目录

  • 1 课程介绍
    • 1.1 课程简介
    • 1.2 学习目标
    • 1.3 成绩评定
    • 1.4 教学日历
  • 2 组织学绪论
    • 2.1 学习大纲
    • 2.2 一、组织学的研究内容和意义
    • 2.3 二、组织学发展简史
    • 2.4 三、组织学的学习方法
    • 2.5 四、组织学的常用研究方法
    • 2.6 五、绪论的重要名词
    • 2.7 六、PPT
  • 3 上皮组织
    • 3.1 学习大纲
    • 3.2 一、被覆上皮
    • 3.3 二、腺上皮和腺
    • 3.4 三、上皮细胞的特化结构
    • 3.5 四、上皮组织概述及思维导图
    • 3.6 五、上皮组织图像学习
    • 3.7 六、上皮组织动图
    • 3.8 七、上皮组织重要名词
    • 3.9 八、PPT
  • 4 结缔组织
    • 4.1 学习大纲
    • 4.2 一、疏松结缔组织
    • 4.3 二、结缔组织名称解释
    • 4.4 三、结缔组织图像学习
    • 4.5 四、PPT
  • 5 血液
    • 5.1 学习大纲
    • 5.2 一、概述
    • 5.3 二、红细胞
    • 5.4 三、白细胞
    • 5.5 四、血小板
    • 5.6 五、血液概述及思维导图
    • 5.7 六、血液图像学习
    • 5.8 七、血液动图
    • 5.9 八、血液名词解释
    • 5.10 九、PPT
  • 6 软骨和骨
    • 6.1 学习大纲
    • 6.2 一、概述
    • 6.3 二、软骨
    • 6.4 三、骨
      • 6.4.1 (一)骨组织的结构
      • 6.4.2 (二)长骨的结构
    • 6.5 四、软骨和骨的图像学习
    • 6.6 五、软骨和骨名称解释
    • 6.7 六、知识拓展
    • 6.8 七、PPT
  • 7 肌组织
    • 7.1 学习大纲
    • 7.2 一、概述
    • 7.3 二、骨骼肌
      • 7.3.1 (一)骨骼肌纤维的光镜结构
      • 7.3.2 (二)骨骼肌纤维的超微结构
      • 7.3.3 (三)骨骼肌纤维的收缩原理
    • 7.4 三、心肌
      • 7.4.1 (一)心肌纤维的光镜结构
      • 7.4.2 (二)心肌纤维的超微结构
    • 7.5 四、平滑肌
      • 7.5.1 (一)平滑肌纤维的光镜结构
      • 7.5.2 (二)平滑肌纤维的超微结构
    • 7.6 五、肌组织图像学习
    • 7.7 六、肌组织名词解释
    • 7.8 七、知识拓展
    • 7.9 八、PPT
  • 8 神经组织
    • 8.1 学习大纲
    • 8.2 一、概述
    • 8.3 二、神经元
      • 8.3.1 (一)神经元的结构
      • 8.3.2 (二)神经元的分类
    • 8.4 三、突触
    • 8.5 四、神经胶质细胞
      • 8.5.1 (一)中枢神经系统的神经胶质细胞
      • 8.5.2 (二)周围神经系统的神经胶质细胞
    • 8.6 五、神经组织名词解释
    • 8.7 六、神经组织图片学习
    • 8.8 七、PPT
  • 9 循环系统
    • 9.1 学习大纲
    • 9.2 一、概述
    • 9.3 二、心脏
    • 9.4 三、动脉
    • 9.5 四、毛细血管
    • 9.6 五、微循环
    • 9.7 六、循环系统概述及思维导图
    • 9.8 七、循环系统图像学习
    • 9.9 八、循环系统动图
    • 9.10 九、循环系统名词解释
    • 9.11 十、PPT
  • 10 内分泌系统
    • 10.1 学习大纲
    • 10.2 一、概述
    • 10.3 二、甲状腺
    • 10.4 三、肾上腺
    • 10.5 四、脑垂体
    • 10.6 五、内分泌系统名词解释
    • 10.7 六、内分泌系统图像学习
    • 10.8 知识拓展
    • 10.9 PPT
  • 11 消化管
    • 11.1 学习大纲
    • 11.2 一、消化管壁的一般结构
    • 11.3 二、食管
    • 11.4 三、胃
      • 11.4.1 (一)胃的组织学结构
      • 11.4.2 (二)胃腺
      • 11.4.3 (三)胃黏膜的自我保护机制
    • 11.5 四、小肠
    • 11.6 五、大肠
    • 11.7 六、消化管名词解释
    • 11.8 七、消化管图片学习
    • 11.9 九、PPT
  • 12 消化腺
    • 12.1 学习大纲
    • 12.2 一、概述
    • 12.3 二、胰
    • 12.4 三、肝
    • 12.5 四、消化腺名词解释
    • 12.6 五、消化腺图像学习
    • 12.7 六、知识拓展
    • 12.8 八、PPT
  • 13 呼吸系统
    • 13.1 学习大纲
    • 13.2 一、概述
    • 13.3 二、气管与主支气管
    • 13.4 三、肺
      • 13.4.1 (一)肺导气部
      • 13.4.2 (二)肺呼吸部
    • 13.5 四、名词解释
    • 13.6 五、图像学习
    • 13.7 六、知识拓展
    • 13.8 八、PPT
  • 14 泌尿系统
    • 14.1 学习大纲
    • 14.2 概述
    • 14.3 (一)肾小体
    • 14.4 (二)泌尿小管
    • 14.5 (三)球旁复合体
    • 14.6 (四)肾间质
    • 14.7 (五)肾的血液循环
    • 14.8 名词解释
    • 14.9 肾脏图像学习
    • 14.10 知识拓展
    • 14.11 PPT
  • 15 男性生殖系统
    • 15.1 学习大纲
    • 15.2 一、概述
    • 15.3 二、睾丸
      • 15.3.1 (一)生精小管
      • 15.3.2 (二)睾丸间质
    • 15.4 名词解释
    • 15.5 睾丸图像学习
      • 15.5.1 成人睾丸
      • 15.5.2 新生儿睾丸
    • 15.6 知识拓展
    • 15.7 PPT
  • 16 女性生殖系统
    • 16.1 学习大纲
    • 16.2 一、概述
    • 16.3 二、卵巢
      • 16.3.1 (一)卵泡的发育与成熟
      • 16.3.2 (二)排卵
      • 16.3.3 (三)黄体的形成与退化
    • 16.4 三、子宫
      • 16.4.1 (一)子宫壁的结构
      • 16.4.2 (二)子宫内膜的周期性变化
    • 16.5 名词解释
    • 16.6 图像学习
      • 16.6.1 卵巢
      • 16.6.2 子宫
    • 16.7 知识拓展
    • 16.8 PPT
五、图像学习

【呼吸系统概述】  

       呼吸系统由鼻、咽、喉、气管、支气管及肺组成,分为导气部和呼吸部两部分。导气部包括鼻、咽、喉、气管、支气管直到肺内的终末细支气管,呼吸部由肺内的呼吸性细支气管、肺泡管、肺泡囊及肺泡构成。

       呼吸系统是连续而反复分支的管道系统,其管径由粗变细,管壁由厚变薄,结构趋于简单,观察时应注意它们在形态上的相互移行和区别。

【图像观察和学习】

、气管


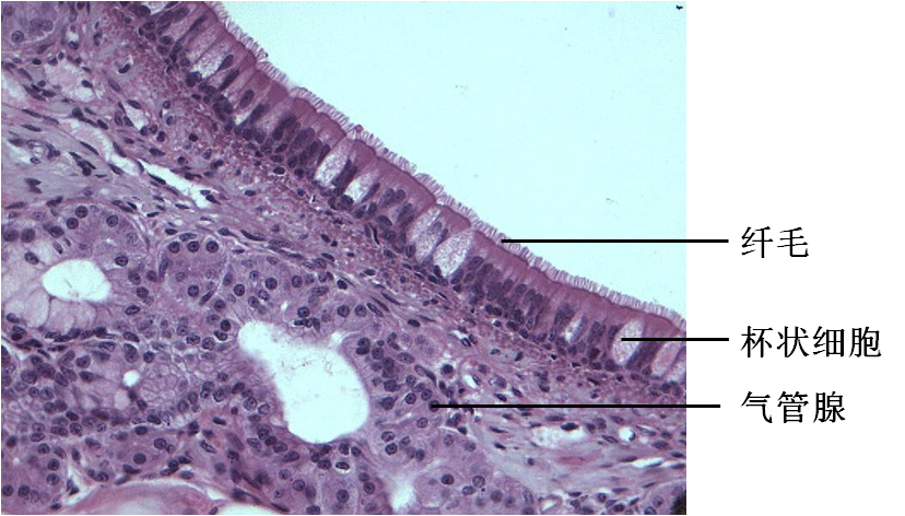
                     图1.气管光镜像(低倍镜)


                     图2.气管光镜像(高倍镜)

       气管壁由内向外的三层结构:黏膜层、黏膜下层、外膜。黏膜由上皮(假复层纤毛柱状上皮)和固有层(细密的结缔组织)组成;黏膜下层为结缔组织,可见气管腺(混合性腺);外膜由疏松结缔组织和“C”字形透明软骨环组成。

二、肺


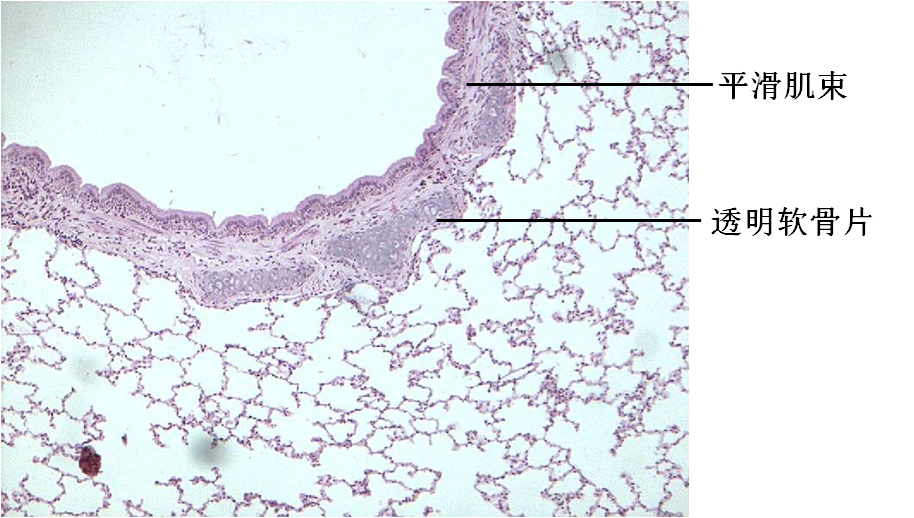
            图3.小支气管光镜像

       小支气管是切片中管径最粗、管壁最厚的管道。管壁分层不明显。黏膜上皮为假复层纤毛柱状,含数量不等的杯状细胞;上皮下方的结缔组织中含少量混合性腺、大小不等的灰蓝色透明软骨片以及间断的环行平滑肌束。



            图4.细支气管光镜像

       细支气管管腔减小,管壁变薄;腔面因黏膜常形成皱嬖突入其内而起伏不平;上皮渐变为单层纤毛柱状,杯状细胞少,混合性腺及软骨片很少或消失;环行平滑肌纤维增多。


          图5.呼吸性细支气管及分支


        呼吸性细支气管管壁上出现少量肺泡开口,管壁不完整。上皮为单层立方,近肺泡开口处移行为单层扁平上皮,上皮深面有少量结缔组织与环形平滑肌纤维。



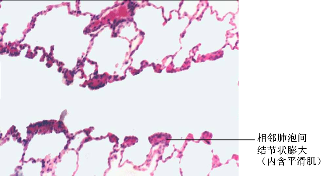
             图6.肺泡管


   图7.肺泡管 SM示结节状膨大中央的横切平滑肌


       肺泡管管壁上有大量的肺泡开口,故管壁结构很少,在切片上呈相邻肺泡处的结节状膨大,其表面有单层立方上皮覆盖,内含横切的少量平滑肌纤维。



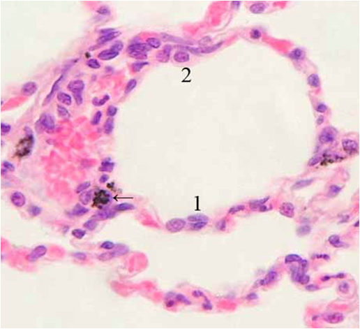
                                   图8.肺泡及肺泡隔 

1.Ⅰ型肺泡细胞   2.Ⅱ型肺泡细胞    箭头所示为肺巨噬细胞(尘细胞)


       肺泡切片上所见的许多半球形薄壁小囊泡,都是肺泡,横切的肺泡呈圆形。肺泡壁很薄,组成肺泡上皮的两型细胞:Ⅰ型肺泡细胞,胞质部极薄,仅能根据其面向肺泡腔的扁平的核来分辨;Ⅱ型肺泡细胞散在分布,细胞略凸向肺泡腔,呈立方或圆形,核圆,胞质着色浅。相邻肺泡之间的薄层结缔组织为肺泡隔,可见大量毛细血管和尘细胞。