1
心电图学
1.7.4.4.7 第七节 心脏介入诊断及治疗中的心电图

第七节 心脏介入诊断及治疗中的心电图

一、射频消融术

(一)概述 近年来,利用射频能量经导管消融,已经成为治疗多种室上性及室性心律失常的非常安全、有效的方法。经导管消融治疗快速心律失常开始于本世纪80年代初期,最早使用的能源为直流电。由于直流电消融可能导致严重并发症,这项技术的临床应用受到极大限制。1987年,Hang等首先在闭胸式动物模型上使用射频电流,通过常规的电极导管成功消融房室交界区,引起完全性房室传导阻滞。此后大量的对心室、心房、冠状窦进行经导管射频消融的动物实验研究,证实了射频能量用于人体的安全性、可行性。同年射频消融首次应用于临床,成功治疗了房室旁路参与的折返性心动过速。1989年后,国际上较多地利用射频能源经导管消融用于治疗各种快速性心律失常。1991年后国内普遍开展了经导管射频消融这一新技术。目前这项技术的应用越来越普及,至1993年全世界经导管射频消融患者总数已超过50 000例,其中绝大多数是室上性心动过速。目前射频消融术已成为根治多种顽固性快速心律失常的首选疗法。

射频电流(频率范围100 kHz~1.5mHz)是一种高频电磁波,每秒交流(正负)变化频率>10 000次,呈连续正弦波形改变,这种高频电磁波能在空气中传播,经大气层的电离层反射,可以远距离传输(表64-3)。

表64-3 不同频率能量的定义

img1691

根据输出形式(单极还是双极)、峰因素(峰电压与有效电压之比)、波形(调制的还是非调制的正弦)和输出功率的不同,射频电流会产生3种不同的电手术效应:

1.电手术切割 对组织产生电火花和切割作用,放电时,电极与组织被薄层蒸汽分开,产生短时间的强烈的电火花,止血作用极小,作用类似手术刀。

2.电手术凝血 放电时电极离开组织,产生长时间的火花,首先产生浅表的凝血,随着凝血过程继续,产生较深的组织坏死,焦痂硬而黑。此时对组织无切割作用,主要使组织炭化,对大出血有止血作用。

3.电手术干燥 无电火花的低功率凝固。电极与组织接触密切,深处组织凝固迅速扩散,焦痂相对较软,为浅褐色。

导管消融选择射频能量的第3种作用即干燥作用,以避免电火花和高电压气压伤,同时避免不适宜的电刺激产生室颤。电极与心脏组织直接接触,组织被射频电流转变的热能加热,细胞内外水分蒸发,发生脱水,导致局部组织的凝固坏死,因此,射频消融的实质是一种热损伤。消融过程中导管顶端的电极头并不产生热,产热体是心肌和心内膜,消融电极只是“被动性”受热,消融过程中产生的热量可分为传导热和阻抗热。(图64-10)

目前常用的射频发生器一般发放300kHz~1.0mHz的未经调制的连续正弦波电流。尽管电流强度较大,但最大电压较低,不会产生气压伤作用。另外,由于射频电流具有较高的频率,它不刺激神经肌肉纤维,放电期间一般无明显不适,不需要全麻。

射频消融通常产生界限清楚的凝固性坏死,坏死灶范围小,不破坏周围正常组织,致心律失常作用很罕见。组织损伤的形态常为圆形或卵圆形。损伤中心有凹陷,为灰白色皱缩坏死区,周围有出血坏死区。急性和亚急性(4~11天)组织学改变有界限清楚的均匀性凝固坏死区及坏死区周围出血和由增生的毛细血管及成纤维细胞组成的肉芽组织狭窄带(0.1~0.3mm),肉芽组织带与周围正常心肌界限清楚。慢性损伤(>2个月)为发白增厚的瘢痕。显微镜下可见组织纤维化,脂肪组织浸润和慢性炎细胞,心肌偶尔被肉芽组织所取代。使用4mm长电极头时,射频能量损伤的直径一般为45mm,深度为2~3mm。

img1692

图64-10 4mm长消融大头,阻抗热及传导热示意图[引自:Handbook of Cardiac Electrophysiology(APractical Guide to invasive EPstudies and Catheter Ablation).Francis Dm urgatroyd,Andrew D Krahn et al.2002]

(二)射频消融术的适应证

1.经导管射频消融改良房室交界区

(1)明确适应证 ①有症状的快速心律失常患者经药物治疗未能有效控制心室率,而射频消融不能根治快速房性心律失常。②上述患者不能接受药物治疗,或药物治疗能有效控制心室率而患者不愿服用。③有症状的自主性交界区心动过速患者,药物治疗无效,或不能耐受或不愿意接受药物治疗。④因心房扑动或心房颤动伴快速心室率导致心脏性猝死的生还者,并证实无房室旁路。

(2)相对适应证 植入双腔起搏器患者发生药物治疗或体外程控无效的起搏器介入性心动过速。

(3)非适应证 能接受药物治疗并且药物治疗有效的快速房性心律失常患者。

2.经导管射频消融房室结内折返性心动过速(AVNRT) 房室结通过位于前部的快径路和后部的慢径路与心房相连。AVNRT需要此两条径路的参与。典型AVNRT以慢径路为前向传导、快径路为逆向传导。消融阻断其中任一径路均可治疗AVNRT。一般多以慢径路为消融目标。

(1)明确适应证 有症状的持续性房室结内折返性心动过速(AVNRT)患者药物治疗无效,或不能耐受或不愿接受长期的药物治疗。心动过速发作时伴血流动力学障碍或心衰。

(2)相对适应证 ①电生理检查或消融治疗其他心律失常过程中证实有持续性AVNRT的患者。②临床怀疑有AVNRT,但电生理检查仅发现房室结双径路和房性回波的患者。③AVNRT发作次数少,症状轻者或无症状。

(3)非适应证 ①药物治疗有效并能耐受其治疗的房室结内折返性心动过速(AVNRT)患者,其更愿接受药物治疗而非消融治疗。②临床未怀疑有AVNRT,电生理检查仅发现房室结双径路(伴或不伴有房性回波)的患者。

3.经导管射频消融房性心动过速、房扑和房颤

(1)明确适应证 ①药物治疗无效的房性心动过速,或患者不能耐受或不愿接受长期的药物治疗。②药物治疗无效的房扑或房颤,或患者不能耐受或不愿接受长期药物治疗。③非典型房扑,发作频繁、心室率不易控制者。④手术切口折返性房速反复发作者。

(2)相对适应证 ①药物治疗无效的房扑或(和)房性心动过速伴阵发性房颤,或患者不能耐受或不愿接受长期的药物治疗。②心动过速发作次数少,症状轻者。

(3)非适应证 ①药物治疗有效并能耐受的快速房性心律失常患者,其更愿接受药物治疗而非消融治疗。②多形性房性心动过速患者。

4.经导管消融房室旁路

(1)明确适应证 ①药物治疗无效的有症状的房室折返性心动过速(AVRT),或患者不能耐受或不愿接受长期的药物治疗。②预激综合征合并房颤(或其他快速房性心动过速)患者药物治疗无效,或患者不能耐受或不愿接受长期的药物治疗。或引起血流动力学障碍、已有充血性心力衰竭者。

(2)相对适应证 ①电生理检查其他心律失常过程中证实的AVRT患者。②无症状的预激综合征患者,由于自发性快速心律失常和异常心电图可能影响患者的生活、就业和精神状态。③显性预激无心动过速发作,但是有明显胸闷症状,排除了其他原因者。④从事特殊职业(如司机、高空作业等)的显性预激患者。⑤房颤伴有旁路前传,但心室率不快。⑥患者有心脏性猝死家族史。⑦AVRT发作次数少,症状轻者。

(3)非适应证 药物治疗有效的房室旁路所致的心律失常,患者能耐受药物治疗并更愿接受药物治疗而非消融治疗。

5.经导管射频消融室性心动过速

(1)明确适应证 ①有症状的持续性单形性室性心动过速药物治疗无效,或患者不能耐受或不愿接受长期的药物治疗。②束支折返性室性心动过速患者。③持续性单形型室性心动过速患者,ICD或结合药物治疗无效。

(2)相对适应证 有症状的非持续性室性心动过速药物治疗无效,或患者不能耐受或不愿接受长期的药物治疗。

(3)非适应证 ①药物、ICD或外科手术治疗有效的室性心动过速,患者能耐受这些治疗不愿接受消融治疗;②目前标测技术不能明确定位的不稳定、多形型室性心动过速。③无症状、临床预后良好的非持续性室性心动过速。

(三)射频消融术的操作方法

1.WPW综合征和隐匿性旁路的消融 在进行射频消融时,首先将多极电极导管分别置于高位右心房、希氏束区、右心室心尖部及冠状窦,进行电生理检查以明确诊断并标测旁路位置。冠状窦导管有助于左侧旁路的标测,并可作为心房、心室间分界线的解剖标志。经股动脉逆行途径在二尖瓣环心室侧标测消融,操作简单易行,是消融左侧旁路的常用途径。经动脉逆行途径在二尖瓣环心房侧标测消融适用于导管钩挂到瓣下困难,或虽可以钩挂在瓣下但不能成功消融等情况。也可利用房间隔穿刺技术,在二尖瓣环心房侧进行消融,是经动脉逆行途径必不可少的补充。其优点是导管容易到位并且易于消融成功,同时可避免损伤主动脉瓣,尤其适应于儿童患者;缺点是导管与瓣环贴靠不紧密,需要较高的功率,消融后复发率偏高,房间隔穿刺增加了操作时间,导管易穿破左心房导致心脏压塞。对左侧旁路患者,常用右前斜位(RAO)30°投照,该投照角度下,左心室长轴展开好,易指引消融导管钩挂到二尖瓣环下。左前斜位(LAO)45°是重要补充,在对导管走行有任何疑问时均应行LAO透视,这一透视角度有助于判断导管是贴靠于间隔还是游离壁,以避免损伤希氏束(图64-11)。

img1693

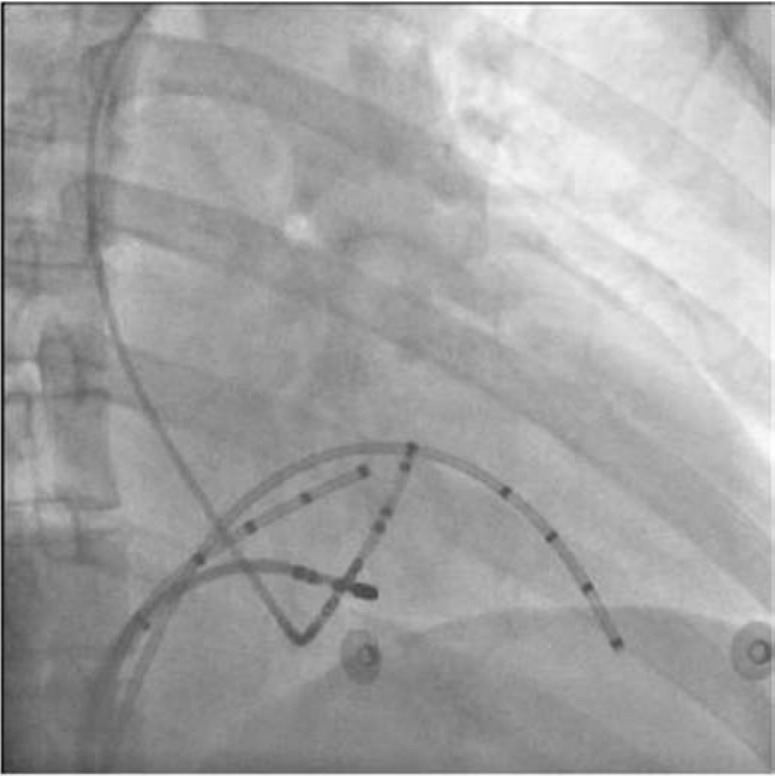
图64-11 隐匿性左侧旁路

右心室心尖部刺激S1s1=300ms,VA呈偏心性传导,逆传A波最早激动点在CS23,旁路靠近CS23。X线靶点见下图

img1694

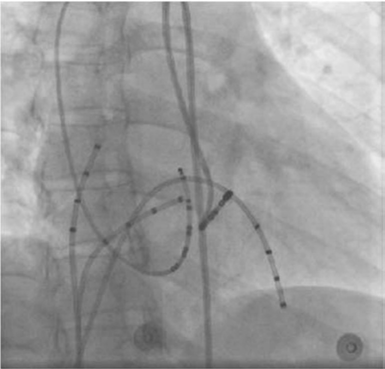
RAO 30°

img1695

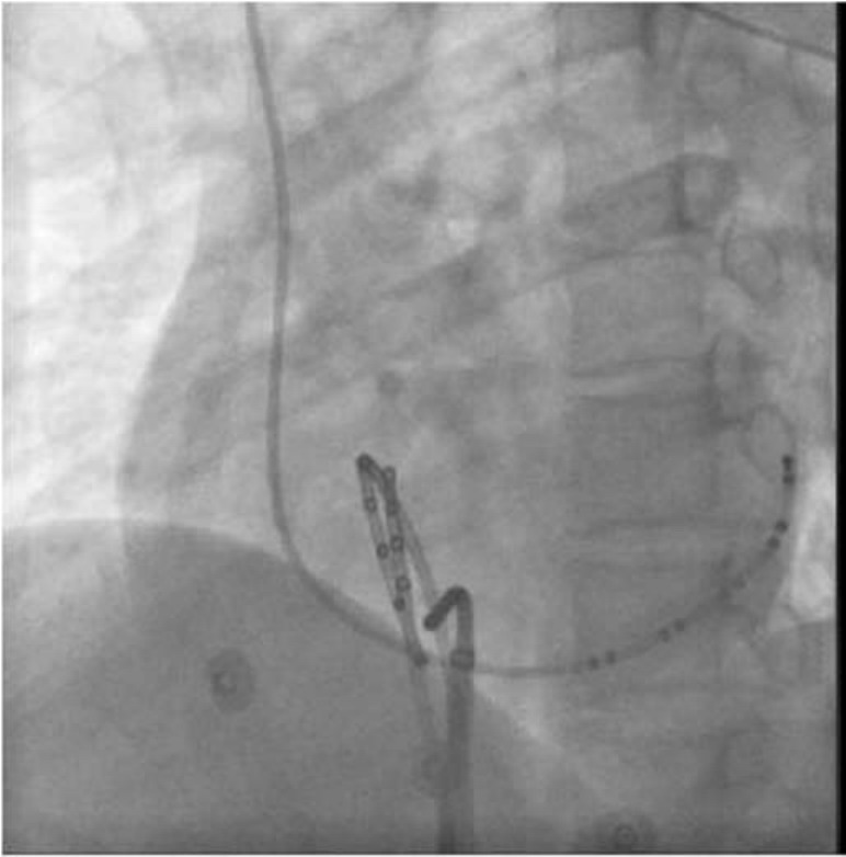
LAO 45°

对右侧旁路患者,经股静脉途径操作,简单方便。对于右侧间隔部位及后游离壁的旁路,可将导管直接贴靠于三尖瓣环上进行消融,消融右侧游离壁旁路时需要增强导管与瓣环的贴靠,多应用Swartz鞘管以增强导管的支持力,使导管稳定贴靠于三尖瓣环的某一位置。后间隔旁路可在冠状窦口周围的后间隔区域进行标测,一些患者只有在冠状窦内消融才能成功。前间隔旁路位于希氏束区附近。对右侧旁路患者,常用LAO 45°投照,该投照角度下,三尖瓣环形似一钟表盘,直接面向术者。有两个重要的影像标记可对消融位置提供参考:希氏束在瓣环的12点~1点附近,冠状窦口在瓣环的5点~6点附近。右侧旁路的消融较左侧旁路更困难些,因在标测及消融时导管

img1696

图64-12 房室结折返性心动过速

高右心房刺激S1s2=500/310ms跳跃诱发心动过速,符合AVNRT的腔内图特点与三尖瓣环间较难保持良好接触。

消融靶点的确定:显性旁路以最早前向心室激动点和(或)最早逆向心房激动点为消融靶点;隐匿性旁路以最早逆向心房激动点为消融靶点。

射频功率的选择:采用温度控制消融,预设温度为50~70℃,功率一般预设在50W。二尖瓣环下消融时可选择较低的功率(10~20W),二尖瓣环上和三尖瓣环上消融时可选择较高的功率(20~55W)。

2.房室结折返性心动过速的射频消融 房室结折返性心动过速(AVNRT)是一种常见的阵发性室上性心动过速。1913年Mines首先提出这类心动过速由房室结内折返引起。Moe等推测房室结内纵向分隔成两个通道:①α通道:即慢径路,不应期短,传导速度慢。②β通道:即快径路,不应期长,传导速度快。其中90%的患者在心动过速时慢径路作前传支,快径路作逆传支(慢—快型即典型的AVNRT);有10%的患者,快径路作为前传支,慢径路作逆传支(快慢型或非典型的AVNRT)。快径路被认为是正常房室传导的路径,慢径路的功能目前仍不清楚。

治疗房室结折返性心动过速,需要改良房室交界区,同时又要保留正常的房室传导。最初是手术治疗,成功率很高,术中要切割房室结周围或在房室结周围的区域造成冷冻损伤。射频消融术成功率很高,成了目前首选的根治性疗法。

常规采用股静脉途径进行标测与消融,对导管不易稳定贴靠者可采用Swartz鞘管加强支持。常用投照角度包括RAO 30°和LAO 45°,RAO 30°可以精确判断消融导管与希氏束的关系,而LAO 45°可以判断消融导管与间隔的位置关系,即明确消融导管是否贴靠于间隔。

消融靶点的确定:自希氏束至冠状静脉窦口依次分为上、中、下3个区,首先在中下1/3交界处附近标测,如果消融无效可略向下或略向上寻找靶点。靶点满足以下条件:①局部双极心内膜电图呈碎、宽、小的A波和大V波;②无His束电位。

射频功率:一般采用温度控制消融,预设温度为55~60℃。有人认为,非温度控制消融在AVNRT的消融中更安全。放电过程中严密监测阻抗和心律,放电后出现缓慢的交界性心律视为消融有效(图64-12)。

X线靶点见下图

img1697

RAO30°

img1698

LAO45°

3.心房扑动的消融 目前普遍认为,典型的心房扑动(Ⅰ型房扑,在Ⅱ、Ⅲ、aVF导联F波负向,V1导联F波正向)是发生于右心房的大折返环形激动。激动波在右心房作逆时针环形激动,一般认为左心房不是折返环的必要成分。理论上讲,消融心房折返环路上的任何部分,都能终止心房扑动,并防止其复发。研究发现,心房扑动的折返环路上有一个关键性区域,可能是缓慢传导区的出口,位于冠状窦口的下后方,在下腔静脉口与三尖瓣环之间,称为三尖瓣环峡部。射频消融主要针对这一区域。消融成功的标准是放电过程中心房扑动突然终止,并且再不能被诱发。目前更确切的成功标准是达到峡部的完全双向阻滞。

4.心房颤动的消融治疗

(1)控制心房颤动时的心室率 对于那些有症状的,药物难以控制的心房颤动,可用射频消融的方法造成完全性房室传导阻滞或改良房室结,以控制心室率。

(2)环肺静脉线性消融(CPVA) 此种消融术式由Pappone于2000年首先创立。其原理是:在Carto三维电解剖标测系统的引导下,进行左心房三维重建,对双侧肺静脉前庭分别行大环状消融,以完全隔离肺静脉。目前,在许多电生理中心CPVA已经成为房颤的主要消融策略。CPVA治疗阵发性房颤的成功率一般接近90%,对持续性房颤的成功率为80%左右,对慢性房颤的消融成功率为68%左右。在CPVA的基础上可附加左心房顶部线、二尖瓣环峡部、三尖瓣环峡部的线性消融以提高房颤的治疗成功率(图64-13)。

5.房性心动过速的消融 房性心动过速(简称房速)较少见,对其导管消融的报道也较少。Scheinman总结Naspe的资料(1993年),共消融553例,成功率为71%,较严重并发症的发生率为1.7%。房性心动过速可为原发性,也可为其他心肺疾病的继发表现。持续性房性心动过速如不控制,可最终导致扩张型心肌病,出现充血性心力衰竭。房性心动过速控制后心脏扩大和心力衰竭可以逆转。

(1)自律性增高所致房性心动过速 其电生理学特点为:①心动过速常呈持续性,心率变化表现为发作时“温醒”和(或)终止时“渐冷”现象;②心动过速时,P波电轴、形态以及心内激动顺序均与窦性心律时不同;③程控刺激不能诱发及终止心动过速;④排除房室折返性及房室结折返性心动过速。

在标测时,寻找P波前的心房最早激动点作为靶点进行消融。Walsh等消融了12例自律性增高的房性心动过速患者,其中来自左心房5例,3例在肺静脉附近,2例在左心耳,来自右心房7例,其中4例在右心耳。其心房最早激动点较体表心电图的P波提前平均455ms。对自律性增高引起的房性心动过速进行成功消融时,在心动过速终止前常可发现心动过速的频率增快,可作为消融有效的预测指标。

图64-13 阵发性房颤的消融:在Carto三维电解剖标测系统的引导下,进行左心房三维重建,对双侧肺静脉前庭分别行大环状消融,以完全隔离肺静脉

(2)折返性房性心动过速 折返性房性心动过速的诊断标准为:①P波形态与窦性心律时不一致,心房的激动顺序与窦性心律时不一致;②P-R间期与心率相适应;③心房期前收缩刺激可诱发及终止心动过速;④心动过速的诱发和维持不依赖于房室结的传导;⑤排除房室折返性及房室结折返性心动过速。

Chen等认为成功消融靶点的特征为:①局部心内电图的A波较体表心电图P波提前20~45ms(平均38.7ms);②心动过速时能进行隐匿性拖带,且刺激信号至P波的间期为20~30ms,提示该点为折返环路的出口;③在放电5s内心动过速终止。Lesh等消融了5例折返性房性心动过速患者,认为此类心动过速患者如有先天或手术因素造成的结构异常,折返环路多在这些异常结构的附近。Lesh等标测的靶点发现,局部激动较体表心电图P波提前537.4ms,在消融使心动过速终止前常可发现其频率变慢。

(3)窦房结折返性心动过速 窦房结折返性心动过速的诊断标准:①心动过速时P波电轴、形态以及心内激动顺序与窦性心律时一致;②适时的心房期前收缩刺激能诱发和终止心动过速;③心动过速及窦性心律相互转换时,心率发生突然变化;④能排除房室折返性心动过速。

Lesh等消融3例窦房结折返性心动过速患者,消融靶点均位于右心房前侧壁与上腔静脉结合处。心动过速时局部心房激动较P波提前40~45ms;局部心房激动较高位右心房提前20ms以上;局部电位显著延长,可见碎裂电位(平均时程87ms)。

6.室性心动过速的射频消融

(1)特发性室性心动过速的射频消融 特发性室性心动过速指没有器质性心脏病患者发生的室性心动过速。这种室性心动过速发生率较低,射频消融的成功率很高。

1)右心室流出道(RVOT)室性心动过速 目前文献报告的利用导管消融治疗的特发性室性心动过速,多数起源于右心室流出道。室性心动过速发作时,体表心电图表现左束支传导阻滞图形。根据患者对药物(异丙肾上腺素、腺苷、异搏定)的反应以及对电刺激(诱发、终止、拖带)的反应,可以推测不同患者发生室性心动过速的机制。折返激动、触发活动和异常的自律性增高都可能是室性心动过速的原因。

一些研究表明,利用直流电和射频能量消融这类室性心动过速,成功率在80%以上。大多数研究者发现在选择有效消融靶点时,起搏标测和激动顺序标测结果基本一致。

img1699

2)左心室特发性室性心动过速(ILVT) 绝大多数无器质性心脏病的左心室室性心动过速都呈现右束支传导阻滞图形,电轴指向左上。对异搏定敏感的特发性左心室室性心动过速发生于室间隔下部靠近心尖处。有时运动或静滴异丙肾上腺素能诱发ILVT,而静滴异搏定可使之终止。有证据表明,ILVT发生的机制是折返激动。此类室性心动过速能由心室程控刺激诱发,期前收缩刺激诱发室性心动过速时配对间期和心动过速发作时的联律间期呈反比关系,并发生拖带现象等。也有研究提示,异搏定敏感的ILVT也可能由触发活动引起,因为有时室性心动过速只能由快速心房和心室起搏诱发,期前收缩刺激则不能诱发;诱发室性心动过速的起搏周期的改变,能导致室性心动过速周期的变化;儿茶酚胺常能使心动过速更容易诱发。也可能同右心室流出道室性心动过速一样,两种机制都起作用。有观察表明,心动过速时希氏束的逆传激动出现较早,或记录到浦肯野纤维电位,这些均提示左后分支是心动过速折返环的一部分。尽管对ILVT消融的例数较少,但成功率很高。Makagama等报告射频消融了8例患者,全部成功。随访中仅有1例复发。

(2)束支折返性室性心动过速及右心室发育不良性室性心动过速的消融 束支折返性室性心动过速(BBR-VT)占原发性扩张型心肌病(IDCM)患者所发生的单形性室性心动过速的15%~30%,在其他类型的器质性心肌病患者中则很少见,BBR-VT典型心电图为左束支传导阻滞图形,电轴向左上,类似于在右心室心尖起搏时心电图。在心动过速时记录心内电图,发现在每个V波前都有希氏束电位(H)或右束支电位,H-H间期的变化会引起心动过速周期的变化。在窦性心律时,HV间期通常轻度延长,体表心电图呈不完全性左束支传导阻滞图形,窦性心律时的HV间期较室性心动过速时的HV间期短。

研究表明,消融右束支能有效防止这类心动过速的复发。标测时要在右心室间隔记录到右束支电位,右束支电位为一尖锐的信号,在H波后20ms以上,在右心室激动前30ms以内。于该点成功消融会使心电图出现永久性右束支传导阻滞图形,BBR-VT不再复发。但在左心室功能严重受损的患者还有出现其他类型室性心动过速的危险。

消融右束支后,这些患者是否需要安装永久心脏起搏器目前还不清楚。Tchou等用直流电消融,引起HV间期显著延长,所有患者都预防性安装了永久起搏器。而Cohen等利用射频能量消融右束支,无1例需在术后安装永久起搏器,随访123个月,没有完全性房室传导阻滞发生。

致心律失常性右心室发育不良(ARVD)是一种少见的心肌病,其特征为右心室心肌被进行性纤维脂肪组织所替代。早期呈区域性,逐渐可累及整个右心室甚至部分左心室。除了有不同程度的右心室收缩、舒张功能障碍外,这类患者常出现阵发性室性心动过速,呈左束支传导阻滞图形。临床表现为室性心律失常、右心室扩大和猝死。因为正常心肌被纤维组织取代,在窦性心律时,心内电图即有显著的异常,心室晚电位阳性,心电图可发现Epsilon波。

经导管消融ARVD患者的室性心动过速前景乐观,特别是同手术治疗这类患者的室性心动过速相比,更有优越性。

(3)心肌梗死后室性心动过速的消融 对心肌梗死后的室性心动过速患者行导管消融是可行的,但目前的成功率较特发性室性心动过速低。Scheinan总结了NASPE 1993年的资料,共消融了257例,成功170例,成功率为66%。对心肌病合并室性心动过速消融成功率为52%,对特发性室性心动过速消融成功率为85%。目前对心肌梗死后室性心动过速患者进行消融一般要求:①利用12导联心电图至少记录到2次心动过速发作,且每次发作时心电图图形一致;②合用至少两种抗心律失常药物也不能控制室性心动过速;③能用程控刺激法反复诱发出室性心动过速,且与临床记录到的室性心动过速图形一致;④室性心动过速发作时血流动力学情况稳定,能允许在电生理室进行导管标测。

三、PCI时的心电图

见第二十三章第三节经皮冠状动脉腔内成形术前后的心电图变化。

四、冠状动脉旁路移植术与心电图

见第二十三章第五节冠状动脉旁路移植术前后的心电图变化。

五、心导管检查中的心电图

见第二十三章第八节心脏导管检查及冠状动脉造影过程中的心电图变化。

(陈 刚 方丕华 陈清启)