6.1 卵巢
      • 16.6.2 子宫
    • 16.7 知识拓展
    • 16.8 PPT
一、被覆上皮

上皮组织(epithelial tissue)由大量密集、形状规则的细胞和极少的细胞外基质组成。上皮组织呈现明显的极性(polatity),即细胞的不同表面在结构和功能上具有明显差别。其朝向身体表面或有腔器官的腔面的一侧,称游离面;与之相对朝向深部的结缔组织的一面,称基底面上皮细胞间的连接面为侧面。上皮细胞基底面附着于基膜,借此膜与结缔组织相连。上皮组织中多无血管,所需营养来自于结缔组织内的血管透过基膜渗入上皮细胞间隙。上皮组织内可有丰富的感觉神经末梢。

根据功能,上皮组织主要分为被覆上皮(covering epithelium)和腺上皮(glandular epithelium)两大类。被覆上皮具有保护、吸收、分泌和排泄等功能。腺上皮具有分泌功能。此外,尚有部分特化的上皮,如:能感受某种物理或化学性的的感觉上皮细胞和有收缩能力的肌上皮等。

一、被覆上皮

被覆上皮覆盖于身体表面,衬贴在体腔和有腔器官内表面,根据构成细胞的层次和表层细胞的形状,可分为下列类型。(表2-1

表2-1被覆上皮的类型及主要分布

上皮类型                         主要分布

单层扁平上皮        内皮:心、血管和淋巴管;间皮:胸膜、心包膜和腹膜;

其它:肺泡和肾小囊壁层等

单层立方上皮        肾小管等

单层柱状上皮        胃、肠和子宫等

假复层纤毛柱状上皮  呼吸管道等

复层扁平上皮        未角化的:口腔、食管和阴道等; 角化的:皮肤的表皮。

复层柱状上皮        眼结膜和男性尿道等

变移上皮           肾盏、肾孟、输尿管和膀胱等


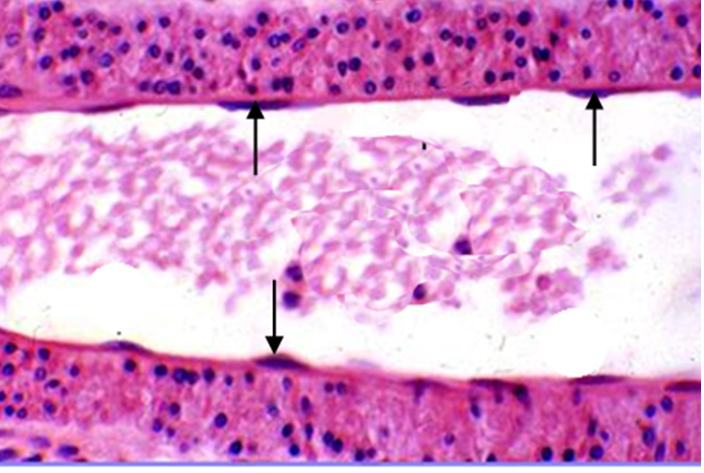
1.单层扁平上皮simple squamous epithelium又称单层鳞状上皮,上皮很薄,由一层扁平细胞组成。表面观:细胞呈不规则或多边形,核椭圆形,位于细胞中央。细胞边缘呈锯齿状或波浪状,互相嵌合(图2-1A,B)。垂直切面观:细胞核呈扁形,胞质很薄,只有含核的部分略厚。衬贴在心、血管和淋巴管腔面的单层扁平上皮称内皮(endothelium)(图2-1C),游离面光滑,有利于血液和巴液流动及物质透过。分布在胸膜、腹膜和心包膜表面的单层扁平上皮称间皮(mesothelium)(图2-1D),其游离面湿润光滑,便于内脏运动。

2-1A 单层扁平上皮模式图



               图2-1B 单层扁平上皮(血管内皮)↑内皮细胞核

                           图2-1 单层扁平上皮


2.单层立方上皮simple cuboidal epithelium) 由一层立方形细胞组成。表面观:细胞呈六角形或多角形(图2-2A);垂直切面观:细胞呈立方形。细胞核圆形、位于细胞中央。多见于肾小管等处(2-2B)。

图2-2A 单层立方上皮模式图



                       图2-2B 肾小管单层立方上皮

                          图2-2 单层立方上皮

3.单层柱状上皮simple columnar epithelium) 由一层棱柱状细胞组成。从表面看,细胞呈六角形或多角形,垂直切面看,细胞呈柱状(图2-3A,2-3B),细胞核长圆形,多位于细胞近基底部。分布于胃肠、胆囊、子宫等器官,有分泌或吸收功能。肠道的单层柱状上皮中,还散在有杯状细胞(goblet cell)。杯状细胞形似高脚酒杯,底部狭窄,含深染的三角形或扁圆形细胞核。顶部膨大,充满富含糖蛋白的PAS阳性黏蛋白,黏蛋白溶于水形成黏液,有滑润和保护上皮的作用。

图2-3A 单层柱状上皮模式图


                         图2-3B 胆囊单层柱状上皮

                           图2-3 单层柱状上皮

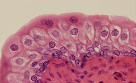
4.假复层纤毛柱状上皮pseudostratified ciliated columnar epithelium 主要分布在呼吸管道的腔面。由柱状细胞,梭形细胞、锥体形细胞和杯状细胞组成。其中状细胞数量最多,游离面有纤毛。这些细胞形状不同、高矮不等,细胞核的位置不在同一平面,但基底部都附于基膜上,故垂直切面貌似像复层上皮实为单层上皮(图2-4)。


图2-4A 假复层纤毛柱状上皮模式图


                    图2-4B  气管腔面假复层纤毛柱状上皮

                        图2-4假复层纤毛柱状上皮

5.复层扁平上皮stratified squamous epithelium 由多层细胞组成,因表层细胞呈鳞状,又名复层鳞状上皮。由垂直切面看,细胞的形状不等。紧贴基膜的一层细胞立方形或矮柱状,为有增殖、分化能力的干细胞,其产生的部分细胞向层移动;基底层以上是数层多边形细胞,再上为梭形细胞,浅层为几层扁平细胞最表层扁平细胞已退化,不断脱落。上皮与深部结缔组织的连接面凹凸不平,扩大了两者的连接面,既保证上皮的营养供给,又使连接更加牢固(图2-5)

位于皮肤表面的复层扁平上皮,浅层细胞核消失,胞质中充满角蛋白(一种硬蛋白),是干硬的死细胞,有更强的保护作用,称角化的复层扁平上皮。衬贴在口腔和食管等腔面的复层扁平上皮,浅层细胞是有核的活细胞,含角蛋白少,称未角化的复层扁平上皮。复层扁平上皮有很强的机械保护作用,耐摩擦和阻止异物侵入等作用。受损伤后,上皮有很强的修复能力。


图2-5A 复层扁皮上皮模式图



图2-5B 食管腔面未角化的复层扁皮上皮  图2-5C 皮肤表面角化的复层扁皮上皮

                        图2-5 复层扁皮上皮

6.复层柱状上皮stratified columnar epithelium 深层一层或几层多边形细胞,浅层为一层排列较整齐的柱状细胞。此种上皮只见于眼睑结膜和男性尿道和一些腺的大导管处。

7.变移上皮transitional epithelium) 又称移行上皮,衬贴在排尿管道的腔面。由表层细胞中层细胞和基底细胞组成一个表层细胞可覆盖几个深层细胞,名盖细胞,有的细胞含两个细胞核。基底层细胞为矮柱状或立方形,胞质丰富。上皮的细胞形状和层数可随所在器官的收缩与扩张而发生变化。如膀胱空虚时,上皮变厚,细胞层数较多;当膀胱充盈时,上皮变薄,细胞层数减少,盖细胞变扁(图2-6)。

  

                      图2-6A 变移上皮模式图


2-6B  膀胱变移上皮(膀胱空虚) 2-6C  膀胱变移上皮(膀胱充盈)

                       图2-6 变移上皮