无转移滋养细胞肿瘤的主要表现为异常阴道流血,多继发于葡萄胎妊娠。
转移性滋养细胞肿瘤易继发于非葡萄胎妊娠,常经血行播散,肺转移最常见。肝、脑转移者预后
不良。
血清hCG异常升高是主要诊断依播,影像学证据和组织学诊断不是必需的。
治疗采用化疗为主、手术和放疗为辅的综合治疗。低危患者首选单一药物化疗,高危患者首选联
合化疗。
妊娠滋养细胞肿瘤60%继发于葡萄胎妊娠,30%继发于流产,10%继发于足月妊姵或异位妊娠,其中侵蚀性葡萄胎(invasive mole)全部继发于葡萄胎妊娠,绒癌(choriocarcinoma)可继发于葡萄胎妊娠,也可继发于非葡萄胎妊娠。侵蚀性葡萄胎恶性程度低于绒癌,预后较好。绒癌恶性程度极高,发生转移早而广泛,在化疗药物问世以前,其死亡率高达90%以上,但随着诊断技术及化疗的发展,预后已得到极大的改善。
【病理】
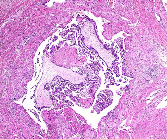
侵蚀性葡萄胎的大体检查可见子宫肌层内有大小不等的水泡状组织,宫腔内可以没有原发病灶。当病灶接近子宫浆膜层时,子宫表面可见紫蓝色结节。病灶也可穿透子宫浆膜层或侵人阔切带内。镜下可见水泡状组织侵人肌层,有绒毛结枃及滋养细胞增生和异型性。但绒毛结构也可退化,仅见绒毛阴影。


侵蚀性葡萄胎大体观 侵蚀性葡萄胎镜下观(100×)
子宫肌层见水泡状胎块组织浸润性生长
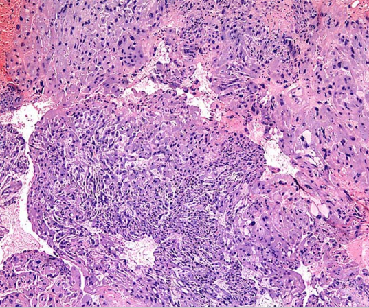
绒癌的大体观见肿瘤位于子宫肌层内,可突向宫腔或穿破浆膜,单个或多个,大小不等,无固定形态,与周围组织分界清,质地软而腌,海编样,暗红色,伴明显出血坏死。镜下见肿瘤细胞由细胞滋养细胞、合体滋养细胞及中间型滋养细胞组成,成片状高度增生,明显异型,不形成绒毛或水泡状结构,并广泛侵入子宫肌层造成出血坏死。肿瘤不含间质和自身血管,瘤细胞靠侵蚀母体血管而获取营养。


绒癌大体观 绒癌镜下观(200×)
肿瘤由细胞滋养细胞及合体滋养细胞组成, 看不到绒毛,伴出血坏死
【临床表现】
1.无转移滋养细胞肿瘤 大多数继发于葡萄胎妊娠。
(1)阴道流血:在葡萄胎排空、流产或足月产后,有持续的不规则阴道流血,量多少不定。也可表现为一段时间的正常月经后再停经,然后又出现阴道流血。长期阴道流血者可继发贫血。
(2)子宫复旧不全或不均匀性增大:常在葡萄胎排空后4~6周子宫尚未恢复到正常大小,质地偏软。也可受肌层内病灶部位和大小的影响,表现出子宫不均匀性增大。
(3)卵巢黄素化囊肿:由于hCG的持续作用,在葡萄胎排空、流产或足月产后,双侧或一侧卵巢黄素化囊肿持续存在。
(4)腹痛:一般无腹痛,但当子宫病灶穿破浆膜层时可引起急性腹痛及腹腔内出血症状。若子宫病灶坏死继发感染也可引起腹痛及脓性白带。黄素化囊肿发生扭转或破裂时也可出现急性腹痛。
(5)假孕症状:由于hCG及雌、孕激素的作用,表现为乳房增大,乳头及乳晕着色,甚至有初乳样分泌,外阴、阴道、宫颈着色,生殖道质地变软。
2.转移性滋养细胞肿瘤 易继发于非葡萄胎妊娠,或为经组织学证实的绒癌。肿瘤主要经血行播散,转移发生早而且广泛。最常见的转移部位是肺(80%),其次是阴道(30%),以及盆腔(20%)、肝(10%)和脑(10%)等。局部出血是各转移部位症状的共同特点。
转移性滋养细胞肿瘤可以同时出现原发灶和继发灶症状,但也有不少患者原发灶消失而转移灶发展,仅表现为转移灶症状,容易造成误诊。
(1)肺转移:可无症状,仅通过X线胸片或肺CT作出诊断。典型表现为胸痛、咳嗽、咯血及呼吸困难。这些症状常呈急性发作,但也可呈慢性持续状态。在少数情况下,可因肺动脉滋养细胞瘤栓形成,造成急性肺梗死,出现肺动脉高压、急性肺功能衰竭及右心衰竭。
(2)阴道转移:转移灶常位于阴道前壁及穹隆,呈紫蓝色结节,破溃时引起不规则阴道流血,甚至大出血。一般认为系宫旁静脉逆行性转移所致。
(3)肝转移:为不良预后因素之一,多同时伴有肺转移。病灶较小时可无症状,也可表现右上腹部或肝区疼痛、黄疽等,若病灶穿破肝包膜可出现腹腔内出血,导致死亡。
(4)脑转移:预后凶险,为主要的致死原因。一般同时伴有肺转移和(或)阴道转移。转移初期多无症状。脑转移的形成可分为3个时期,首先为痛栓期,可表现为一过性脑缺血症状如猝然跌倒、暂时性失语、失明等。继而发展为脑瘤期,即瘤组织增生侵入脑组织形成脑瘤,出现头痛、喷射样呕吐、偏瘫、抽搐直至昏迷。最后进入脑疝期,因脑瘤增大及周围组织出血、水肿,造成颅内压进一步升高脑疝形成,压迫生命中枢、最终死亡。
(5)其他转移:包括牌、肾、膀胱、消化道、骨等,其症状视转移部位而异。
【诊断】
1.临床诊断
(1)血清hCG测定:hCG水平异常是主要的诊断依据。影像学证据支持诊断,但不是必需的。葡萄胎后滋养细胞肿瘤的诊断标准:在葡萄胎清宫后hCC随访的过程中,凡符合下列标准中的任何一项且排除妊娠物残留或再次妊娠即可诊断为妊娠滋养细胞肿瘤:①hCC测定4次呈高水平平台状态(±10%),并持续3周或更长时间,即1,7,14,21日;②hCG测定3次上升(>10%),并至少持续2周或更长时间,即1,7,14日;③hCG水平持续异常达6个月或更长。
非葡萄胎后滋养细胞肿瘤的诊断标准:当流产、足月产、异位妊娠后,出现异常阴道流血、或腹腔、肺、脑等脏器出血、或肺部症状神经系统症状等时,应考虑滋养细胞肿瘤可能,及时行血HCG检测对hCG异常者,结合临床表现并除外妊娠物残留或再次妊娠,可诊断妊娠滋养细胞肿霜。
(2)超声检查:是诊断子宫原发病灶最常用的方法。在声像图上子宫可正常大小或不同程度增大,肌层内可见高回声团块,边界清但无包膜;或肌层内有回声不均区域或团块,边界不清且无包膜;也可表现为整个子宫呈弥漫性增高回声,内部伴不规则低回声或无回声。彩色多普勒超声主要显示丰富的血流信号和低阻力型血流频谱。
(3)X线胸片:为常规检查。肺转移典型的X线征象为棉球状或团块状阴影,转移灶以右侧肺及中下部较为多见。胸片可见病灶是肺转移灶计数的依据。
(4)CT和磁共振检査:胸部CT可以发现肺部较小病灶,是诊断肺转移的依据。磁共振主要用于脑、腹腔和盆腔转移灶的诊断。对X线胸片阴性者,应常规检査胸部CT。对X线胸片或胸部CT阳性者,应常规检查脑、肝CT或磁共振。
( 5)其他检查:如血细胞和血小板计数、肝肾功能等。
2.组织学诊断 在子宫肌层内或子宫外转移处组织中若见到绒毛或退化的绒毛阴影,则诊断为侵蚀性葡萄胎;若仅见成片滋养细胞浸润及坏死出血,未见绒毛结构者,则诊断为绒癌。若原发灶和转移灶诊断不一致,只要在任一组织切片中见有绒毛结构,均诊断为侵蚀性葡萄胎。
组织学证据对于妊娠滋养细胞肿瘤的诊断不是必需的,但有组织学证据时应以组织学诊断为准。
【临床分期】
采用国际妇产科联盟(FIGO)妇科肿瘤委员会制定的临床分期,该分期包含了解剖学分期和预后评分系统两个部分(表28-2,表28-3),规定预后评分≤6分者为低危,≥7分者为高危,其中预后评分≥12分及对一线联合化疗反应差的肝、脑或广泛转移者为极高危。例如,一患者为滋养细胞肿瘤肺转移,预后评分为6分,此患者的诊断应为“妊娠滋养细胞肿瘤(Ⅲ:6)”。预后评分是妊娠滋养细胞肿瘤治疗方案制定和预后评估的重要依据,而解剖学分期有助于明确肿瘤进程和各医疗单位之间比较治疗效果。
表28-2 滋养细胞肿瘤解剖学分期(FIGO,2000年)
Ⅰ期 病变局限于子宫 Ⅱ期 病变扩散,但仍局限于生殖器(附件、阴道、阔韧带) Ⅲ期 病变转移至肺,有或无生殖系统病变 Ⅳ期 所有其他转移
表28-3 FIGO/WHO预后评分系统(2000年)
评分 0 1 2 3 年龄 <40 ≥40 - - 前次妊娠 葡萄胎 流产 足月产 - 距前次妊娠时间(月) <4 4~<7 7~12 >12 治疗前血hCG(IU/L) ≤103 >103~104 >104~105 > 105 最大肿瘤大小(包括子宫) - 3~<5cm ≥5cm - 转移部位 肺 脾、肾 胃肠道 肝、脑 转移病灶数目 - 1~4 5~8 >8 先前失败化疗 - - 单药 两种或两种以上药物
【治疗】
治疗原则为采用以化疗为主、手术和放疗为辅的综合治疗。必须在明确临床诊断的基础上,根据病史、体征及各项辅助检查的结果,作出正确的临床分期,并根据预后评分将患者评定为低危(通常包括≤6分的Ⅰ-Ⅲ期)或高危(通常包括≥7分的Ⅰ-Ⅲ期和Ⅳ期),再结合骨髓功能、肝肾功能及全身情况等评估,制定合适的治疗方案,以实施分层治疗。
1.化疗 常用的一线化疗药物有甲氨蝶呤(MTX)、放线菌素-D(Act-D)、氟尿嘧啶(5-FU)、长春新碱(VCR)、依托泊苷(VP-16)等。低危患者选择单一药物化疗,高危患者选择联合化疗。
(1)单一药物化疗:目前常用的单药化疗药物及用法见表28-4。
表28-4 推荐常用单药化疗药物及其用法
药物 剂量、给药途径、疗程日数 疗程间隔 MTX 0.4mg/(kg・d)肌内注射,连续5日 2周 MTX 50mg/m2肌内注射 1周 MTX+
四氢叶酸(CF)
1mg/(kg・d)肌内注射,第1,3,5,7日
0.1mg/(kg・d)肌内注射,第2,4,6,8日(24小时后用)
2周 MTX 250mg静脉滴注,维持12小时 Act-D 10~12μg/(kg・d)静脉滴注,连续5日 2周 5-FU 8~30mg/(kg・d)静脉滴注,连续8~10日 2周*
*疗程间隔一般指上一疗程化疗的第一日至下一疗程化疗的第一日之间的间隔时间。这里特指上一疗程化疗结束至下一疗程化疗开始的间隔时间
(2)联合化疗:首选 EMA-CO方案或氣尿啶为主的联合化疗方案(表285)。
表28-5 联合化疗方案及用法
方案 剂量、给药途径、疗程日数 疗程间隔 EMA-CO
第一部分EMA
第一日
第2日
第3日
第4~7日
第二部分CO
第8日
VP16 100mg/m2 静脉滴注
Act-d 0. 5mg 静脉注射
MTX 100mg/m2 静脉注射
MTX 200mg/ 静脉滴注12小时
VP16 100mg/m2 静脉滴注
ACT-D 0. 5mg 静脉注射
四氢叶酸(CF)15mg 肌内注射
(从静脉注射MTX开始算起24小时给药,每12小时1次,共2次)
四氢叶酸15mg,肌内注射,每12小时1次,共2次
休息(无化疗)
VCR 1. 0mg/m2 静脉注射
CTX 600mg/m2 静脉注射
2周 5-FU+KSM 5-FU 26~28mg/(kg・d) 静脉滴注8日
KSM 6μg/kg・d 静脉滴注8日
3周*
“特指上一疗程化疗结東至下一疗程化疗开始的间隔时间
(3)疗效评估:在每一疗程化疗结束后,应每周一次测定血清hCG,并结合妇科检查和影像学检查。在每疗程化疗结東至18日内,血hCG下降至少1个对数称为有效。
(4)毒副反应防治:常见的化疗毒副反应为骨髓抑制,其次为消化道反应、肝、肾功能损害及脱发等。所以化疗前应先检查骨髓及肝肾功能等,用药期间严密观察,注意防治。
(5)停药指征:hCG正常后,低危患者至少巩固化疗1疗程,通常为2~3疗程;高危患者继续化疗3个疗程,其中第一疗程必须为联合化疗。
2.手术 主要用于化疗的辅助治疗。对控制大出血等并发症、切除耐药病灶、减少肿瘤负荷和缩短化疗疗程等方面有作用,在一些特定的情况下应用。
(1)子宫切除:对无生育要求的无转移患者在初次治疗时可选择全子宫切除术,并在术中给予单药单疗程辅助化疗,也可多疗程至血hCG水平正常。对有生育要求者,若发生病灶穿孔出血,可行病灶切除加子宫修补术;若出现单个子宫耐药病灶,且血hCG水平不高,可考虑作病灶剜出术。
(2)肺叶切除术:对于多次化疗未能吸收的孤立的耐药病灶,血hCG水平不高,可考虑做肺叶切除。由于肺转移灶吸收后形成的纤维化结节可以在hCG转阴后在X线胸片上较长时间存在,所以在决定手术前应注意鉴别。
3.放射治疗 应用较少,主要用于肝、脑转移和肺部耐药病灶的治疗。
4.耐药复发病例的治疗 几乎全部无转移和低危转移患者均能治愈,但尚有20%左右的高危转移病例出现耐药和复发,并最终死亡。对这类患者如何治疗仍然是当今滋养细胞肿瘤治疗的一大难题。其策略大致有:①治疗前准确分期和评分,给予规范的化疗方案,以减少耐药和复发;②采用由有效二线化疗药物组成的联合化疗方案,常用药物有异环磷酰胺,铂类、博来霉素、紫杉醇等,由这些药物组成的化疗方案主要有EP-EMA(EMA-CO中的CO被顺铂和依托泊苷所替代)、PVB(顺铂、长春新碱、博来霉素)、BEP(博来霉素、依托泊苷,顺铂)、VP(依托泊苷、异环磷酰胺、顺铂或卡铂)、TP/TE(紫杉醇、顺铂/紫杉醇、依托泊苷)等;③采用综合治疗和探索新的治疗手段。
【随访】
治疗结束后应严密随访。第1次在出院后3个月,然后每6个月1次至3年,此后每年1次直至5年。也有推荐低危患者随访1年,高危患者可随访2年。随访内容同葡萄胎。随访期间应严格避孕,一般于化疗停止≥12个月后方可妊娠。

