六、神经组织图片学习
上一节
下一节

图1 脊髓光镜图(横切面 HE染色)
图中可见脊髓内呈"H"形的染色深的灰质和周围的白质,每侧灰质的前角粗短,后角细长。

图2 脊髓光镜图(HE染色)
图中可见灰质前角有许多有突起的大细胞即脊髓前角运动神经元,属于多极神经元。

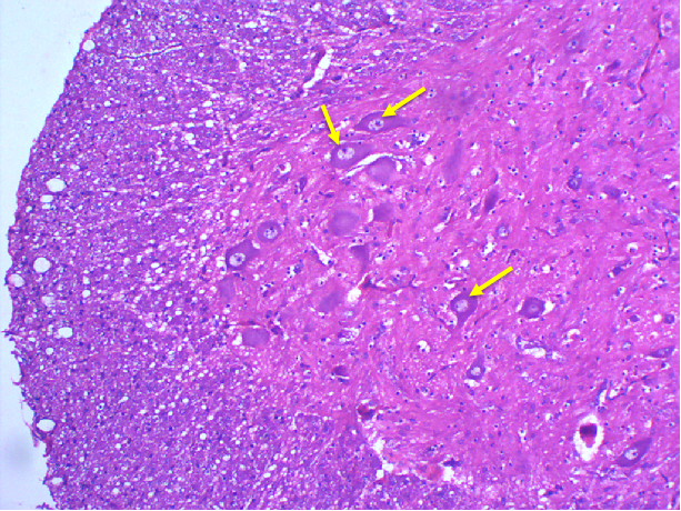
图3 脊髓灰质前角光镜图(HE染色)
可见脊髓灰质前角运动神经元胞体大,有多个突起;细胞核大而圆,着色浅,核仁明显;细胞质内有粗大的斑块状结构即尼氏体,强嗜碱性,染紫蓝色。尼氏体除分布于胞体,亦可见树突内,但在轴丘和轴突内无尼氏体。

图4 周围有髓神经纤维光镜图(纵切面 HE染色)

图5 周围有髓神经纤维光镜图(横切面 HE染色)

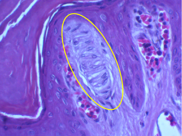
图6 触觉小体光镜图 (HE染色)

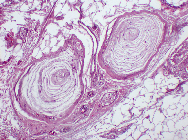
图7 环层小体光镜图 (HE染色)

图8 运动终板光镜图 (氯化金染色)

