软骨组织和骨组织概述:
软骨和骨分别以软骨组织和骨组织作为其主要构成成分的器官。软骨组织和骨组织属于广义的结缔组织(也是起源于胚胎的间充质),细胞外基质为固态。软骨和骨是人体的支架,具有支持软组织,参与运动和保护重要器官的作用。此外,骨组织是人体重要的钙磷库。

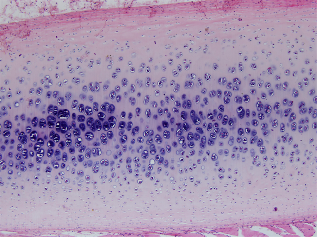
图1.透明软骨光镜图(HE染色)
软骨外周为致密结缔组织构成的软骨膜,软骨膜以内为软骨组织。软骨组织由软骨细胞和软骨基质两部分构成,可见周边的软骨细胞单个分布,细胞小,扁圆形。软骨中央区域的细胞成群分布,细胞大,称同源细胞群。透明软骨的基质中含有的纤维成分是Ⅱ型胶原蛋白构成的胶原原纤维,折光性与不定性基质相似,使透明软骨呈现半透明状。透明软骨具有较强的抗压性,有一定的弹性和韧性。

图2.弹性软骨光镜图(HE染色)
弹性软骨主要存在于鼻翼、耳廓、会厌等处。弹性软骨的基质中含有大量相互交织的弹性纤维使其具有很好的弹性。

图3.纤维软骨光镜图(HE染色)
纤维软骨分布于椎间盘、关节盘和耻骨联合等处。粗大的胶原纤维平行或交织,软骨细胞小而少,散在或成行排列。纤维软骨韧性较强。

图4.骨干密质骨光镜图(墨汁染色)
红框内示骨单位的横断面,1为中央管,2为骨单位骨板,红色箭头示骨细胞,绿色箭头示骨小管。

