•为雌激素水平降低、局部抵抗力下降引起的、以需氧菌感染为主的阴道炎症。
•临床表现为阴道分泌物增多,外阴瘙痒等。
•治疗原则为补充雌激素,增强阴道抵抗力,抑制细菌生长。
萎缩性阴道炎( atrophic vaginitis)为雌激素水平降低、局部抵抗力下降引起的、以需氧菌感染为主的阴道炎症。常见于自然绝经或人工绝经后的妇女,也可见于产后闭经、接受药物假绝经治疗者。
【病因】
绝经后妇女因卵巢功能衰退或缺失,雌激素水平降低,阴道壁菱缩,黏膜变薄,上皮细胞内糖原减少,阴道内pH升高(多为5.0~7.0),嗜酸的乳杆菌不再为优势菌,局部抵抗力降低,以需氧菌为主的其他致病菌过度繁殖,从而引起炎症。
【临床表现】
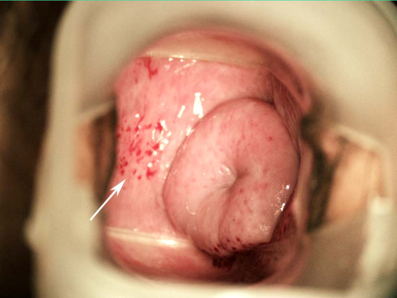
主要症状为外阴灼热不适、瘙痒,阴道分泌物稀薄,呈淡黄色;感染严重者阴道分泌物呈脓血性。可伴有性交痛。检查时见阴道皱襞消失、萎缩、菲溥。阴道黏膜充血,有散在小出血点或点状出血斑有时见浅表溃疡。

萎缩性阴道炎检查所见
【诊断】
根据绝经、卵巢手术史、盆腔放射治疗史或药物性闭经史及临床表现,排除其他疾病,可以诊断。取阴道分泌物镜检见大量白细胞而未见滴虫、假丝酵母菌等致病菌。萎缩性阴道炎患者因受雌激素水一低落的影响,阴道上皮脱落细胞量少且多为基底层细胞。对有血性阴道分泌物者,应与生殖道恶性肿瘤进行鉴别。需常规作宫颈细胞学检查,必要时行分段诊刮术。对出现阴道壁肉芽组织及溃疡者,需行局部活组织检查,与阴道癌相鉴别。


【治疗】
治疗原则为补充雌激素,增加阴道抵抗力;使用抗生素抑制细菌生长。
1.补充雌激素 补充雌激素主要是针对病因的治疗,以增加阴道抵抗力。雌激素制剂可局部给药,也可全身给药。局部涂抹雌三醇软膏、每日1~2次,连用14日。口服替勃龙2.5mg,每日1次,也可选用其他雌孕激素制剂连续联合用药。
2.抑制细菌生长 阴道局部应用抗生素如诺氟沙星制剂100mg,放于阴道深部,每日1次,7~10日为1个疗程。对阴道局部干涩明显者,可应用润滑剂。

