结缔组织源自胚胎时期的间充质,由少量细胞和大量的细胞外基质构成。广泛分布于全身各组织和器官内。
结缔组织分布广泛,形态多样。广义的结缔组织包括固有结缔组织、血液和淋巴组织、软骨组织和骨组织。狭义的结缔组织就是固有结缔组织,包括疏松结缔组织、致密结缔组织、脂肪组织和网状组织。结缔组织具有持、保护、贮存、营养、物质运输等多种功能。
疏松结缔组织
疏松结缔组织又称蜂窝组织,在体内广泛分布于器官之间和组织之间。其结构特点为细胞种类多,数量少,纤维数量较少且排列稀疏,基质多,富含血管和神经(末梢);具有支持、连接、营养、修复、防御和保护等功能。
疏松结缔组织的细胞数量少但种类多,主要包括固有细胞和游走细胞两类。固有细胞包括未分化间充质细胞及其分化形成的成纤维细胞(静止状态的成纤维细胞称为纤维细胞)和脂肪细胞。游走细胞包括巨噬细胞、浆细胞、肥大细胞和白细胞等,源自血液或淋巴组织。细胞散在分布于细胞外基质内,无极性;但有些细胞从细胞内结构的分布上呈现极性,如浆细胞、脂肪细胞。细胞外基质包括成纤维细胞分泌产生的呈丝状的纤维和无定形基质以及毛细血管动脉端渗出的不断循环更新的组织液;基质内含有多种细胞的代谢产物。根据成分和结构的不同将纤维分为胶原纤维、网状纤维和弹性纤维。
某些细胞(免疫细胞)具有沿某些化学物质浓度梯度,向浓度高的部位移动聚集的特性,称为趋化性(chemotaxis)。

疏松结缔组织模式图

疏松结缔组织(鼠肠系膜铺片)
1.巨噬细胞;2.肥大细胞;3.胶原纤维;4.弹性纤维
(一)细胞
1.成纤维细胞(fibroblast):疏松结缔组织中最主要的细胞。 细胞较大,多突起。细胞核大,卵圆形,着色浅,核仁明显,胞质呈弱嗜碱性。电镜下胞质内粗面内质网和高尔基复合体丰富。成纤维细胞主要合成和分泌蛋白质,用于构成疏松结缔组织的各种纤维和基质。

成纤维细胞电镜图
2.巨噬细胞(macrophage):是体内广泛存在的具有强大吞噬功能的细胞。细胞形态多样,细胞核小,卵圆形或肾形,着色深。胞质丰富,多呈嗜酸性。电镜下胞质内见大量溶酶体、吞噬体等。巨噬细胞具有趋化运动、吞噬、参与和调节免疫应答和分泌等作用。


巨噬细胞电镜图 巨噬细胞模式图
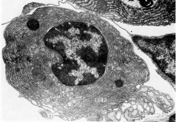
3. 浆细胞(plasma cell):浆细胞呈圆形或卵圆形,核圆形,多位于 细胞的一侧,染色质成粗块状沿核膜呈辐射状排列。胞质丰富,嗜碱性,核旁有一浅染区。电镜下,胞质内含有大量粗面内质网和高尔基复合体,具有合成和分泌免疫球蛋白即抗体的功能。

浆细胞电镜图
4. 肥大细胞(mast cells):是体内分布广泛的一种参与过敏反应的细胞。细胞较大,圆形或卵圆形,细胞核小,圆形或卵圆形,多位于细胞中央。胞质内充满嗜碱性的颗粒,内含组胺、肝素、嗜酸性粒细胞趋化因子等。肥大细胞除参与过敏反应外,在伤口愈合,血管再生等方面也发挥重要作用。

肥大细胞模式图
(二)纤维
1. 胶原纤维(collagenous fiber):是人体细胞外基质中数量最多的一种纤维,新鲜时呈白色,有光泽,故又称为白纤维,生化成份为Ⅰ型胶原蛋白。HE染色呈嗜酸性,呈现红色,纤维粗细不等,波浪状,相互交织成网。胶原纤维韧性大,抗拉力强,赋予组织韧性。
2. 弹性纤维(elastic fiber):是人体细胞外基质中的一种纤维成分,含量较胶原纤维少,但分布广泛。新鲜状态为黄色,又称黄纤维,由弹性蛋白组成。特殊染色见弹性纤维较细,直行,粗细不等。弹性纤维弹性强韧性差,赋予组织弹性。
3. 网状纤维(reticular fibers):是人体细胞外基质中的一种纤维成分,主要由Ⅲ型胶原蛋白构成;用银染法,网状纤维呈现黑色,又称为嗜银纤维。网状纤维较细,分支多,相互交织成网。网状纤维主要分布在结缔组织与其他组织的交界处,以及造血器官和内分泌腺中,构成微细的支架。
(三)基质
基质(groundsubstance):由生物大分子构成的不定型胶状物质,主要为蛋白聚糖和糖蛋白。由大量蛋白聚糖聚合形成有许多微孔的结构,称分子筛(molecular sieve);允许水和营养物、代谢产物、激素、气体等通过;大于孔隙的大分子物质、细菌等则被阻挡,使基质具有防御屏障作用。

蛋白聚糖聚合体及分子筛示意图
左图蓝色条带状结构为透明质酸,为分子筛的主干,其上有无数个“毛刷样结构”; 右图示该结构的组成。
(四)组织液
组织液(tissue fluid)是毛细血管动脉端血浆成分(水、电解质、单糖、气体等小分子物质)渗出,形成组织液,是细胞赖以生存的内环境和进行物质交换的场所。部分组织液于毛细血管静脉端返回血流,部分形成淋巴液。组织液不断更新,利于血液与组织细胞进行物质交换,成为细胞。

组织液与血液之间物质交换模式图

