【肾组织结构概述】
肾为实质性器官,肾的实质分为皮质和髓质两部分,由大量肾单位和集合管共同构成。肾单
位包括肾小体和肾小管,前者由血管球和肾小囊构成,后者由近端小管、细段和远端小管构成,
近端小管和远端小管又包括曲部和直部。肾内少量的结缔组织、血管、神经等构成肾间质。
肾单位和集合管有规律的分布于肾实质,其中肾小体和肾小管的弯曲部分位于皮质迷路和肾
柱内,肾小管的直行部分和集合管位于髓放线和肾锥体内。
【图片的观察和学习】
观察时应注意肾组织结构各部分(肾小体、近曲小管、远曲小管、细段、直集合管)分布的
部位,注意肾小体的大小,比较各段泌尿小管的直径大小、上皮高低和细胞特点。
低倍镜观察

图1.肾皮质低倍镜结构
![]()
1、被膜:被覆在肾表面,为薄层致密结缔组织。
2、皮质:皮质分为皮质迷路和髓放线。有成束直行的小管部分是髓放线,髓放线间有许多肾小体和弯曲小管的部分是皮质迷路。
(1)皮质迷路:有许多散在的圆球形肾小体、着色深红色的近曲小管和染色稍浅的远曲小管。
(2)髓放线:位于皮质迷路之间,含平行排列的纵切或斜切的直行小管。
3、髓质:位于肾实质深面,染色较浅,可见大量不同切面、密集平行的小管,但无肾小体。
高倍镜观察
一、皮质结构:

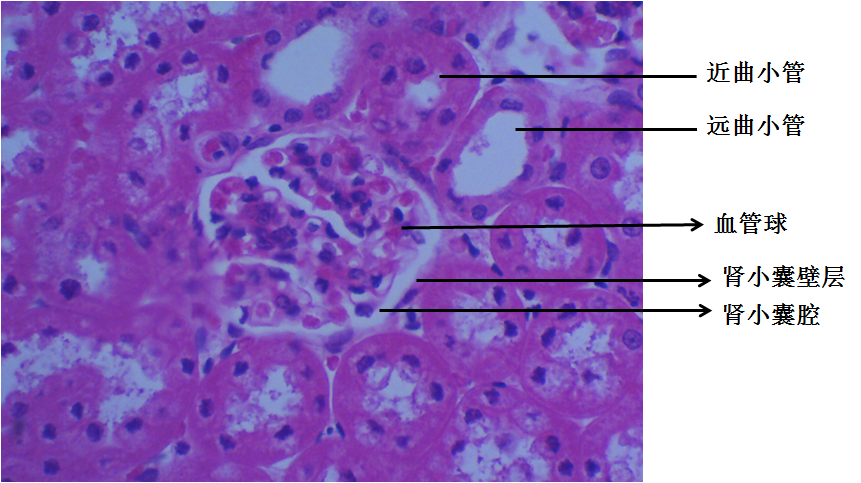
图2.肾皮质高倍镜
1、肾小体:散布于皮质迷路各处,断面呈圆形,由血管球和肾小囊组成。有的肾小体切面可见微动脉出入的血管极或与近曲小管相连的尿极。
(1)血管球 呈现为大量毛细血管的切面,可见血细胞。毛细血管紧贴有足细胞,不易鉴别。
(2)肾小囊 可见壁层为单层扁平上皮,脏层足细胞与血管球毛细血管紧贴,不易鉴别。外层与内层之间的裂隙为肾小囊腔。
2、近曲小管:切面多,管壁厚,管径粗但管腔小且不规则,上皮细胞较大呈立方或锥体形,分界不清;核圆位于基底部;胞质强嗜酸性,色深红;游离面的刷状缘毛糙不齐。
3、远曲小管:与近曲小管相比,切面较少,管径较小但管腔较大且规则,管腔边缘整齐;上皮细胞较小,细胞分界较清;核圆形位于细胞中央;胞质嗜酸性较弱,呈浅红色,游离面无刷状缘。
二、髓质及髓放线结构:
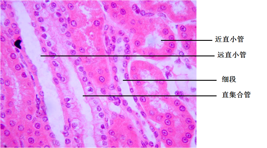
图3.肾髓质高倍镜结构
1、近直小管:可在髓放线和肾髓质中找到,结构与近曲小管相似。
2、远直小管:可在髓放线和肾髓质中找到,结构与远曲小管相似。
3、细段:管腔小,管壁为单层扁平上皮。
4、集合管:从髓放线延伸到髓质深层,管腔较大,上皮细胞立方形或柱状,界限清晰,核位于中央,胞质染色较远曲小管浅,可呈淡粉红色,甚至清亮。
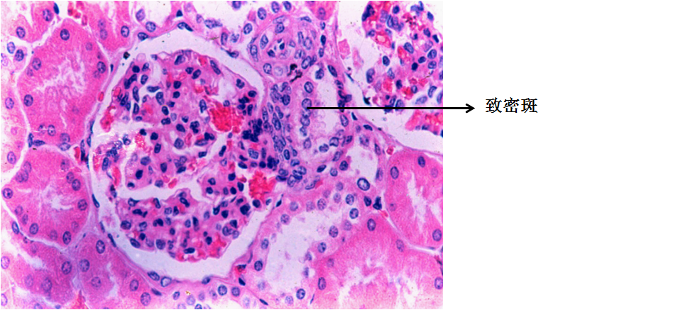
三、致密斑

图4. 致密斑
在皮质迷路内寻找有血管极的肾小体,此处可见靠近入球微动脉的远曲小管上皮细胞成柱状,细胞核密集且靠近腔面,此即致密斑。

