•多发生于生育年龄的经产妇,常合并内异症和子宫肌瘤。
•主要症状是月经改变和进行性痛经。
•无根治性的药物,手术是主要的治疗手段。
当子宫内膜腺体及间质侵入子宫肌层时,称子宫腺肌病(adenomyosis)。多发生于30~50岁经产妇,约15%同时合并内异症,约半数合并子宫肌瘤。虽对尸检和因病切除的子宫作连续切片检查,发现10%~47%子宫肌层中有子宫内膜组织,但其中35%无临床症状。子宫腺肌病与子宫内膜异位症病因不同,但均受雌激素的调节。
【病因】
子宫腺肌病患者部分子宫肌层中的内膜病灶与宫腔内膜直接相连,故认为内异症由基底层子宫内膜侵入肌层生长所致,多次妊娠及分娩、人工流产、慢性子宫内膜炎等造成子宫内膜基底层损伤,与腺肌病发病密切相关。由于内膜基底层缺乏黏膜下层,内膜直接与肌层接触,缺乏了黏膜下层的保护作用,使得在解剖结构上子宫内膜易于侵入肌层。腺肌病常合并有子宫肌瘤和子宫内膜增生,提示高水平雌孕激素刺激,也可能是促进内膜向肌层生长的原因之一。
【病理】
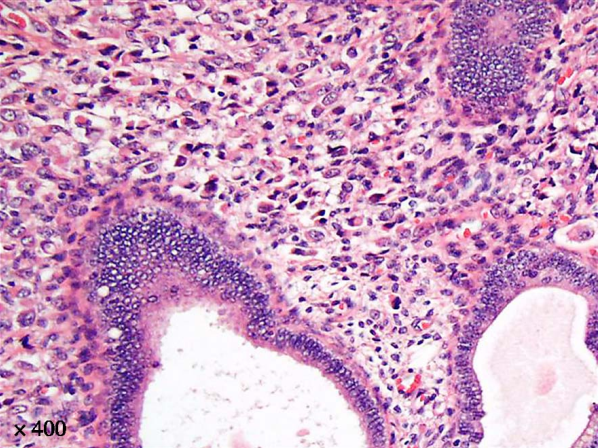
异位内膜在子宫肌层多呈弥漫性生长,累及后壁居多,故子宫呈均匀性增大,前后径增大明显,呈球形,一般不超过12周妊娠子宫大小。剖面见子宫肌壁显著增厚且硬,无旋涡状结构,于肌壁中见粗厚肌纤维带和微囊腔,腔内偶有陈旧血液。少数腺肌病病灶呈局限性生长形成结节或团块,似肌壁间肌瘤,称为子宫腺肌瘤(adenomyoma),因局部反复出血导致病灶周围纤维组织增生所致,故与周围肌层无明显界限,手术时难以剥出。镜检特征为肌层内有呈岛状分布的异位内膜腺体及间质,特征性的小岛由典型的子宫内膜腺体与间质组成,且为不成熟的内膜,属基底层内膜,对雌激素有反应性改变,但对孕激素无反应或不敏感,故异位腺体常呈增生期改变,偶尔见到局部区域有分泌期改变。

子宫腺肌病腹腔镜下表现

子宫腺肌病剖面

子宫腺肌病镜下观(400×)
【临床表现】
主要症状是经量过多、经期延长和逐渐加重的进行性痛经,疼痛位于下腹正中,常于经前1周开始,直至月经结束。有35%患者无典型症状,子宫腺肌病患者中月经过多发生率为40%~50%,表现为连续数个月经周期中月经期出血量多,一般大于80ml,并影响女性身体、心理、社会和经济等方面的生活质量。月经过多主要与子宫内膜面积增加、子宫肌层纤维增生使子宫肌层收缩不良、子宫内膜增生因素有关。子宫腺肌病痛经的发生率为15%~30%。妇科检查子宫呈均匀增大或有局限性结节隆起,质硬且有压痛,经期压痛更甚。无症状者有时与子宫肌瘤不易鉴别。
【诊断】
可依据典型的进行性痛经和月经过多史、妇科检查子宫均匀增大或局限性隆起、质硬且有压痛而作出初步临床诊断。影像学检查有一定帮助,可酌情选择,确诊取决于术后的病理学检查。


子宫腺肌病MR

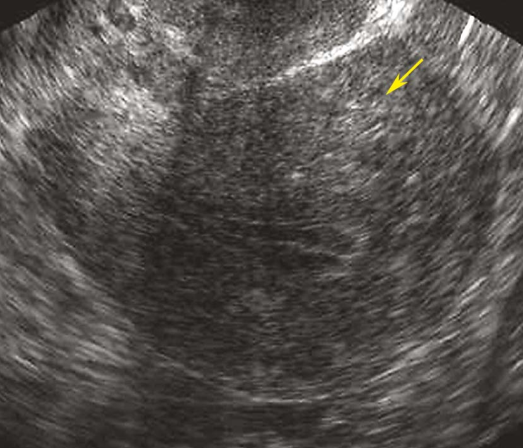
子宫腺肌病B型超声
【治疗】
应视患者症状、年龄和生育要求而定。目前无根治性的有效药物,对于症状较轻、有生育要求及近绝经期患者可试用达那唑、孕三烯酮或GnRH-a治疗,均可缓解症状,但需要注意药物的副作用,并且停药后症状可复现,在GnRH-a治疗时应注意患者骨丢失的风险,可以给予反添加治疗和钙剂补充。年轻或希望生育的子宫腺肌瘤患者,可试行病灶挖除术,但术后有复发风险;对症状严重、无生育要求或药物治疗无效者,应行全子宫切除术。是否保留卵巢,取决于卵巢有无病变和患者年龄。
(狄 文)

