消化管概述】
消化管包括从口腔到肛门的连续管道,管壁的一般结构分为四层,从内向外依次为①黏膜,②黏膜下层,③肌层和④外膜。消化管各段形态功能变化最大的是黏膜,黏膜由内向外又分为上皮、固有层和黏膜肌层三层。

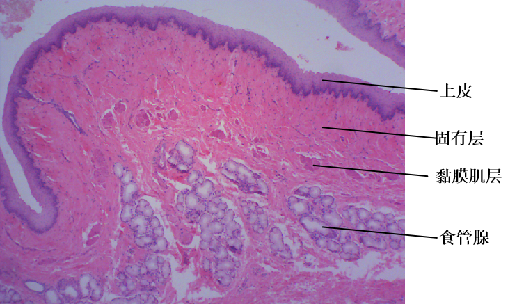
图1. 食管光镜像(HE染色)
食管壁四层结构。黏膜由上皮(复层扁平上皮)、固有层(细密的结缔组织)和黏膜肌层(纵行平滑肌)组成;黏膜下层为结缔组织,可见食管腺;肌层为内环外纵两层;外膜为纤维膜。


图2. 胃食管交界处光镜像(HE染色)
黄色虚线示交界处。可见右侧的食管黏膜的复层扁平上皮,陡然演变成左侧胃黏膜的单层柱状上皮。胃内容物反流会对食管黏膜造成慢性刺激(食管黏膜的抗酸能力不如胃黏膜),胃食管反流病,是食管癌发生的危险因素之一。

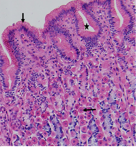
图3. 胃黏膜光镜像(HE染色)
可见胃黏膜上皮为单层柱状上皮,除少量内分泌细胞外主要由表面黏膜细胞组成。该细胞柱状,细胞核位于基底部,顶部胞质充满黏原颗粒,染色淡。表面黏液细胞分泌含高浓度HCO3-的不溶性黏液,构成黏液-碳酸氢盐保护屏障,该屏障的破坏,可形成胃溃疡。固有层的胃底腺中可见嗜酸性胞质染成红色的壁细胞,壁细胞除了产生盐酸外,还分泌内因子,内因子可防止维生素B12的分解和并促进其吸收。内因子的缺乏(萎缩性胃炎,胃大部切除等情况),维生素B12缺乏,可致恶性贫血。

图4. 十二指肠光镜像(HE染色)
十二指肠壁从内向外依次为黏膜、黏膜下层、肌层和外膜。其特点是在黏膜下层有大量十二指肠腺,为黏膜性腺,开口于小肠腺底部,分泌黏稠的碱性黏液(pH8.2-9.3),保护十二指肠免受胃酸的侵蚀,也是小肠内碱性环境形成的原因之一。

图5. 空肠壁结构光镜像(HE染色)
黏膜,黏膜下层,肌层和外膜四层结构。

图6. 回肠壁光镜像

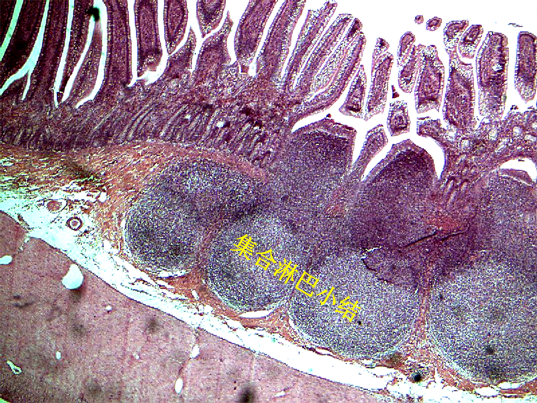
图7. 结肠光镜像(HE染色)
大肠腔面可见皱襞,黏膜表面光滑,无绒毛,上皮为单层柱状上皮,由吸收细胞和杯状细胞组成。上皮向固有层凹陷,形成大肠腺,含吸收细胞和大量杯状细胞,少量内分泌细胞和干细胞,无帕内特细胞(Paneth cell)。

