子宫内膜异位性疾病包括子宫内膜异位症(endomertriosis,EMT)和子宫腺肌病(adenomyosis),两者均由具有生长功能的异位子宫内膜所致,临床上常可并存。但两者的发病机制及组织发生学不尽相同,临床表现及其对卵巢激素的敏感性亦有差异。
•绝大多数位于盆腔脏器和壁腹膜,以卵巢、宫骶韧带最常见。
•主要症状为下腹痛与痛经、不孕及性交不适。
•腹腔镜检查是确诊盆腔内异症的标准方法,病理检查阴性不能排除内异症诊断。
•分为手术治疗和药物治疗,根据患者年龄、症状、分期、病变部位及对生育要求等给予个体化治疗。
子宫内膜组织(腺体和间质)出现在子宫体以外的部位时,称为子宫内膜异位症(endometriosis,EMT),简称内异症。异位内膜可侵犯全身任何部位,如脐、膀胱、肾、输尿管、肺、胸膜、乳腺,甚至手臂、大腿等处,但绝大多数位于盆腔脏器和壁腹膜,以卵巢、宫骶韧带最常见,其次为子宫及其他脏腹膜、阴道直肠膈等部位,故有盆腔子宫内膜异位症之称(图25-1)。由于内异症是激素依赖性疾病,在自然绝经和人工绝经(包括药物作用、射线照射或手术切除双侧卵巢)后,异位内膜病灶可逐渐萎缩吸收;妊娠或使用性激素抑制卵巢功能,可暂时阻止疾病发展。内异症在形态学上呈良性表现,但在临床行为学上具有类似恶性肿瘤的特点,如种植、侵袭及远处转移等。

图21-1 子宫内膜异位症的发生部位
【发病率】
流行病学调查显示,生育期是内异症的高发时段,其中76%在25~45岁,与内异症是激素依赖性疾病的特点相符合。有报道绝经后用激素补充治疗的妇女也有发病者。生育少、生育晚的妇女发病明显高于生育多、生育早者。近年来发病率呈明显上升趋势,与社会经济状况呈正相关,与剖宫产率增高、人工流产与宫腹腔镜操作增多有关,在慢性盆腔疼痛及痛经患者中的发病率为20%~90%,25%~35%不孕患者与内异症有关,妇科手术中有5%~15%患者被发现有内异症存在。
【病因】
异位子宫内膜来源至今尚未阐明,目前关于内异症的来源主要有以下3种学说。
1.种植学说 1921年,Sampson首次提出种植学说,其传播途径主要包括:
(1)经血逆流:Sampson首先提出经期时子宫内膜腺上皮和间质细胞可随经血逆流,经输卵管进入盆腔,种植于卵巢和邻近的盆腔腹膜,并在该处继续生长、蔓延,形成盆腔内异症,也称为经血逆流学说,许多临床和实验资料均支持这一学说:①70%~90%妇女有经血逆流,在经血或早卵泡期的腹腔液中,均可见存活的内膜细胞。②先天性阴道闭锁或宫颈狭窄等经血排出受阻者发病率高。③医源性内膜种植,如剖宫产后腹壁瘢痕或分娩后会阴切口出现内异症,可能是术时将子宫内膜带至切口直接种植所致,患者有多次宫腔手术操作史(人工流产、输卵管通液等)亦不少见。④动物实验能将经血中的子宫内膜移植于猕猴腹腔内存活生长,形成典型内异症。种植学说虽被绝大多数学者接受,但无法解释在多数育龄女性中存在经血逆流,但仅少数(10%~15%)女性发病,也无法解释盆腔以外的内异症。
(2)淋巴及静脉播散:子宫内膜也可以通过淋巴及静脉向远处播散,发生异位种植。不少学者在光镜检查时发现盆腔淋巴管、淋巴结和盆腔静脉中有子宫内膜组织,提出子宫内膜可通过淋巴和静脉向远处播散。临床上所见远离盆腔的器官,如肺、四肢皮肤、肌肉等发生内异症,可能就是内膜通过血行和淋巴播散的结果。该学说无法说明子宫内膜如何通过静脉和淋巴系统,而盆腔外内异症的发病率又极低。
(3)医源性种植:剖宫产手术后腹壁切口或分娩后会阴切口出现内异症,可能是手术时将子宫内膜带至切口直接种植所致。此途径在人猿实验中获得证实。
2.体腔上皮化生学说 该学说由19世纪著名病理学家 Robert Meyer提出。认为卵巢表面上皮、盆腔腹膜均由胚胎期具有高度化生潜能的体腔上皮分化而来,在受到持续卵巢激素或经血及慢性炎症的反复刺激后,能被激活转化为子宫内膜样组织。但目前仅有动物试验证实,小鼠卵巢表面上皮可经过K-ras激活途径直接化生为卵巢内异症病变。
3.诱导学说 未分化的腹膜组织在内源性生物化学因素诱导下,可发展成为子宫内膜组织,种植的内膜可以释放化学物质诱导未分化的间充质形成子宫内膜异位组织。此学说是体腔上皮化生学说的延伸,在兔动物实验中已证实,而在人类尚无证据。
内异症的形成可能还与下列因素有关。
1.遗传因素 内异症具有一定的家族聚集性,某些患者的发病可能与遗传有关。患者一级亲属的发病风险是无家族史者的7倍,人群研究发现单卵双胎姐妹中一方患有内异症时,另一方发生率可达75%。此外,有研究发现内异症与谷胱甘肽转移酶、半乳糖转移酶和雌激素受体的基因多态性有关,提示该病存在遗传易感性。
2.免疫与炎症因素 免疫调节异常在内异症的发生、发展各环节起重要作用,表现为免疫监视功能、免疫杀伤细胞的细胞毒作用减弱而不能有效清除异位内膜。研究发现,内异症与某些自身免疫性疾病如系统性红斑狼疮有关,患者的IgG及抗子宫内膜抗体明显增加;内异症也与亚临床腹膜炎有关,表现为腹腔液中巨噬细胞、炎性细胞因子、生长因子、促血管生成物质增加。
3.其他因素 国内学者提出“在位内膜决定论”,认为在位子宫内膜的生物学特性是内异症发生光的决定因素,局部微环境是影响因素。内异症患者在位子宫内膜的特性如粘附性、侵袭性、刺激形成血管的能力均强于非内异症患者的在位子宫内膜。环境因素也与内异症之间存在潜在联系,二噁英在内异症发病中有一定作用。血管生成因素也可能参与内异症的发生,患者腹腔液中VEGF等血管生长因子增多,使盆腔微血管生长增加,导致异位内膜易于种植生长。
【病理】
内异症的基本病理变化为异位子宫内膜随卵巢激素变化而发生周期性出血,导致周围纤维组织增生和囊肿、粘连形成,在病变区出现紫褐色斑点或小泡,最终发展为大小不等的紫褐色实质性结节或包块。内异症根据发生的部位不同,分为不同病理类型。
1.大体病理
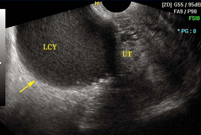
(1)卵巢型内异症( ovarian endometriosis):卵巢最易被异位内膜侵犯,约80%病变累及一侧,累及双侧占50%。卵巢的异位内膜病灶分为两种类型。①微小病变型:位于卵巢浅表层的红色、蓝色或棕色等斑点或小囊,病灶只有数毫米大小,常导致卵巢与周围组织粘连,手术中刺破后有黏稠咖啡色液体流出。②典型病变型:又称囊肿型。异位内膜在卵巢皮质内生长,形成单个或多个囊肿,称为卵巢子宫内膜异位囊肿。囊肿表面呈灰蓝色,大小不ー,直径多在5cm左右,大至10~20cm。典型情况下,陈旧性血液聚集在囊内形成咖啡色黏稠液体,似巧克力样,俗称“卵巢巧克力囊肿”( chocolateyst of ovary)。因囊肿周期性出血,囊内压力增大,囊壁易反复破裂,破裂后囊内容物刺激腹膜发生局部炎性反应和组织纤维化,导致卵巢与邻近器官、组织紧密粘连,造成囊肿固定、不活动,手术时囊壁极易破裂。这种粘连是卵巢子宫内膜异位囊肿的临床特征之一,可借此与其他出血性卵巢囊肿相鉴别。
(2)腹膜型内异症( peritoneal endometriosis):分布于盆腔腹膜和各脏器表面,以子宫骶骨韧带、直肠子宫陷凹和子宫后壁下段浆膜最为常见。在病变早期,病灶局部有散在紫褐色出血点或颗粒状散在结节。随病变发展,子宫后壁与直肠前壁粘连,直肠子宫陷凹变浅,甚至完全消失。输卵管内异症多累及管壁浆膜层,累及黏膜者较少。输卵管常与周围组织粘连,可因粘连和扭曲而影响其正常蠕动,严重者可致管腔不通,是内异症导致不孕的原因之一。腹膜型内异症亦分为二型:①色素沉着型即典型的蓝紫色或褐色腹膜异位结节,术中较易辨认;②无色素沉着型:为异位内膜的早期病变,较色素沉着型更常见,也更具生长活性。表现形式多种多样,依其外观又可分为红色病变和白色病变。无色素沉着病灶发展成典型的病灶需6~24个月。
(3)深部浸润型内异症( deep infiltrating endometriosis,DIE):指病灶浸润深度≥5mm的内异症,累及部位包括宫骶韧带、直肠子宫陷凹、阴道穹隆、阴道直肠隔、直肠或者结肠壁等,也可侵犯至膀胱壁和输尿管。
(4)其他部位的内品症:包括瘢痕内异症(如腹壁切口、会阴切口等)以及其他少见的远处内异症,如肺、胸膜等部位的内异症。

卵巢子宫内膜异位囊肿(卵巢巧克力囊肿)

宫骶韧带、子宫直肠陷凹子宫内膜异位症

腹膜内异症结节


子宫颈内异症

乙状结肠内异症
2.镜下检查 典型的异位内膜组织在镜下可见子宫内膜上皮、腺体、内膜间质、纤维素及出血等成分。无色素型早期异位病灶一般可见到典型的内膜组织,但异位内膜反复出血后,这些组织结构可被破坏而难以发现,出现临床表现极典型而组织学特征极少的不一致现象,约占24%。出血来自间质内血管,镜下找到少量内膜间质细胞即可确诊内异症。临床表现和术中所见很典型,即使镜下仅能在卵巢囊壁中发现红细胞或含铁血黄素细胞等出血证据,亦应视为内异症。肉眼正常的腹膜组织镜检时发现子宫内膜腺体及间质,称为镜下内异症,发生率10%~15%,可能在内异症的组织发生及治疗后复发方面起重要作用。
异位内膜组织可随卵巢周期变化而有增生和分泌改变,但其改变与在位子宫内膜并不一定同步,多表现为增生期改变。
国内外文献报道子宫内膜异位症恶变的发生率在1%左右,主要与卵巢型内异症相关。但由于癌组织可能破坏原发的内异症病灶、病理取材不充分或病理报告不完全都可能导致诊断遗漏,故内异症恶变的准确发生率根可能被低估。内异症恶变的主要组织类型为透明细胞癌和子宫内膜样癌,其发生机制尚未明确。
【临床表现】
内异症的临床表现因人和病变部位的不同而多种多样,症状特征与月经周期密切相关。有25%患者无任何症状。
1.症状
(1)下腹痛和痛经:疼痛是内异症的主要症状,典型症状为继发性痛经、进行性加重。疼痛多位于下腹、腰骶及盆腔中部,有时可放射至会阴部、肛门及大腿,常于月经来潮时出现,并持续至整个经期。疼痛严重程度与病灶大小不一定呈正比,粘连严重的卵巢异位囊肿患者可能并无疼痛,而盆腔内小的散在病灶却可引起难以忍受的疼痛。少数患者可表现为持续性下腹痛,经期加剧。但有27%~40%患者无痛经,因此痛经不是内异症诊断的必需症状。
(2)不孕:内异症患者不孕率高达40%。引起不孕的原因复杂,如盆腔微环境改变影响精卵结合及运送、免疫功能异常导致抗子宫内膜抗体增加而破坏子宫内膜正常代谢及生理功能、卵巢功能异常导致排卵障碍和黄体形成不良等。此外,未破裂卵泡黄素化综合征(luteinized unruptured follicle 棙rome,LUFS)在内异症患者中具有较高的发病率。中、重度患者可因卵巢、输卵管周围粘连而影响受精卵运输。
(3)性交不适:多见于直肠子宫陷凹有异位病灶或因局部粘连使子宫后倾固定者。性交时碰撞或子宫收缩上提而引起疼痛,一般表现为深部性交痛,月经来潮前性交痛最明显。
(4)月经异常:15%~30%患者有经量增多、经期延长或月经淋漓不尽或经前期点滴出血。可能与卵巢实质病变、无排卵、黄体功能不足或合并有子宫腺肌病和子宫肌瘤有关。
(5)其他特殊症状:盆腔外任何部位有异位内膜种植生长时,均可在局部出现周期性疼痛、出血和肿块,并出现相应症状。肠道内异症可出现腹痛、腹泻、便秘或周期性少量便血,严重者可因肿块压迫肠腔而出现肠梗阻症状;膀胱内异症常在经期出现尿痛和尿频,但多被痛经症状掩盖而被忽视;异位病灶侵犯和(或)压迫输尿管时,引起输尿管狭窄、阻塞,出现腰痛和血尿,甚至形成肾盂积水和继发性肾萎缩;手术瘢痕异位症患者常在剖宫产或会阴侧切术后数月至数年出现周期性瘢痕处疼痛和包块,并随时间延长而加剧。
除上述症状外,卵巢子宫内膜异位囊肿破裂时,囊内容物流入盆腹腔引起突发性剧烈腹痛,伴恶心、呕吐和肛门坠胀。疼痛多发生于经期前后、性交后或其他腹压增加的情况,症状类似输卵管妊娠破裂,但无腹腔内出血。
2.体征 卵巢异位囊肿较大时,妇科检查可扪及与子宫粘连的肿块。囊肿破裂时腹膜刺激征阳性。典型盆腔内异症双合诊检查时,可发现子宫后倾固定,直肠子宫陷凹、宫骶韧带或子宫后壁下方可扪及触痛性结节,一侧或双侧附件处触及囊实性包块,活动度差。病变累及直肠阴道间隙时,可在阴道后穹隆触及、触痛明显,或直接看到局部隆起的小结节或紫蓝色斑点。
【诊断】
生育年龄女性有继发性痛经且进行性加重、不孕或慢性盆腔痛,盆腔检查扪及与子宫相连的囊性包块或盆腔内有触痛性结节,即可初步诊断为子宫内膜异位症。但临床上常需借助下列辅助检查。经腹腔镜检查的盆腔可见病灶和病灶的活组织病理检查是确诊依据,但病理学检查结果阴性并不能排除内异症的诊断。
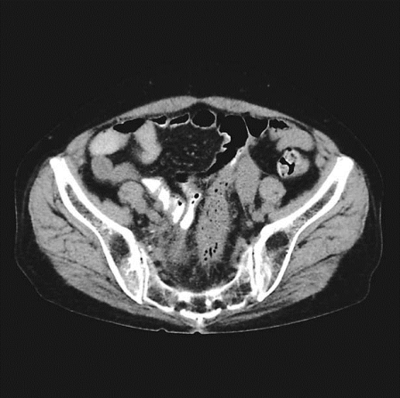
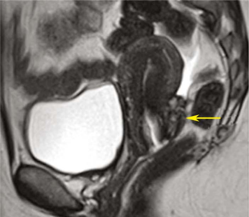
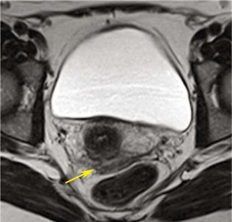
1.影像学检查 超声检查是诊断卵巢异位囊肿和膀胱、直肠内异症的重要方法,可确定异位囊肿位置、大小和形状,其诊断敏感性和特异性均在96%以上。囊肿呈圆形或椭圆形,与周围特别与子宫粘连,囊壁厚而粗糙,囊内有细小的絮状光点。因囊肿回声图像无特异性,不能单纯依靠B型超声图像确诊。盆腔CT及MRI对盆腔内异症有诊断价值,但费用昂贵,不作为初选的诊断方法。

卵巢子宫内膜异位囊肿B超

子宫内膜异位症CT


子宫内膜异位症MR
2.血清CA125测定 血清CA125水平可能增高,重症患者更为明显,但变化范围很大,临床上多用于重度内异症和疑有深部异位病灶者。在诊断早期内异症时,腹腔液CA125值较血清值更有意义。但CA125在其他疾病如卵巢癌、盆腔炎性疾病中也可以出现增高,CA125诊断内异症的敏感性和特异性均较低,不作为独立的诊断依据,但有助于监测病情变化、评估疗效和预测复发。HE4在内异症多在正常水平,可用于与卵巢癌的鉴别诊断。
3.腹腔镜检查:是目前国际公认的内异症诊断的最佳方法,除了阴道或其他部位的直视可见的病变之外,腹腔镜检查是确诊盆腔内异症的标准方法。在腹腔镜下见到大体病理所述典型病灶或可疑病变进行活组织检查即可确诊。下列情况应首选腹腔镜检查:疑为内异症的不孕症患者,妇科检查及B型超声检查无阳性发现的慢性腹痛及痛经进行性加重者,有症状特别是血清CA125水平升高者。只有在腹腔镜检查或剖腹探查直视下才能确定内异症临床分期。

卵巢巧克力囊肿腹腔镜下表现
【鉴别诊断】
内异症易与下述疾病混淆,应予以鉴别。
1.卵巢恶性肿瘤 早期无症状,有症状时多呈持续性腹痛、腹胀,病情发展快,一般情况差。超声图像显示包块为混合性或实性。血清CA125和HE4的表达水平多显著升高。腹腔镜检查或剖腹探查可鉴别。
2.盆腔炎性包块 多有急性或反复发作的盆腔感染史,疼痛无周期性,平时亦有下腹部隐痛,可伴发热和白细胞增高等,抗生素治疗有效。
3.子宫腺肌病 痛经症状与内异症相似,但多位于下腹正中且更剧烈,子宫多呈均匀性增大,质硬。经期检查时,子宫触痛明显。此病常与内异症并存。
【临床分期】
内异症的分期方法很多,目前我国多采用美国生育学会(AFS)提出的“修正子宫内膜异位症分期法”。该分期法于1985年最初提出,1997年再次修正。内异症分期需在腹腔镜下或剖腹探查手术时进行,要求详细观察并对异位内膜的部位、数目、大小、粘连程度等进行记录,最后进行评分(表21-1)。该分期法有利于评估疾病严重程度、正确选择治疗方案、准确比较和评价各种治疗方法的疗效,并有助于判断患者的预后。
表25-1 ASRM修正子宫内膜异位症分期法(1997年)

注:1.若输卵管全部包入应改为16分;
2.Ⅰ期(微型):1~5分;Ⅱ期(轻型):6~15分;Ⅲ期(中型):16~40分;Ⅳ期(重型):>40分
【治疗】
治疗内异症的根本目的是“缩减和去除病灶,减轻和控制疼痛,治疗和促进生育,预防和减少复发”。治疗方法应根据患者年龄、症状、病变部位和范围以及对生育要求等加以选择,强调治疗个体化。
(一)治疗方法
1.药物治疗 治疗的目的是抑制卵巢功能,阻止内异症的发展。适用于有慢性盆腔痛、经期痛经症状明显、有生育要求及无卵巢囊肿形成患者。对较大的卵巢内膜异位囊肿,特别是卵巢包块性质未明者,宜采用手术治疗。
(1)非甾体类抗炎药(NSAID):是一类不含糖皮质激素的抗炎、解热、镇痛药物,主要作用机制是通过抑制前列腺素的合成,减轻疼痛。用法:根据需要应用,间隔不少于6小时。副作用主要为胃肠道反应,偶有肝肾功能异常。长期应用要警惕胃溃疡的可能。
(2)口服避孕药:是最早用于治疗内异症的激素类药物,其目的是降低垂体促性腺激素水平,并直接作用于子宫内膜和异位内膜,导致内膜萎缩和经量减少。长期连续服用避孕药造成类似妊娠的人工闭经,称“假孕疗法”( pseudopregnancy therapy)。适用于轻度内异症患者。临床上常用低剂量高效孕激素和炔雌醇复合制剂,用法为每日1片,连续用6~9个月。副作用主要有恶心、呕吐,并警陽血栓形成风险。
(3)孕激素:单用人工合成高效孕激素,通过抑制垂体促性腺激素分泌,造成无周期性的低雌激素状态,并与内源性雌激素共同作用,造成高孕激素性闭经和内膜蜕膜化形成假孕。各种制剂疗效相近。所用剂量为避孕剂量3~4倍,连续应用6个月,如甲羟孕酮( medroxyprogester-one)3mg/d,副作用有恶心、轻度抑郁、水钠潴留、体重增加及阴道不规则点滴出血等。患者在停药数月后痛经缓解,月经恢复。
(4)孕激素受体拮抗剂:米非司酮(mifepristone)与子宫孕酮受体的亲和力是孕酮的5倍,具有强抗孕激者作用,每日口服25~100mg,造成闭经使病灶菱缩。副作用轻,无雌激素样影响,亦无骨质丢失危险,长期疗效有待证实。
(5)孕三烯酮(gestrinone):为19-去甲睾酮甾体类药物,有抗孕激素、中度抗雌激素和抗性腺效应,也是一种假绝经疗法。每周用药两次,每次2.5mg,于月经第1日开始服药,6个月为1个疗程。治疗后50%~100%患者发生闭经,症状缓解率达95%以上。孕三烯酮与达那唑相比,疗效相近,但副作用较小,对肝功能影响较小且可逆,且用药量少、方便。
(6)达那唑(danazol):为合成的17a-乙炔睾酮衍生物。抑制FSH、LH峰,抑制卵巢合成甾体激素,导致子宫内膜萎缩,出现闭经。因FSH、LH呈低水平,又称假绝经疗法。适用于轻度及中度内异症痛经明显的患者。用法:月经第1日开始口服200mg,每日2~3次,持续用药6个月。若痛经不缓解或未闭经,可加至每日4次。疗程结束后约90%症状消失。停药后4~6周恢复月经及排卵。副作用有恶心、头痛、潮热、乳房缩小、体重增加、性欲减退、多毛、座疮、皮脂增加、肌痛性痉挛等,一般能耐受。药物主要在肝脏代谢,已有肝功能损害不宜使用,也不适用于高血压、心力衰竭、肾功能不全者。
(7)促性腺激素释放激素激动剂(GnRH-a):为人工合成的十肽类化合物,对CnRH受体的亲和力较天然CnRH高百倍,在短期促进垂体LH和FSH释放后持续抑制垂体分泌促性腺激素,导致卵巢激素水平明显下降,出现暂时性闭经,此疗法又称“药物性卵巢切除”( medical oopho-rectomy)。目前常用的GnRH-a类药物有:亮丙瑞林3.75mg,月经第1日皮下注射后,每隔28日注射1次,共3~6次;戈舍瑞林3.6mg,用法同前。用药后一般第2个月开始闭经,可使痛经缓解,停药后在短期内排卵可恢复。副作用主要有潮热、阴道干燥、性欲减退和骨质丢失等绝经症状,停药后多可消失。但骨质丢失需时1年才能逐渐恢复正常。因此在应用GnRH-a3~6个月时可以酌情给予反向添加治疗(add-backtherapy)提高雌激素水平,预防低雌激素状态相关的血管症状和骨质丢失的发生,如妊马雌酮0.625mg加甲羟孕酮2mg,每日1次或替勃龙1.25mg/天。
2.手术治疗 治疗的目的是切除病灶、恢复解剖。适用于药物治疗后症状不缓解、局部病变加剧或生育功能未恢复者、较大的卵巢内膜异位囊肿者。腹腔镜手术是首选的手术方法,目前认为腹腔镜确诊、手术+药物为内异症的“金标准”治疗。手术方式有:
(1)保留生育功能手术:切净或破坏所有可见的异位内膜病灶、分离粘连、恢复正常的解剖结构,但保留子宫、一侧或双侧卵巢,至少保留部分卵巢组织。适用于药物治疗无效、年轻和有生育要求的患者。术后复发率约40%,因此术后宜尽早妊娠或使用药物以减少复发。
(2)保留卵巢功能手术:切除盆腔内病灶及子宫,保留至少一侧或部分卵巢。适用于皿、N期患者、症状明显且无生育要求的45岁以下患者。术后复发率约5%。
(3)根治性手术:将子宫、双附件及盆腔内所有异位内膜病灶予以切除和清除,适用于45岁以上重症患者。术后不用雌激素补充治疗者,几乎不复发。
(二)内异症不同情况的处理
1.内异症相关疼痛
(1)未合并不孕及无附件包块者,首选药物治疗。一线药物包括:非甾体类抗炎药、口服避孕药及高效孕激素。二线药物包括CnRH-a、左炔诺孕酮宫内缓释系统( LNG-IUS)。一线药物治疗无效改二线药物,若依然无效,应考虑手术治疗。所有的药物治疗都存在停药后疼痛的高复发率。
(2)合并不孕或附件包块者,首选手术治疗。手术指征:①卵巢子宫内膜异位囊肿直径≥4cm;②合并不孕;③痛经药物治疗无效。手术以腹腔镜为首选。但手术后症状复发率较高,年复发率高达10%。故手术后应辅助药物治疗并长期管理。可根据病情选择一线或二线药物用于术后治疗,以减少卵巢子宫内膜异位囊肿和疼痛复发,但停药后症状常会很快再出现。
不建议术前药物治疗。但对病变较重、估计手术困难者,术前可短暂应用GnRH-a3个月,以减少手术难度,提高手术的安全性。
2.内异症相关不孕 对于内异症合并不孕患者首先按照不孕的诊疗路径进行全面的不孕症检查,排除其他不孕因素。单纯药物治疗对自然妊娠无效。腹腔镜是首选的手术治疗方式。年轻、轻中度者,术后可期待自然妊娠6个月,并给予生育指导;有高危因素者(年龄在35岁以上、不孕年限超过3年,尤其是原发性不孕者;重度内异症、盆腔粘连、病灶切除不彻底者;输卵管不通者),应积极行辅助生殖技术助孕。
3.内异症恶变 主要恶变部位在卵巢,其他部位少见。临床有以下情况应警惕内异症恶变:①绝经后内异症患者,疼痛节律改变;②卵巢囊肿直径>10cm;③影像学检查有恶性征象;④血清CA125水平>200U/ml。治疗应循卵巢癌的治疗原则,预后一般比非内异症恶变的卵巢癌好。
【预防】
内异症病因不明确、多因素起作用,并且其组织学发生复杂,因此预防作用有限,主要注意以下几点以减少其发病:
1.防止经血逆流 及时发现并治疗引起经血潴留的疾病,如先天性梗阻性生殖道畸形和继发性宫颈粘连、阴道狭窄等。
2.药物避孕 口服避孕药可抑制排卵、促使子宫内膜萎缩,降低内异症的发病风险,对有高发家族史、容易带器妊娠者,可以选择。
3.防止医源性异位内膜种植 尽量避免多次的宫腔手术操作。进入宫腔内的手术,缝合子宫壁时避免缝线穿过子宫内膜层,手术结束后应冲洗腹壁切口。月经前禁作输卵管通畅试验,以免将内膜碎屑推入腹腔。宫颈及阴道手术不宜在经前进行,以避免经血中内膜碎片种植于手术创面。人工流产吸宫术时,宫腔内负压不宜过高,避免突然将吸管拔出。

