【肌组织的概述】
肌组织有骨骼肌、心肌和平滑肌三类。肌细胞细而长,故又称为肌纤维。
骨骼肌纤维为长圆柱形细胞,多个细胞核,位于肌膜下方,细胞有横纹。
心肌纤维为短圆柱状,有分支,细胞核卵圆形位于细胞中央,细胞有横纹,相邻细胞的连接处形成闰盘。
平滑肌纤维为长梭形,细胞核长椭圆形,位于细胞中央,细胞没有横纹。
肌组织的主要功能是为人体的各种运动提供动力。
【图片的观察和学习】

图1. 骨骼肌光镜像(纵切面,HE染色)
骨骼肌纤维长圆柱形,有横纹。一条肌纤维内见多个细胞核,细胞核呈扁椭圆形,异染色质少,染色较浅(黄色箭头)。肌质内含有许多与细胞长轴平行排列的细丝状肌原纤维。

图2. 骨骼肌光镜像(横切面,HE染色)
骨骼肌纤维横切面呈现为多边形断面,在肌纤维断面边缘,可见紧贴肌膜的细胞核(黄色箭头),部分断面中见多个细胞核。肌质呈现颗粒感,为众多肌原纤维的横断面

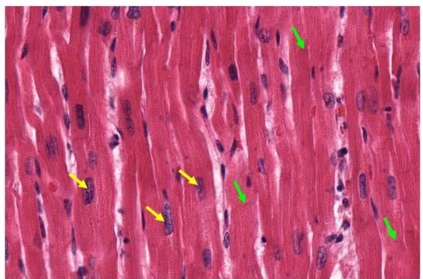
图3. 心肌光镜像(纵切面,HE染色)
心肌纤维呈短圆柱形,有分支。细胞核卵圆形(黄色箭头),位于细胞中央,有些细胞含有双核。相邻心肌纤维连接处,可见着色较深的横行或阶梯状细线,为闰盘(绿色箭头)。心肌纤维有明暗相间的周期性横纹,不如骨骼肌明显。

图4.心肌光镜像(横切面,HE染色)
在横切面上,心肌纤维多呈现为圆形断面,部分断面可见位于中央的圆形细胞核(黄色箭头)。心肌纤维之间有较多结缔组织,内含较多血管。

图5. 平滑肌光镜像(HE染色)
纵切面见平滑肌纤维呈长梭形,细胞核长圆形或杆状,1个核,位于细胞中央。横切面呈大小不等的圆形断面,大的断面中央可见细胞核的横切面。黄色箭头示细胞核。

