【光镜观察技巧】
1.心外膜处有较多脂肪细胞,据此可以区别心内膜和心外膜。
2.心室处的心内膜中能观察到浦肯野纤维。
3.心肌膜中能观察到毛细血管,通常其狭小的管腔中含有红细胞。
4.动脉内膜中的内弹性膜容易观察到,弯曲折光性强。内弹性膜是内膜和外膜的分界线。
【图片的观察和学习】

图1. 心肌膜光镜像,示毛细血管。
在心肌纤维之间的结缔组织中,可见一纵行的毛细血管,管壁薄,管腔小,内含红细胞。

图2. 毛细血管光镜像(纵切面)
毛细血管管壁菲薄,简单,由内皮和基膜构成。上图可见一纵行的毛细血管,管壁薄,管壁内表面为单层扁平上皮(称内皮),管腔小,内含红细胞。E:内皮细胞;P:周细胞。在纵行的毛细血管上方,还可看到毛细血管的横切面,为一圆形轮廓,可见内皮细胞和血管内的红细胞。

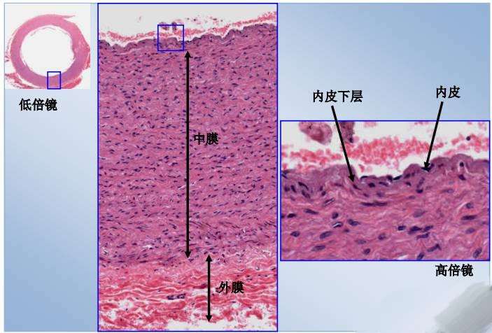
图3. 中等动脉光镜像
可见其管壁分为三层,从内向外依次为内膜、中膜和外膜。其中内膜最薄,中膜见多层平滑肌细胞,外膜为结缔组织,见大量红色的胶原纤维。

图4. 中等动脉光镜像,示内膜和中膜。
黑色箭头示内弹性膜,为内膜和中膜的分界,内弹性膜以内为内膜,内膜很薄,由内皮、内皮下层和内弹性膜构成;红色箭头示内皮细胞核。黄色箭头示外弹性膜,为中膜和外膜的分界。

图5. 大动脉光镜像,示管壁三层膜结构。
可见中膜很厚,含20-40层弹性膜。外膜相对薄,为结缔组织,胶原纤维为主。大动脉内膜中有明显内皮下层(高倍镜)。

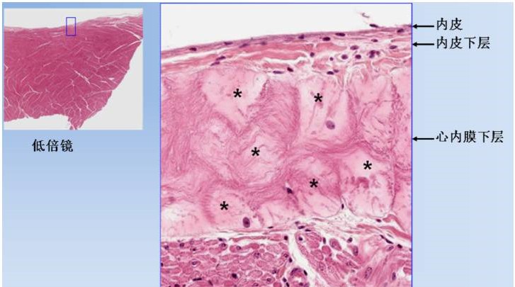
图6. 心壁光镜像,示心内膜和心肌膜。
心内膜分为内皮(1),内皮下层(2)和心内膜下层(3)。内皮为单层扁平上皮,内皮下层为细密结缔组织,心内膜下层中可见浦肯野纤维(*),为特殊的心肌纤维,是心脏传导系统的分支。

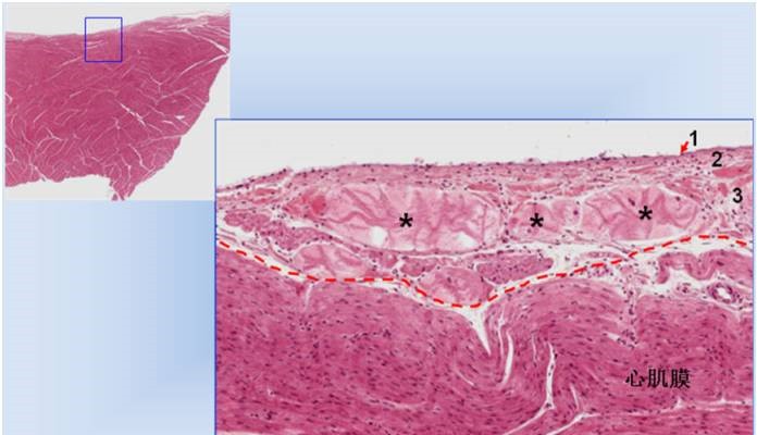
图7. 心壁光镜像,示心内膜和心肌膜。
高倍镜见心内膜分为三层:内皮(1),内皮下层(2)和心内膜下层(3)。心内膜下层中可见浦肯野纤维(*),为特殊的心肌纤维,是心脏传导系统的分支。

