【消化腺概述】
肝脏的被膜伸入到肝实质中,分隔肝实质为很多肝小叶。肝小叶有四个结构:①中央静脉,②肝板,③肝血窦和④胆小管。在肝小叶之间,有肝门管区,其内走行有三种管道:①小叶间动脉,②小叶间静脉和③小叶间胆管。肝小叶和肝门管区这种结构特点,可以使每个肝细胞能最大限度地与血液接触,发挥肝脏合成和分解代谢等功能。
胰腺也有被膜,伸入胰腺将实质分隔成小叶。胰腺的外分泌部为纯浆液性腺,分泌胰蛋白酶原,淀粉酶,脂肪酶和核酸酶。胰腺的内分泌部称为胰岛,由内分泌细胞团和毛细血管构成,其中A细胞分泌胰高血糖素,B细胞分泌胰岛素,D细胞分泌生长抑素,PP细胞分泌胰多肽,D1细胞分泌血管活性肠肽。
【图像学习】

图1. 腮腺光镜像(HE染色)
腮腺为纯浆液性腺。图中1所示为纹状管,由高柱状上皮细胞围成,细胞核圆,靠近细胞上部。胞质嗜酸性,基底部胞质见纵纹。2所示的是腺泡(浆液性腺泡),是腺的分泌部,由单层的锥体形细胞围成,核圆,位于基底部。基底部胞质呈较强嗜酸性,顶部胞质含有嗜酸性的分泌颗粒(酶原颗粒)。浆液性腺分泌物稀薄。

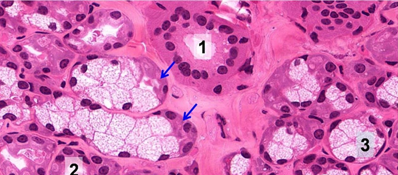
图2.舌下腺光镜像(HE染色)
舌下腺为混合腺。1所示为纹状管。2所示为浆液性腺泡(结构同前)。3所示为黏液性腺泡,锥体形细胞围成,细胞核扁圆形,位于基底部,贴近基膜,胞质着色浅,电镜下为大量粘原颗粒。混合性腺泡由浆液性腺细胞和黏液性腺细胞共同围成,其中浆液性腺细胞常构成半月形帽状结构,称半月(箭头)。黏液性腺泡分泌物粘稠。

图3. 肝光镜像(HE染色)
1示中央静脉,可见其管壁由内皮细胞围成,壁薄,管壁由肝血窦的开口。中央静脉接受肝血窦的血,汇集到小叶下静脉。2示肝索(肝板的切面观),肝细胞以中央静脉为中心,单行向外放射状排列。*示肝血窦,是肝索之间的血液通道。未显示胆小管。

图4. 胰腺光镜像(HE染色)
外分泌部见大量腺泡(*),纯浆液性腺泡。内分泌部称为胰岛(黄色虚线内),是由内分泌细胞构成的细胞团,散在分布在外分泌部中,胰岛HE染色浅淡,内分泌细胞之间有丰富的有孔毛细血管

