第二节 异位妊娠
95%为输卵管妊娠,典型临床现为停经、腹痛、阴道流血。
血hCG测定和超声检查为主要的辅助检查。
治疗主要为手术和药物治疗,方法的选择根据患者生命体征、胚胎的病理情况和着床部位等决定。
受精卵在子宫体腔以外着床称为异位妊娠( ectopic pregnancy),习惯称宫外孕(exta tenne pregnancy)。异位妊娠以输卵管妊娠为最常见(占95%),少见的还有卵巢妊娠腹腔妊娠、宫颋妊娠、阔韧带妊娠(图8-1)。剖宫产痕部位妊娠近年在国内明显增多;子宫残角妊娠因其临床表现与异位妊娠类似,故也附于本章内简述。

图8-1 异位妊娠的发生部位
异位妊娠是妇产科常见的急腹症,发病率2%~3%,是早期妊娠孕妇死亡的主要原因。近年来,由于异位妊娠得到更早的诊断和处理,患者的存活率和生育保留能力明显提高。
一、输卵管妊娠
输卵管妊娠( tubal pregnancy)以壶腹部妊娠最多见,约占78%,其次为峡部、伞部,间质部妊娠较少见。另外,在偶然情况下,可见输卵管同側或双侧多胎妊娠,或宫内与宫外同时妊娠,尤其多见于辅助生殖技术和促排卵受孕者。
【病因】
1.输卵管炎症 是输卵管妊娠的主要病因。可分为输卵管黏膜炎和输卵管周围炎。输卵管黏膜炎轻者可使黏膜皱褶粘连,管腔变窄,或使纤毛功能受损,从而导致受精卵在输卵管内运行受阻而于该处着床;输卵管周围炎病变主要在输卵管浆膜层或浆肌层,常造成输卵管周粘连,输卵管扭曲管腔狭窄,动减弱,影响受精卵运行。淋病奈瑟菌及沙眼衣原体所致的输卵管炎常累及黏膜,而流产和分娩后感染往往引起输卵管周围炎。
结节性输卵管峡部炎是一种特殊类型的输卵管炎,多由结核杄感染生殖道引起,该病变的输卵管黏膜上皮呈憩室样向肌壁内伸展,肌壁发生结节性增生,使输卵管近端肌层肥厚,影响其崌动功能导致受精卵运行受阻,容易发生输卵管妊娠。
2.输卵管妊娠史或手术史 曾有输卵管妊娠史,不管是经过保守治疗后自然吸收,还是接受卵管保守性手术,再次异位妊娠的概率达10%。输卵管绝育史及手术史者,输卵管妊娠的发生率为10%~20%。尤其是腹腔镜下电凝输卵管及硅胶环套术绝育,可因输卵管瘘或再通而导致输卵管妊娠。曾因不孕接受输卵管粘连分离术、输卵管咸形术(输卵管吻合术或输卵管造口术)者,再次输卵管妊娠的可能性亦增加。
3.输卵管发育不良或功能异常 输卵管过长、肌层发育差、黏膜纤毛缺乏、双输卵管、输卵管酿室或有输卵管副伞等,均可造成输卵管妊娠。输卵管功能(包括蠕动、纤毛活动以及上皮细胞分泌雄、孕激素调节。若调节失常,可影响受精卵正常运行。此外,精神因素可引起输卵管痙羍和动异常,千扰受精卵运送。
4.辅助生殖技术 近年由于辅助生殖技术的应用,使输卵管妊娠发生率增加,既往少见的异位妊娠,如卵巢妊娠、宫颈妊娠、腹腔妊娠的发生率增加。美国因助孕技术应用所致输卵管妊娠的发生率为2.8%。
5.避孕失败 包括宫内节育器避孕失败、口服紧急避孕药失败,发生异位妊娠的机会较大。
6.其他 子宫肌瘤或卵巢肿瘤压迫输卵管,影响输卵管管腔的通畅性,使受精卵运行受阻卵管子宫内膜异位可增加受精卵着床于输卵管的可能性。
【病理】
1.输卵管的特点 输卵管管腔狭小,管壁薄且缺乏黏膜下组织,受精卵很快穿过黏膜上皮接近或进人肌层,受精卵或胚胎往往发育不良,常发生以下结局:
(1)输卵管妊娠破裂( rupture of tubal pregnancy):多见于妊娠6周左右输卵管峡部妊娠。受精卵着床于输卵管黏膜皱襞间,胚泡生长发育时线毛向管壁方向侵蚀肌层及浆膜,最终穿破浆膜,形成输卵管妊破裂(图8-2)。输卵管肌层血管丰富,短期内可发生大量腹腔内出血,使患者出现休克血量远较输卵管妊娠流产多,腹痛剧烈,也可反复出血,在盆腔与腹腔内形成积血和血肿,孕囊可自破裂口排人盆腔。输卵管妊娠破裂绝大多数为自发性,也可发生于性交或盆腔双合诊后。
输卵管间质部妊娠( interstitial pregnancy)常与宫角妊娠( cornual pregnancy)混用,但严格地讲,间质部妊娠更靠近输卵管黏颹,而宮角妊娠则位于宫腔的侧上方。间质部妊娠虽不多见,但由于输卵管间质部管腔周围肌层较厚,血运丰富,因此破裂常发生于妊娠12~16周。一旦破裂,犹如症状极严重,往往在短时间内出现低血容量休克症状,后果严重。

图8-2 输卵管妊娠破裂示意图 图8-3 输卵管妊娠流产示意图
(2)输卵管妊娠流产( tubal abortion):多见于妊娠8~12周的输卵管壶腹部或伞端娗娠。受精卵种植在输卵管黏膜皱襞内,由于蜕膜形成不完整,发育中的胚泡常向管腔突出,最终突破包膜而出血胚泡与管壁分离,若整个胚泡剥离落人管腔,刺激输卵管逆蠕动经伞端排出到腹腔,形成输卵管妊娠全流产,出血一般不多(图8-3)。若胚泡剥离不完整,妊娠产物部分排出到腹腔,部分尚附着于输卵管壁,形成输卵管妊娠不全流产,滋养细胞继续侵蚀输卵管壁,导致反复出血。出血的量和持续时间与残存在输卵管壁上的滋养细胞多少有关。如果伞端堵塞血液不能流入盆腔,积聚在输卵管内,形榆卵管血肿或输卵管周围血肿。如果血液不断流出并积聚在直肠子宫陷窝,造成盆腔积血和血肿,量多时基至流入腹腔。
(3)输卵管妊娠胚胎停止发育并吸收:这种情况常在临床上被忽略,要靠检测血hCG进行诊断,但若血hCG水平很低,常被诊断为未知部位妊娠( pregnancy of unknown location,PUL),不容易跟宫内妊娠隐性流产相鉴别。
(4)陈旧性宫外孕:输卵管妊娠流产或破裂,若长期反复内出血形成的盆腔血肿不消散,血肿机化变硬并与周围组织粘连。机化性包块可存在多年,甚至钙化形成石胎。
(5)继发性腹腔妊娠:无论输卵管妊娠流产或破裂,胚胎从输卵管排入腹腔内或阔韧带内,多数死亡,偶尔也有存活者。若存活胚胎的绒毛组织附着于原位或排至腹腔后重新种植而获得营养,可继续生长发育,形成继发性腹腔妊娠。
2.子宫的变化 输卵管妊娠和正常妊娠一样,合体滋养细胞产生hCG维持黄体生长,使甾体激素分泌增加,致使月经停止来潮,子宫增大变软,子宫内膜出现蜕膜反应若胚胎受损或死亡,滋养细胞活力消失,蜕膜自宫壁剥离而发生阴道流血。有时蜕膜可完整剥离,随阴道流血排出三角形蜕膜管型( decidual cast);有时呈碎片排出。排出的组织见不到绒毛,组织学检查无滋养细胞,此时血hCG下降。子言内膜形态学改变呈多样性,若胚胎死亡已久,内膜可呈增殖期改变,有时可见 Arias-Stella(A-S)反应,镜检见内膜腺体上皮细胞增生、增大,细胞边界不清,腺细胞排列成团突人腺腔,细胞极性消失,细胞核肥大、深染,细胞质有空泡。这种子宫内膜过度增生和分泌反应,可能为甾体激素过度刺激所引起;若胚胎死亡后部分深入肌层的绒毛仍存活,黄体退化迟缓,内膜仍可呈分泌反应。
【临床表现】
输卵管妊娠的临床表现与受精卵着床部位、是否流产或破裂以及出血量多少和时间长短等有关。在输卵管妊娠早期,若尚未发生流产或破裂,常无特殊的临床表现,其过程与早孕或先兆流产相似。
1.症状 典型症状为停经、腹痛与阴道流血,即异位妊娠三联征。
(1)停经:多有6~8周停经史,但输卵管间质部妊娠停经时间较长。还有20%~30%患者无停经史,把异位妊娠的不规则阴道流血误认为月经,或由于月经过期仅数日而不认为是停经。
(2)腹痛:是输卵管妊娠患者的主要症状,占95%。输卵管妊娠发生流产或破裂之前,由于胚胎在输卵管内逐渐增大,常表现为一侧下腹部隐痛或酸胀感。当发生输卵管妊娠流产或破裂时,突感侧下腹部撕裂样疼痛,常伴有恶心、呕吐。若血液局限于病变区,主要表现为下腹部疼痛,当血液积聚于直肠子宫陷凹时,可出现肛门坠胀感。随着血液由下腹部流向全腹,疼痛可由下腹部向全腹扩散血液刺激膈肌,可引起肩胛部放射性疼痛及胸部疼痛。
(3)阴道流血:占60%~80%。胚胎死亡后,常有不规则阴道流血,色暗红或深褐,量少呈点滴状,一般不超过月经量,少数患者阴道流血量较多,类似月经。阴道流血可伴有蜕膜管型或蜕膜碎片排出,是子宫蜕膜剝离所致。阴道流血常常在病灶去除后或绒毛滋养细胞完全坏死吸收后方能停止。
(4)晕厥与休克:由于腹腔内出血及剧烈腹痛,轻者出现晕厥,严重者出现失血性休克。出血量越多越快,症状出现越迅速越严重,但与阴道流血量不成正比。
(5)腹部包块:输卵管妊娠流产或破裂时所形成的血肿时间较久者,由于血液凝固并与周围组织或器官(如子宫、输卵管、卵巢、肠管或大网膜等)发生粘连形成包块,包块较大或位置较高者,腹部可扪及。
2.体征
(1)一般情况:当腹腔出血不多时,血压可代偿性轻度升高;当腹腔出血较多时,可出现面色苍白、脉搏快而细弱、心率增快和血压下降等休克表现。通常体温正常,休克时体温略低,腹腔内血液吸收时体温略升高,但不超过38℃。
(2)腹部检查:下腹有明显压痛及反跳痛,尤以患侧为著,但腹肌紧张轻微。出血较多时,叩诊有移动性浊音。有些患者下腹可触及包块,若反复出血并积聚,包块可不断增大变硬。
(3)妇科检查:阴道内常有来自宫腔的少许血液。输卵管妊娠未发生流产或破裂者,除子宫略大较软外,仔细检查可触及胀大的输卵管及轻度压痛。输卵管妊娠流产或破裂者,阴道后穹隆饱满,有触痛。将宫颈轻轻上抬或向左右摆动时引起剧烈疼痛,称为宫颈举痛或摇摆痛,此为输卵管妊娠的主要体征之一,是因加重对腹膜的刺激所致。内出血多时,检查子宫有漂浮感。子宫一侧或其后方可触及肿块,其大小、形状、质地常有变化,边界多不清楚,触痛明显。病变持续较久时,脚块机化变硬,边清楚。输卵管间质部妊娠时,子宫大小与停经月份基本符合,但子宫不对称,一侧角部突出,破裂所致的征象与子宫破裂极相似。
【诊断】
输卵管妊娠未发生流产或破裂时,临床表现不明显,诊断较困难,需采用辅助检查方能确诊。由于血hCG检测和经阴道超声检查的应用,很多异位妊娠在发生流产或破裂前得到及早的诊断。
输卵管妊娠流产或破裂后,诊断多无困难。若有困难应严密观察病情变化,若阴道流血淋漓不断,腹痛加剧,盆腔包块增大以及血红蛋白呈下降趋势等,有助于确诊。必要时可采用下列检查方法协助诊断。
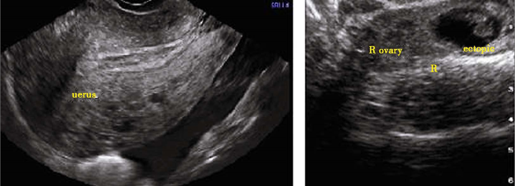
1.超声检查 超声检査对异位妊娠诊断必不可少,还有助于明确异位妊娠部位和大小,经阴道超声检查较经腹部超声检查准确性高。异位妊娠的声像特点:宫腔内未探及妊娠囊。若宫旁探及异常低回声区,且见卵黄囊、胚芽及原始心管博动,可确诊异位妊娠;若宫旁探及混合回声区,子宫直肠窝有游离暗区,虽未见胚芽及胎心搏动,也应高度怀疑异位妊娠;即使宫外未探及异常回声,也不能排除异位妊娠。由于子宫内有时可见到假妊娠囊(蜕膜管型与血液形成),应注意鉴别,以免误诊为宫内妊娠。子宫直肠窝积液也不能诊断异位妊娠。超声检查与血hCC测定相结合,对异位妊娠的诊断帮助更大。

异位妊娠超声表现
2.hcG测定 尿或血hCG测定对早期诊断异位娗娠至关重要。异位妊娠时,体内hCG水平较宫内妊娠低,但超过99%的异位妊娠患者hCG阳性,除非极少数陈旧性宫外孕可表现为阴性结果。血hCG阳性,若经阴道超声可以见到孕囊、卵黄囊、甚至胚芽的部位,即可明确宫内或异位妊娠;若经阴道超声未能在宫内或宫外见到孕囊或胚芽,则为未知部位妊娠(PUL),需警锡异位妊娠的可能。血清hCG值有助于对PUL进一步明确诊断,若≥3500U/L,则应怀疑异位妊娠存在。若<3500U/L,则需续观察hCG的变化;如果hCG持续上升,复查经阴道超声明确妊娠部位;如果hCG没有上升或上升慢,可以刮宫取内膜做病理检查。
3.血清孕测定 血清孕酮测定对预测异位妊娠意义不大。
4.腹腔镜检查 腹腔镜检查不再是异位妊娠诊断的“金标准”,且有3%~4%的患者因妊娠囊过小而被漏诊,也可能因输卵管扩张和颜色改变而误诊为异位妊娠。目前很少将腹腔镜作为检查的手段,而更多作为手术治疗。

输卵管妊娠腹腔镜下观:右侧输卵管壶腹膨大,呈紫蓝色
5.经阴道后宫隆穿刺 是一种简单可靠的诊断方法,适用于疑有腹腔内出血的患者。腹腔内出血最易积聚于直肠子宫陷凹,即使血量不多,也能经阴道后穹隆穿刺抽出血液。抽出暗红色不凝血液,说明有腹腔积血。若穿刺针头误人静脉,则血液较红,将标本放置10分钟左右即可凝结。当无内出血、内出血量很少、血肿位置较高或直肠子宫陷凹有粘连时,可能抽不出血液,因此阴道后穹隆穿刺阴性不能排除输卵管妊娠。
6.诊断性刮宫 很少应用,适用于与不能存活的宫内妊娠的鉴别诊断和超声检查不能确定部位者。将宫腔排出物或刮出物做病理检查,切片中见到绒毛,可诊断为宫内妊娠;仅见蜕膜未见绒毛,有助于诊断异位妊娠。
【鉴别诊断】
输卵管妊娠应与流产、急性输卵管炎、急性尾炎、黄体破裂及卵巢囊肿蒂扭转鉴别,见表8-2。
8-2 异位妊娠的鉴别诊断

【治疗】
异位妊娠的治疗包括手术治疗、药物治疗和期待治疗。
1.手术治疗 根据是否保留患侧卵管分为保守手术和根治手术。手术治疗适用于:①生命体征不稳定或有腹腔内出血征象者;②异位妊娠有进展者(如血hCG>3000UL或持续升高、有胎心搏动、附件区大包块等);③随诊不可靠者;④药物治疗禁忌证或无效者;⑤持性异位妊娠者。
(1)保守手术:适用于有生育要求的年轻妇女,特别是对侧输卵管已切除或有明显病变者。近年异位妊娠早期诊断率明显提高,输卵管妊娠在流产或破裂前确诊者增多,采用保守手术明显增多。根据受精卵着床部位及输卵管病变情况选择术式,若为伞部妊娠可行挤压将妊娠产物挤出;壶腹部妊娠行输卵管切开术,取出胚胎再缝合;峡部妊娠行病变节段切除及断端吻合。输卵管妊娠行保守手术后,残余滋养细胞有可能继续生长,再次发生出血,引起腹痛等,称为持续性异位妊娠( persisten ectopic pregnancy),发生率约3.9%~11.0%。术后应密切监测血hCG水平,每周复查一次,直至正常水平。若术后血HCG不降或升高、术后1日血hCG未下降至术前的50%以下、或术后12日未下降至术前的10%以下,均可诊断为持续性异位妊娠,可给予甲氨蝶呤治疗,必要时需再手术。发生持续性异位妊娠的有关因素包括:术前hCG水平过高、上升速度过快或输卵管肿块过大等。
(2)根治手术:适用于无生育要求的输卵管妊娠、内出血并发休克的急症患者;目前的循证依据支持对対侧输卵管正常者行患侧输卵管切除术更合适。重症患者应在积极纠正休克同时,手术切除输卵管,并酌情处理对侧输卵管。
输卵管间质部妊娠,应争取在破裂前手术,避免可能威胁生命的大量出血。手术应作子角部楔形切除及患侧输卵管切除,必要时切除子宫。
输卵管妊娠手术通常在腹腔镜下完成,除非生命体征不稳定,需要快速进腹止血并完成手术。腹腔镜手术具有住院日更短、术后康复更快等优点。
2.药物治疗 采用化学药物治疗,主要适用于病情稳定的卵管妊娠患者及保守性手术后发生持续性异位妊娠者。化疗必需用于异位妊娠确诊和排除了宫内妊娠的患者。符合下列条件可采用此法:①无药物治疔的禁忌证;②输卵管妊娠未发生破裂;③妊娠囊直径<4cm;④血hCG<2000U/L;⑤无明显内出血。主要的禁忌证为:①生命体征不稳定;②异位妊娠破裂;③妊娠囊直径≥4cm或≥33.5cm伴胎心搏动;④药物过敏、慢性肝病、血液系统疾病、活动性肺部疾病、免疫缺陷、消化性溃疡等。化疗要采用全身用药,亦可采用局部用药。全身用药常用甲氨蝶呤(MTX),治疗机制是抑制滋养细胞增生,破坏绒毛,使胚胎组织坏死、脱落、吸收。治疗方案很多,常用剂量为0.4mg(kg・d),肌内注射,5日为一疗程;若单次剂量肌内注射常用50mg/m2,在治疗第4日和第7日测血hCG,若治疗后4~7日血hCG下降<15%,应重复治疗,然后每周测血hCC,直至hCG降至5U/L,一般需3~4周。应用化学药物治疗,未必每例均获成功,故应在MTX治疗期间,应用超声检查和血hCG进行严密监护,并注意患者的病情变化及药物毒副反应。若用药后14日血hCG下降并连续3次阴性,腹痛缓解或消失,阴道流血减少或停止者为显效。若病情无改善,甚至发生急性腹痛或输卵管破裂症状,则应立即行手术治疗。局部用药可采用在超声引导下穿刺或在腹腔镜下将甲氨蝶呤直接注人输卵管的妊娠囊内。
3.期待治疗 适用于病情稳定、血清hCG水平较低(<1500U/L)且呈下降趋势。期待治疗必须向患者说明病情及征得同意。
二、其他部位妊娠
(一)卵巢妊娠
卵巢妊娠( ovarian pregnancy)指受精卵在卵巢着床和发育,发病率为1/7000~1/50000卵巢娠的诊断标准为:①患侧输卵管完整;②异位妊娠位于卵巢组织内;③异位妊娠以卵巢固有韧带与子宫相连;④绒毛组织中有卵巢组织。
卵巢妊娠的临床表现与输卵管妊娠极相似,主要症状为停经、腹痛及阴道流血。卵巢妊娠绝大多数在早期破裂,有报道极少数可妊娠至足月,甚至胎儿存活。破裂后可引起腹腔内大量出血,甚至休克。因此,术前往往诊断为输卵管妊娠或误诊为卵巢黄体破裂。术中经仔细探查方能明确诊断,因此切除组织必须常规进行病理检查。
治疗方法为手术治疗,手术应根据病灶范作卵巢部分切除、卵巢楔形切除、卵巢切除术或患侧附件切除术。
(二)腹腔妊娠
腹腔妊娠( abdominal pregnancy)指胚胎或胎儿位于输卵管、卵巢及阔韧带以外的腹腔内,发病率为1/10000~1/25000,母体死亡率约为5%,胎儿存活率仅为1‰。
腹腔妊娠分为原发性和继发性两类。原发性腹腔妊娠指受精卵直接种植于腹膜、肠系膜、大网膜处,极少见。原发性腹腔妊娠的诊断标准为:①两侧输卵管和卵巢正常,无近期妊娠的证据;②无子宫腹膜瘘形成;③妊娠只存在于腹腔内,无输卵管妊娠等的可能性。促使受精卵原发着床于腹膜的因素可能为腹膜有子宫内膜异位灶。继发性腹腔妊娠往往发生于输卵管妊娠流产或破裂后,偶可继发于卵巢妊娠或子宫内妊娠而子宫存在缺陷(如瘢痕子宫裂开或子宫腹膜瘘)破裂后。胚胎落入腹腔部分绒毛组织仍附着于原着床部位,并继续向外生长,附着于盆腔腹膜及邻近脏器表面。腹腔妊娠胎盘附着异常,血液供应不足,胎儿不易存活至足月。
患者有停经及早孕反应,且病史中多有输卵管妊娠流产或破裂症状,或妊娠早期出现不短期贫血症状,伴有腹痛及阴道流血,以后逐渐解。随后阴道流血停止,腹部逐渐增大。胎动时,孕日常感腹部疼痛,随着胎儿长大,症状逐渐加重。腹部检查发现子宫轮廓不清,但胎儿肢体极易触及胎位异常,肩先露或臀先露,先露高浮,胎心异常清晰,胎盘杂音响亮。妇科检查发现宫颈位置上移子宫比妊娠月份小并偏于一侧,但有时不易触及,胎儿位于子宫另一侧。近预产期时可有阵缩样假分娩发动,但宫口不扩张,经宫颈不易触及胎先露部。若胎儿死亡,妊娠征象消失,月经恢复来潮,粘连脏器和大网膜包裹死胎,胎儿逐渐缩小,日久者干尸化或成为石胎。若继发感染,形成脓肿,可向母体肠管、阴道、膀胱或腹壁穿通,排出胎儿骨骼。超声检查发现腔内空虚,胎儿与子宫分离;在胎儿与膀胱间未见子宫肌壁层;胎儿与子宫关系异常或胎位异常;子宫外可见胎盘组织。磁共振、CT对诊断也有一定帮助。
腹腔妊娠确诊后,应即行剖腹手术取出胎儿。术前评估和准备非常重要,包括术前血管造影栓塞术、子宫动脉插管、输尿管插管、肠道准备、充分备血及多专科抢救团队等。胎盘的处理要特别慎重意剥离将引起大量出血。胎盘的处理应根据其附着部位、胎儿存活及死亡时间决定。胎盘附着于子宫、输卵管或阔韧带者,可将胎盘连同附着器官一并切除。胎盘附着于腹膜或肠系膜等处,胎儿存或死亡不久(未达到4周),则不能触动胎盘,在紧靠胎盘处结扎脐带,将胎盘留在腹腔内,约需半年逐渐吸收,若未吸收而发生感染者,应再度剖腹酌情切除或引流;若胎儿死亡已久,则可试行剥离胎盘,有困难时仍宜将胎盘留于腹腔内,一般不作胎盘部分切除。术后需用抗生素预防感染。将胎盘留于腹腔内者,应定期通过超声检查及血hCG测定了解胎盘退化吸收程度。
(三)宫颈妊娠
受精卵着床和发育在宫颈管内者称为宫颈妊娠( cervical pregnancy.),极罕见。发病率为1/8600/12400近年辅助生殖技术的大量应用,宫颈妊娠的发病率有所增高。多见于经产妇,有停经及早孕反应,由于受精卵着床于以纤维组织为主的宫颈部,故妊娠般很少维持至20周。主要症状为无痛性阴道流血或血性分泌物,流血量一般由少到多,也可为间歇性阴道大量流血。检查发现宫颈显著膨大呈桶状,变软交蓝,宫颈外口扩张边缘很薄,内口紧闭,子宫体大小正常或稍大。宫颈妊娠的诊断标准:①妇科检査发现在膨大的宫颈上方为正常大小的子宫;②妊娠产物完全在宫颈管内;③分段刮宫,宫腔内未发现任何妊娠产物。
本病易误诊为难免流产,若能提高警惕,发现宫颈特异改变,有可能明确诊断。超声检查对诊断有帮助,显示官腔空虚,妊娠产物位于膨大的宫颈管内。彩色多普勒超声可明确胎盆种植范围。确诊后可行宫颈管搔刮术或行宫颈管吸刮术,术前应做好输血准备或于术前行子宫动脉栓塞术以减少术中出血;术后用纱布条填塞宫颈管创面,或应用小水囊压迫止血,若流血不止,可行双侧髂内动脉结扎。若效果不佳,应及时行全子宫切除术,以挽救生命。
为减少刮宫时出血并避免切除子宫,可于术前给予MTX治疗。MX每日肌内注射20mg,共5日,或MTX单次肌内注射50mg/m2;或将MX50mg直接注人妊娠囊内。如已有胎心博动,也可先注入10% KCL 2ml到孕囊内。经MTX治疗后,胚胎死亡,其周团绒毛组织坏死,刮宫时出血量明显减少。
时1]子宫残角妊娠
子宫残角妊娠
hom)指受精卵于残角子宫内
长发育,多发生于
初产妇。残角子宫为子宫先天发育畸形,系胚胎期副中肾管会合过程中出现异常而导致一侧副中肾管发育不全的结局。表现为除正常子宫外,尚可见一较小子宫,宫腔内有时可见内膜线。残角子宫往往不能与另一侧发育较好的宫腔沟通,从而使残角子宫可能以下述两种方式受精:一种方式是精子经对侧输卵管外游走至患侧输卵管内与卵子结合而进入残角子宫;另一种方式是受精卵经对侧输卵管外游到患侧输卵管而进入残角子宮着床发育。残角子宮肌壁多发育不良,不能承受胎儿生长发育,多数于妊娠14~20周发生肌层完全破裂或不完全破裂,引起严重内出血,症状与输卵管间质部妊娠破裂相似。偶有妊娠达足月者,分娩期亦可出现宫缩,但因不可能经阴道分娩,胎儿往往在临产后死亡子宫残角妊娠确诊后应及早手术,切除残角子官,若为活胎,应先行剖宮产,然后切除残角子富。附2]剖宫产瘢痕部位妊
宮产瘢痕部位妊娠( Caesarean scar pregnancy,CSP)指受精卵着床于前次剖宮产子宫切口瘢痕

